اتصل بنا
إخلاء مسؤولية
حرصًا على سلامتكم، يُرجى الحذر من العروض الإلكترونية المضللة التي تزعم تقديم علاجات مجانية في مركز هارموني الطبي.

احجز موعدك

اتصل بنا
إخلاء مسؤولية
حرصًا على سلامتكم، يُرجى الحذر من العروض الإلكترونية المضللة التي تزعم تقديم علاجات مجانية في مركز هارموني الطبي.

احجز موعدك

جاري إرسال الطلب
العربيةالعربية
EnglishEnglish
العربيةالعربية

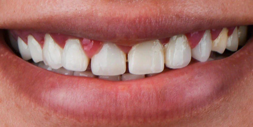
ابتسامة هوليوود في أبو ظبي ودبي

جميلة من الداخل والخارج.

نحن نتفهم التأثير العميق الذي يمكن أن تحدثه الابتسامة. الابتسامة المبهرة ليست فقط مبهجة من الناحية الجمالية. يشع بالثقة والإيجابية ويترك انطباعا دائما. تتجاوز علاجات Hollywood Smile Makeover التحسينات التجميلية. نحن نخلق ابتسامات تمكن مرضانا ، ولا نغير مظهرهم فحسب ، بل نغير أيضا ثقتهم بأنفسهم ورفاهيتهم بشكل عام.

اتصل بنا
إخلاء مسؤولية
حرصًا على سلامتكم، يُرجى الحذر من العروض الإلكترونية المضللة التي تزعم تقديم علاجات مجانية في مركز هارموني الطبي.

احجز موعدك

ما هو تحول ابتسامة هوليوود؟

إن ابتسامة هوليوود ليس حلا واحدا يناسب الجميع. نحن نعمل معك عن كثب لفهم رغباتك واهتماماتك الفريدة. سواء كنت تتطلع إلى تفتيح أسنانك أو تصحيح العيوب أو تحقيق ابتسامة جديرة بالمشاهير ، فإن صانعي الابتسامة لدينا هنا لإرشادك في كل خطوة على الطريق.

في هارموني ، نجمع بين الفن وتقنيات طب الأسنان المتقدمة لخلق نتائج مذهلة تعزز جمالك الطبيعي. من تبييض الأسنان وقشور البورسلين إلى تقويم الأسنان وزراعة الأسنان ، نقدم مجموعة شاملة من الخدمات لتحقيق ابتسامة أحلامك.

تبييض الأسنان

احصل على ابتسامة أكثر إشراقا وبياضا مع علاجات احترافية.

القشور الخزفية (فينيرز)

اصنع ابتسامة متماثلة خالية من العيوب مع القشرة المصممة خصيصا.

زراعة الأسنان

استبدل الأسنان المفقودة بغرسات طبيعية المظهر وطويلة الأمد.

تيجان الأسنان

استعادة القوة والجماليات للأسنان التالفة.

إعادة تشكيل اللثة

عزز توازن ابتسامتك من خلال نحت اللثة.

تقويم الاسنان

تقويم الأسنان لتحسين الجماليات وصحة الفم

حشوات بلون الأسنان

استبدل الحشوات المعدنية القبيحة بمركبات ذات مظهر طبيعي ، مما يحسن جماليات ووظائف ابتسامتك.

الترابط المركب

قم بإصلاح الأسنان المتكسرة أو المتشققة أو سد الفجوات الطفيفة للحصول على ابتسامة سلسة وجميلة.

ابتسامات هوليوود من قبل صانعي الابتسامة لدينا

تجميل الابتسامة للدكتور أسامة علوي
قبل
تجميل الابتسامة للدكتور أسامة علوي
قبل
تجميل الابتسامة للدكتورة رولا كيلاني
قبل
تجميل الابتسامة للدكتورة رولا كيلاني
قبل
Before
Smile Makeover by Dr. Yalda Amini
Before
Smile Makeover by Dr. Yazan Moustafa

Merry and Bright

Transform Your Smile with Veneers

40% Off
High-quality Veneers

(regular value AED 4,200)

Offer starts at
AED 2,500 per tooth

فوائد ابتسامة هوليوود

في مركز هارموني الطبي

يكرس فريقنا من خبراء التجميل والتعويضات السنية جهوده لخلق ابتسامات جميلة وصحية.
نحن نستخدم أحدث تقنيات طب الأسنان لضمان علاجات دقيقة ومريحة.
نستمع إلى مخاوفك ونضع خطة علاج مخصصة تناسب أهدافك وميزانيتك.
استرخ في أماكننا الفاخرة والحديثة المصممة خصيصا لتخفيف القلق.
نحن نقدم خيارات تمويل مرنة لجعل ابتسامة أحلامك حقيقة واقعة.

الأسئلة الشائعة حول ابتسامة هوليوود

تجميل ابتسامة هوليوود هو علاج شامل للأسنان مصمم لتحسين مظهر ابتسامتك باستخدام مزيج من طب الأسنان التجميلي والإجراءات الترميمية. يهدف إلى تحقيق ابتسامة مشرقة وطبيعية المظهر تنضح بالثقة والسحر ، على غرار تلك التي شوهدت على مشاهير هوليوود.

قد يكون أي شخص غير راض عن ابتسامته بسبب مشكلات مثل تغير اللون أو الملتوية أو المتكسرة أو المفقودة مرشحا مناسبا لتغيير ابتسامة هوليوود.

يمكن أن تختلف مدة عملية تجميل ابتسامة هوليوود اعتمادا على مدى تعقيد الحالة والعلاجات المحددة المعنية. في حين أن بعض الإجراءات البسيطة مثل تبييض الأسنان قد تكتمل في موعد واحد ، إلا أن العلاجات الأكثر شمولا مثل زراعة الأسنان أو تقويم الأسنان قد تتطلب عدة زيارات على مدار عدة أسابيع أو أشهر.

معظم إجراءات طب الأسنان التجميلي التي ينطوي عليها تحول ابتسامة هوليوود طفيفة التوغل وعادة ما تنطوي على القليل من الانزعاج أو لا تنطوي على أي إزعاج. يمكن استخدام التخدير الموضعي أو التخدير أثناء إجراءات معينة لضمان راحة المريض. يمكن عادة إدارة أي إزعاج بعد الإجراء باستخدام مسكنات الألم التي لا تستلزم وصفة طبية.

مع العناية والصيانة المناسبة ، يمكن أن تستمر نتائج تحول ابتسامة هوليوود لسنوات عديدة. يمكن أن تساعد ممارسات نظافة الفم الجيدة وفحوصات الأسنان المنتظمة وتجنب العادات التي يمكن أن تلحق الضرر بالأسنان (مثل التدخين أو مضغ الأشياء الصلبة) في إطالة عمر ابتسامتك الجديدة.

يمكن أن تختلف تكلفة تجميل ابتسامة هوليوود بشكل كبير اعتمادا على العلاجات المحددة المختارة ومدى تعقيد الحالة وخبرة طبيب الأسنان والموقع الجغرافي لممارسة طب الأسنان. أثناء استشارتك ، سيقدم لك طبيب أسنانك خطة علاج مخصصة وتفصيلا للتكاليف المرتبطة بها. نحن نقدم خيارات تمويل مرنة للمساعدة في جعل العلاج أكثر قابلية للإدارة.

نعم ، يمكن لأطباء الأسنان التجميليين والمتخصصين وأخصائيي التركيبات السنية لدينا في جميع فروعنا في دبي وأبو ظبي إجراء تجميل ابتسامة هوليوود.

عيادات الأسنان في دبي وأبو ظبي

مركز هارموني الطبي – دبي

الخليج العربي

مدينة محمد بن زايد

مدينة خليفة