اتصل بنا
إخلاء مسؤولية
حرصًا على سلامتكم، يُرجى الحذر من العروض الإلكترونية المضللة التي تزعم تقديم علاجات مجانية في مركز هارموني الطبي.

احجز موعدك

اتصل بنا
إخلاء مسؤولية
حرصًا على سلامتكم، يُرجى الحذر من العروض الإلكترونية المضللة التي تزعم تقديم علاجات مجانية في مركز هارموني الطبي.

احجز موعدك

جاري إرسال الطلب
العربيةالعربية
EnglishEnglish
العربيةالعربية

المثبتات في أبو ظبي ودبي

استمتع بابتسامتك الجديدة مدى الحياة.

تستمر أسناننا في تغيير موضعها طوال حياتنا. هذه ظاهرة تحدث بشكل طبيعي ، وهذا هو السبب في أنه من الضروري ارتداء المثبتات بعد علاج تقويم الأسنان. ستساعد المثبتات في الحفاظ على ابتسامتك الجديدة في مكانها ومنع أسنانك من الانتكاس أو الانجراف مرة أخرى إلى وضعها الأصلي.

اتصل بنا
إخلاء مسؤولية
حرصًا على سلامتكم، يُرجى الحذر من العروض الإلكترونية المضللة التي تزعم تقديم علاجات مجانية في مركز هارموني الطبي.

احجز موعدك

أهمية ارتداء المثبتات

المثبتات هي أجهزة مصممة خصيصا للحفاظ على ابتسامتك المستقيمة في مكانها مدى الحياة. لدينا أنواع مختلفة من المثبتات ، بما في ذلك Essix و Hawley والمثبتات اللغوية الثابتة.

ارتداء المثبتات لا تقل أهمية عن العلاج نفسه. بمجرد اكتمال علاجك ، سيوصي أخصائي تقويم الأسنان بأفضل نوع لك ويعطيك تعليمات حول كيفية ارتدائها أو تنظيفها.

اتصل بنا
إخلاء مسؤولية
حرصًا على سلامتكم، يُرجى الحذر من العروض الإلكترونية المضللة التي تزعم تقديم علاجات مجانية في مركز هارموني الطبي.

احجز موعدك

أنواع المثبتات التي نقدمها

Essix retainers
مثبتات Essix
Hawley retainers
مثبتات هاولي
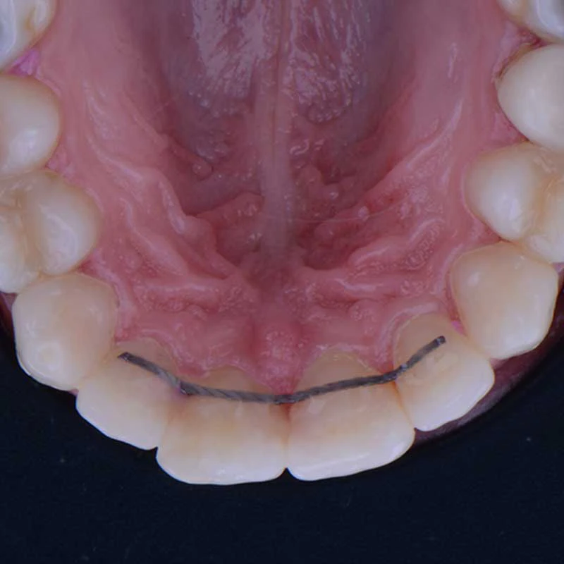
Fixed lingual retainers
مثبتات لغوية ثابتة

أخصائيو تقويم الأسنان لدينا

عيادات الأسنان في دبي وأبو ظبي

مركز هارموني الطبي – دبي

الخليج العربي

مدينة محمد بن زايد

مدينة خليفة

الأسئلة الشائعة حول مثبتات الأسنان

تستمر أسنانك في التحرك حتى بعد تقويمها باستخدام تقويم الأسنان التقليدي أوالشفاف . سيحافظ ارتداء المثبتات على النحو الموصوف من قبل أخصائي تقويم الأسنان على ابتسامتك الجديدة الجميلة من خلال الحفاظ على أسنانك في مواضعها المصححة.

بعد علاج تقويم الأسنان، يعد ارتداء المثبتات أمرا ضروريا مدى الحياة، على الرغم من أن كمية التآكل المطلوبة قد تنخفض مع مرور الوقت. سيقدم لك أخصائي تقويم الأسنان إرشادات محددة بناء على ثبات محاذاة أسنانك.

إذا لم ترتدي المثبتات وفقا لتعليمات أخصائي تقويم الأسنان ، فقد تبدأ أسنانك في العودة إلى مواقعها الأصلية.

نظف المثبتات القابلة للإزالة يوميا باستخدام فرشاة أسنان ناعمة ومعجون أسنان. قد يوصي أخصائي تقويم الأسنان أيضا بمحلول تنظيف مثبت لتنظيف عميق. لا تستخدم مواد كيميائية قاسية مثل المنتجات التي تحتوي على الكحول أو المبيض. قم بتخزين المثبتات في علبة صلبة عندما لا تكون قيد الاستخدام لمنع الفقد أو التلف.

نوصي بإخراج المثبتات القابلة للإزالة أثناء تناول الطعام لمنع التلف المحتمل.