اتصل بنا
إخلاء مسؤولية
حرصًا على سلامتكم، يُرجى الحذر من العروض الإلكترونية المضللة التي تزعم تقديم علاجات مجانية في مركز هارموني الطبي.

احجز موعدك

اتصل بنا
إخلاء مسؤولية
حرصًا على سلامتكم، يُرجى الحذر من العروض الإلكترونية المضللة التي تزعم تقديم علاجات مجانية في مركز هارموني الطبي.

احجز موعدك

جاري إرسال الطلب
العربيةالعربية
EnglishEnglish
العربيةالعربية

فينير الأسنان في أبو ظبي ودبي

طريقك لابتسامة طبيعية وجميلة.

لا شيء يضاهي الابتسامة الواثقة، وإذا كنت تشعر بالوعي الذاتي بشأن أسنانك أو مظهر ابتسامتك، فإن الفينير يمكن أن يساعد. يكرس "صُنّاع الابتسامة" في مركز هارموني جهودهم لاستعادة ثقتك بنفسك ومساعدتك على تحقيق الابتسامة المشرقة التي لطالما حلمت بها.

الفينير هو قشور رقيقة مخصصة مصنوعة من مواد بلون الأسنان مصممة لتغطية الجزء الأمامي من الأسنان. تُستخدم لتغطية وتصحيح الأسنان الملطخة، أو المكسورة، أو غير المتساوية، أو المتباعدة، أو المعوجة. يتم تصميم الفينير بعناية ويمكن استخدامها لتحسين مظهر سن واحد، اثنين، أو عدة أسنان

اتصل بنا
إخلاء مسؤولية
حرصًا على سلامتكم، يُرجى الحذر من العروض الإلكترونية المضللة التي تزعم تقديم علاجات مجانية في مركز هارموني الطبي.

احجز موعدك

فوائد تركيب الفينير في مركز هارموني الطبي

احصل على ابتسامة مذهلة وطبيعية تعزز مظهرك العام وتزيد من ثقتك بنفسك.
تسمح تقنياتنا الأقل تدخلاً بالحفاظ على أكبر قدر ممكن من بنية أسنانك الأصلية.
يتم تصميم كل قشرة بعناية لتكمل ملامحك الفريدة.
يوفر الفينير لدينا متانة طويلة الأمد، مما يضمن بقاء ابتسامتك مع الزمن.
على الرغم من مظهرها الرقيق، يمكن للقشور أن تعزز قوة ومتانة أسنانك.
نقدم مجموعة متنوعة من الخيارات بما في ذلك فينير إيماكس، الزركونيا، أو الفلدسباثيك.
مع العناية المناسبة، يمكن أن تدوم القشور عالية الجودة حتى 20 عامًا.

حالات الفينير صممها أطباؤنا

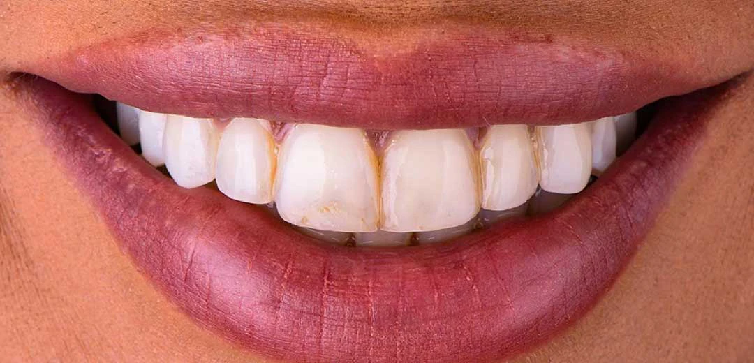
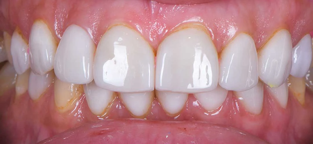
الفينير من تصميم د. أسامة علوي
قبل
الفينير من تصميم د. أسامة علوي
قبل
الفينير من تصميم د. أسامة علوي
قبل
الفينير من تصميم د. أسامة علوي
قبل
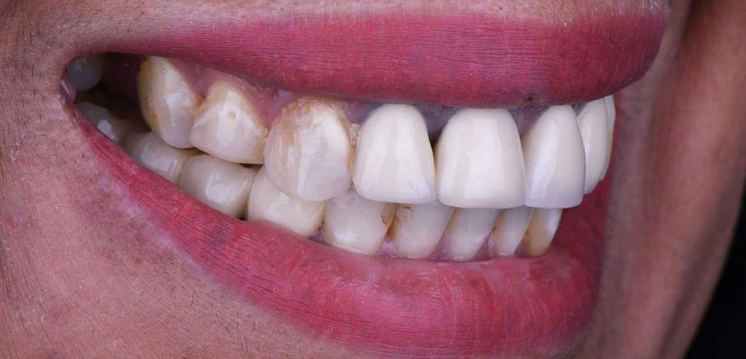
فينير من تصميم د. رولا كيلاني
قبل
فينير من تصميم د. رولا كيلاني
قبل
فينير من تصميم د. رولا كيلاني
قبل
فينير من تصميم د. رولا كيلاني
قبل
فينير من تصميم د. يالدا أميني
قبل
فينير من تصميم د. بدر الدين اللحام
قبل

فينير البورسلين

حسّن ابتسامتك مع فينير ذو مظهر طبيعي.

فينير البورسلين هو قشور فائقة الرقة مخصصة لتغطية السطح الأمامي لأسنانك. يتم تصنيعها من بورسلين عالي الجودة وتُصمم بعناية لتناسب لون وشكل وشفافية الأسنان الطبيعية، مما يوفر نتيجة متناسقة وطبيعية.

ما هي خطوات تركيب الفينير؟

تتضمن عملية تركيب الفينير الخطوات التالية:

الاستشارة

مناقشة أهدافك وتوقعاتك مع طبيب أسنانك التجميلي أو أخصائي التركيبات.

التحضير

تحت تأثير التخدير الموضعي، نقوم بإزالة كمية صغيرة جدًا من مينا الأسنان لتحضيرها لتركيب الفينير.

الطبعات

نقوم بأخذ طبعات لأسنانك لتصنيع الفينير المخصص.

القشور المؤقتة

نضع قشور مؤقتة أثناء تصنيع الفينير الدائم.

التركيب

نقوم بتركيب الفينير المخصص بشكل دائم على أسنانك للحصول على ابتسامة طبيعية تدوم طويلًا.
اتصل بنا
إخلاء مسؤولية
حرصًا على سلامتكم، يُرجى الحذر من العروض الإلكترونية المضللة التي تزعم تقديم علاجات مجانية في مركز هارموني الطبي.

احجز موعدك

عيادات الأسنان في دبي وأبو ظبي

مركز هارموني الطبي – دبي

الخليج العربي

مدينة محمد بن زايد

مدينة خليفة

الأسئلة الشائعة حول الفينير

الفينير مناسب للأشخاص الذين يعانون من تشقق، كسر، تصبغ، تآكل، أو تباعد في الأسنان. سيقوم طبيب الأسنان بتقييم حالتك خلال الاستشارة لتحديد إذا كان الفينير هو الخيار المناسب.

هناك نوعان رئيسيان من الفينير: البورسلين والكومبوزيت.

تختلف التكلفة بناءً على نوع المادة المستخدمة، وعدد الأسنان التي يتم علاجها، وخبرة الطبيب. عادةً ما يكون فينير البورسلين أكثر تكلفة من فينير الكومبوزيت.

العناية بالفينير تشبه العناية بأسنانك الطبيعية:

عندما يتم تركيبها بواسطة طبيب أسنان تجميلي ماهر، يمكن أن تبدو القشور طبيعية جدًا. سيأخذ طبيبك في الاعتبار اللون، الحجم، وشكل الأسنان المحيطة لإنشاء قشور تتناسب بشكل مثالي مع ابتسامتك وملامح وجهك.

هناك بدائل للفينير بناءً على المشكلات التي تريد معالجتها:

  • الترميم الكومبوزيت: خيار أقل تكلفة للتشققات البسيطة ولكنه قد لا يكون متينًا مثل الفينير.
  • تبييض الأسنان: قد يكون خيارًا مناسبًا إذا كان تصبغ الأسنان هو المشكلة الرئيسية.

كلاهما يمكن أن يحسن مظهر ابتسامتك. الفينير أكثر متانة ومقاومة للبقع، بينما الترميم الكومبوزيت أقل تكلفة وأقل تدخلاً. يناقش طبيبك الإيجابيات والسلبيات لكل خيار لتحديد الأنسب لاحتياجاتك وميزانيتك.

يتم تصميم الفينير بعناية لتتناسب مع لون، وشفافية، وملمس أسنانك الطبيعية. نحن نعمل مع مختبرات أسنان عالية الجودة تستخدم مواد متميزة وتقنيات متقدمة لإنشاء فينير ينسجم بسلاسة مع ابتسامتك. سنضمن أن يكون الفينير مشكلاً ومصمماً بشكل دقيق ليتناسب مع ملامح وجهك والمظهر الجمالي العام.

يجب معالجة أمراض اللثة قبل تركيب الفينير. اللثة الصحية ضرورية لنجاح واستمرارية الفينير. إذا كنت تعاني من أمراض اللثة، راجع أحد أخصائيي اللثة لدينا لتلقي العلاج اللازم قبل التفكير في تركيب الفينير.

Our Smile Makers