اتصل بنا
إخلاء مسؤولية
حرصًا على سلامتكم، يُرجى الحذر من العروض الإلكترونية المضللة التي تزعم تقديم علاجات مجانية في مركز هارموني الطبي.

احجز موعدك

اتصل بنا
إخلاء مسؤولية
حرصًا على سلامتكم، يُرجى الحذر من العروض الإلكترونية المضللة التي تزعم تقديم علاجات مجانية في مركز هارموني الطبي.

احجز موعدك

جاري إرسال الطلب
العربيةالعربية
EnglishEnglish
العربيةالعربية

علاج تراجع اللثة في أبو ظبي ودبي

استعادة الابتسامة الصحية

تراجع اللثة هو التراجع التدريجي لأنسجة اللثة ، مما يؤدي إلى تعريض المزيد من جذر السن. هذا يمكن أن يؤدي إلى عدد من المخاوف ، الجمالية والوظيفية. هنا في هارموني ، نقدم خيارات علاج فعالة لمعالجة تراجع اللثة واستعادة ابتسامة صحية.

اتصل بنا
إخلاء مسؤولية
حرصًا على سلامتكم، يُرجى الحذر من العروض الإلكترونية المضللة التي تزعم تقديم علاجات مجانية في مركز هارموني الطبي.

احجز موعدك

ما الذي يسبب تراجع اللثة؟

يمكن أن تساهم عدة عوامل في تراجع اللثة ، بما في ذلك:

اتصل بنا
إخلاء مسؤولية
حرصًا على سلامتكم، يُرجى الحذر من العروض الإلكترونية المضللة التي تزعم تقديم علاجات مجانية في مركز هارموني الطبي.

احجز موعدك

خيارات علاج تراجع اللثة

يعتمد أفضل علاج لانحسار اللثة على شدة الانحسار والسبب الكامن وراءه. تتضمن بعض الخيارات الشائعة ما يلي:

التحجيم وتخطيط الجذر

يزيل إجراء التنظيف العميق هذا تراكم الجير من أسفل خط اللثة.

غسول الفم المضاد للميكروبات

يمكن أن تساعد هذه الشطفات في تقليل الالتهاب والسيطرة على البلاك.

ترقيع الأنسجة الرخوة

تؤخذ الأنسجة من جزء آخر من فمك أو من متبرع وتزرع لتغطية جذر السن المكشوف.

إجراءات تصغير الجيب الجراحية

تهدف هذه الإجراءات إلى إعادة تشكيل أنسجة اللثة وتغطية سطح الجذر المكشوف.

زراعة الأسنان

في الحالات الشديدة التي تكون فيها الأسنان فضفاضة بسبب فقدان العظام ، يمكن أن تحل الغرسات محل الأسنان المفقودة وتوفر الدعم للثة.

Merry and Bright

Transform Your Smile with Veneers

40% Off
High-quality Veneers

(regular value AED 4,200)

Offer starts at
AED 2,500 per tooth

فوائد علاج تراجع اللثة

في مركز هارموني الطبي

اتصل بنا
إخلاء مسؤولية
حرصًا على سلامتكم، يُرجى الحذر من العروض الإلكترونية المضللة التي تزعم تقديم علاجات مجانية في مركز هارموني الطبي.

احجز موعدك

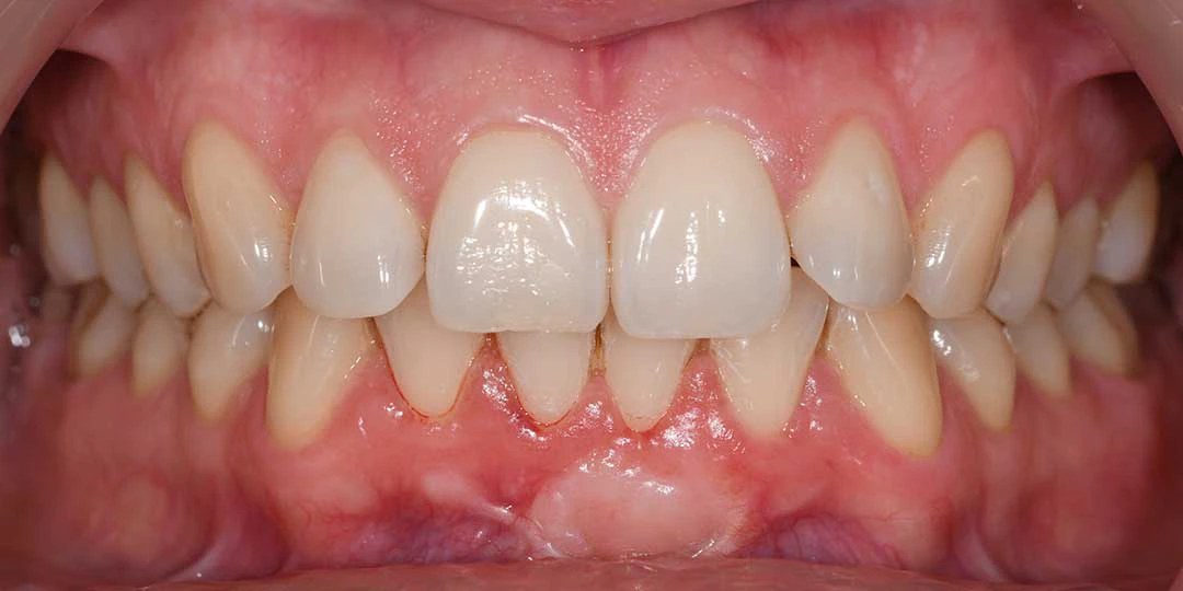
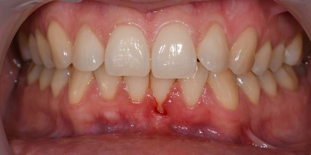
حالات تراجع اللثة

عيادات الأسنان في دبي وأبو ظبي

مركز هارموني الطبي – دبي

الخليج العربي

مدينة محمد بن زايد

مدينة خليفة

الأسئلة الشائعة حول علاج تراجع اللثة

تشمل علامات تراجع اللثة ما يلي:

إذا لاحظت أي علامات على تراجع اللثة ، فحدد موعدا مع أحد أطباء الأسنان لدينا في دبي أو أبو ظبي. يمكن أن يمنع التشخيص والعلاج المبكر المزيد من المضاعفات.

Our Smile Makers