Disclaimer
To our valued patients, please beware of false online offers promising free treatments at Harmony Medical Center.
Book your appointment
Submitting your request
Disclaimer
To our valued patients, please beware of false online offers promising free treatments at Harmony Medical Center.
Send an enquiry
EnglishEnglish
EnglishEnglish
العربيةالعربية
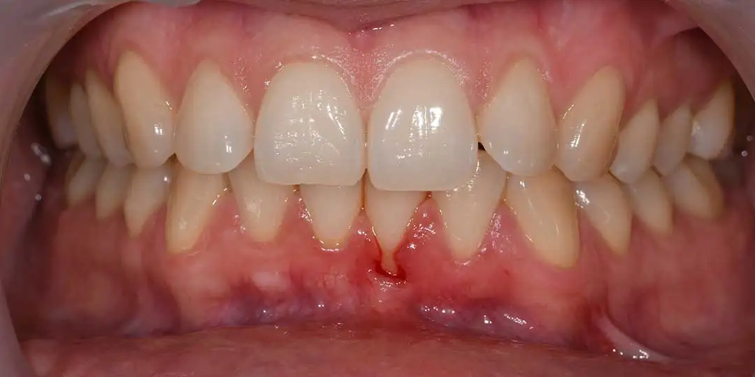
Specialist Periodontist at Harmony Medical Center treating a patient for gum recession

Gum Recession Treatment in Dubai and Abu Dhabi

Restore Your Gums, Protect Your Smile.

Gum recession is the gradual receding of the gum tissue, exposing more of the tooth root. This can lead to a number of concerns, both aesthetic and functional. Here at Harmony, we offer effective treatment options to address gum recession and restore a healthy smile.

What Causes Gum Recession?

Several factors can contribute to gum recession, including:

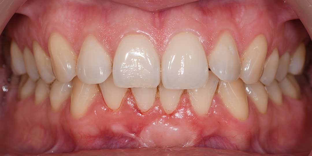
Patient at Harmony Medical Center is being treated for gum recession

Treatment Options for Gum Recession

The best treatment for gum recession depends on the severity of the recession and the underlying cause. Some common options include:

Scaling and Root Planing

This deep cleaning procedure removes plaque and tartar buildup from below the gum line.

Antimicrobial Mouthrinses

These rinses can help reduce inflammation and control plaque.

Soft Tissue Grafts

Tissue is taken from another part of your mouth or a donor and transplanted to cover the exposed tooth root.

Surgical Pocket Reduction Procedures

These procedures aim to reshape the gum tissue and cover the exposed root surface.

Dental Implants

In severe cases where teeth are loose due to bone loss, implants can replace missing teeth and provide support for the gums.

Benefits of Treating Gum Recession

at Harmony Medical Center

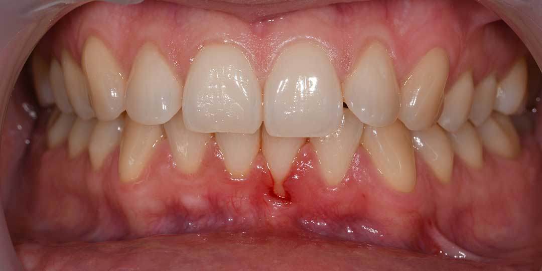
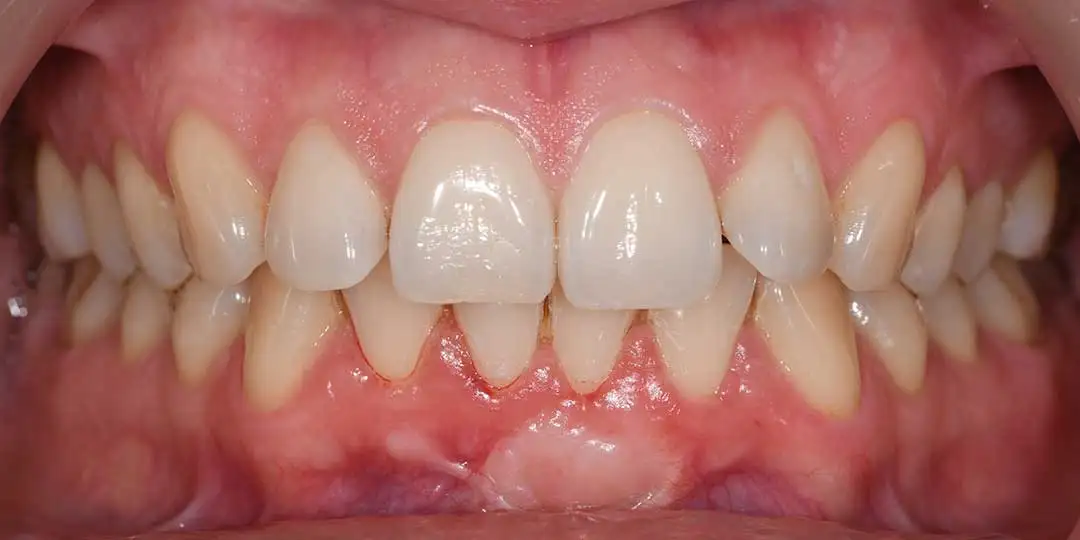
Gum Recession Transformation

Before Gum Recession Treatment
After Gum Recession Treatment

Our Periodontists in Dubai & Abu Dhabi

Dr. Mohammad Al Kowatly

Specialist Periodontist and Implantologist

Dr. Samer Chakhachirou

Specialist Periodontist and Implantologist

Dr. Roula Kilani

General Dentist
MSc Periodontology

Dental Clinics in Dubai & Abu Dhabi

Harmony Medical Center – Dubai

Al Khaleej Al Arabi

Mohammed Bin Zayed City

Khalifa City

Gum Recession Treatment FAQs

Signs of gum recession include:

If you notice any signs of gum recession, schedule an appointment with one of our dentists in Dubai or Abu Dhabi. Early diagnosis and treatment can prevent further complications.