Disclaimer
To our valued patients, please beware of false online offers promising free treatments at Harmony Medical Center.
Book your appointment
Submitting your request
EnglishEnglish
EnglishEnglish
العربيةالعربية
veneers in duabi

Veneers in Dubai and Abu Dhabi

Improve your smile with ultra-thin dental veneers

Nothing beats a confident smile, and if you’re self-conscious of your teeth or the appearance of your smile, veneers can help. Transform Your Smile with Harmony veneers in dubai and abu dhabi. Our Smile Makers at Harmony dental clinic in dubai and abu dhabi are dedicated to restoring your confidence and helping you achieve the radiant smile you've always desired.

Veneers are thin, custom-made shells of tooth-colored materials designed to cover the front side of the teeth. They are used to cover and correct teeth that are stained, fractured, uneven, gapped, or crooked. Veneers are meticulously designed and can be used to improve the appearance of one, two, or multiple number of teeth.

veneers in abu dhabi

Who Needs Dental Veneers?

Your smile is one of your most valuable assets, and many personal and lifestyle factors can affect its appearance. Modern diets, along with beverages such as coffee and tea, can gradually cause significant tooth staining or discoloration.

You may be an ideal candidate for dental veneers if you have:

  • Stains that do not respond to professional teeth whitening
  • Chipped, cracked, or worn teeth
  • Small gaps between teeth
  • Slightly crooked or uneven teeth
  • Teeth that appear too small or irregularly shaped

For patients with misaligned teeth, orthodontic treatment may be recommended before placing veneers. Additionally, individuals with severe tooth decay, gum disease, or very thin enamel may require alternative dental treatments.

A consultation with our experienced cosmetic dentist in dubai and abu dhabi will help determine the most suitable treatment plan to achieve your ideal smile.

Types of Dental Veneers

Composite Veneers

Made from tooth-colored resin, composite veneers are a cost-effective option that can usually be completed in one visit. They improve stains, chips, and small gaps but may stain over time and are less durable than porcelain options.

Porcelain Veneers

Highly durable and natural-looking, porcelain veneers resist stains and provide long-lasting smile enhancement. They are ideal for complete smile makeovers and typically require two visits.

Ceramic Veneers

Crafted from high-quality dental ceramic, these veneers offer excellent strength, translucency, and a natural enamel-like finish. Ceramic veneers are a popular choice for patients seeking durability with premium aesthetics.

Feldspathic Veneers

Ultra-thin, hand-layered porcelain veneers known for superior translucency and artistic customization. Perfect for highly aesthetic, natural-looking smile transformations.

E-max Veneers

Made from lithium disilicate ceramic, E-max veneers combine exceptional strength with outstanding aesthetics. They are one of the most popular premium veneer options for long-lasting results.

Zirconium Veneers

Extremely strong and durable, zirconium veneers are ideal for restoring damaged or heavily worn teeth while maintaining a natural tooth-colored appearance.

Lumineers

A brand of ultra-thin veneers that require minimal to no tooth preparation. Lumineers offer a less invasive cosmetic solution while delivering a brighter, more uniform smile.

Snap-On Veneers

Removable and temporary veneers that fit over your natural teeth without drilling or enamel reduction. Ideal for short-term cosmetic improvement or special occasions.

Benefits of Getting Veneers

at Harmony Medical Center

Achieve a stunning, natural-looking smile that enhances your overall appearance and boost your confidence.
Our minimally invasive techniques allow us to retain as much of your original tooth structure as possible.
Each veneer is painstakingly crafted to complement your unique features.
Our veneers offer long-lasting durability, ensuring your smile stands the test of time.
Despite their delicate appearance, veneers can reinforce the strength and durability of your teeth.
We offer a variety of options including Emax, zirconia, or feldspathic veneers.
With proper care, high quality veneers can last up to 20 years.

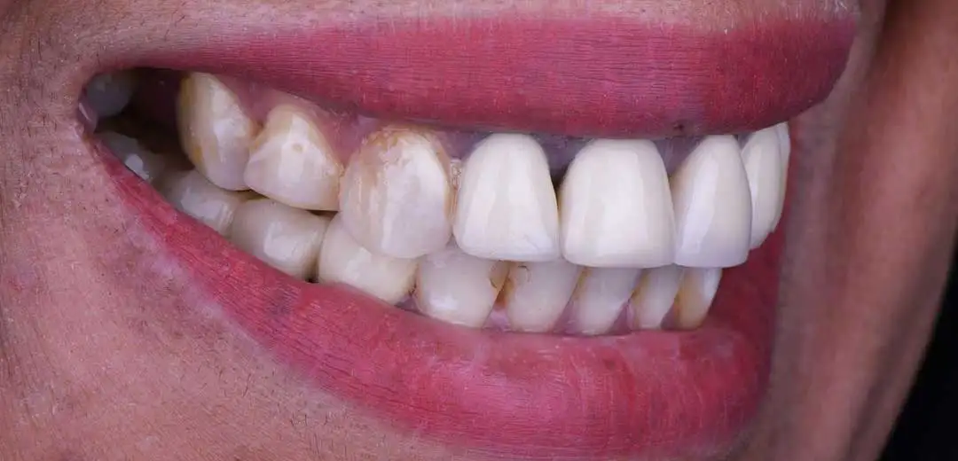
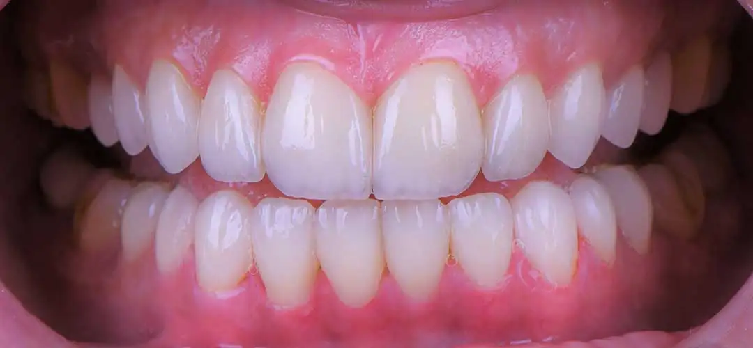
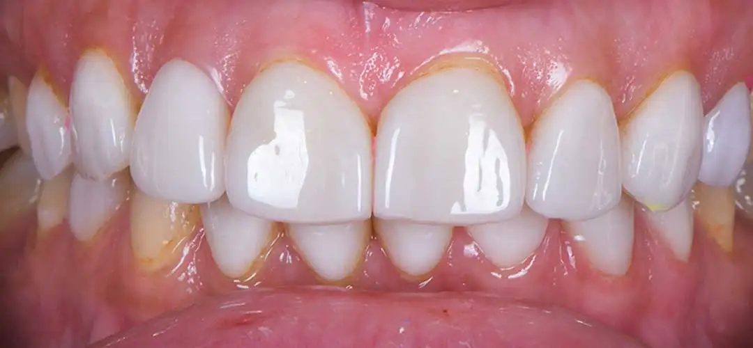
Veneers Cases

by Our Smile Makers

Before veneers treatment
Before
After veneers treatment
Veneers by Dr. Oussama Alaoui
Before veneers treatment
Before
After veneers treatment
Veneers by Dr. Oussama Alaoui
Before veneers treatment
Before
After veneers treatment
Veneers by Dr. Oussama Alaoui
Before veneers treatment
Before
After veneers treatment
Veneers by Dr. Oussama Alaoui
Before veneers treatment
Before
After veneers treatment
Veneers by Dr. Roula Kilani
Before veneers treatment
Before
After veneers treatment
Veneers by Dr. Roula Kilani
Before veneers treatment
Before
After veneers treatment
Veneers by Dr. Roula Kilani
Before veneers treatment
Before
After veneers treatment
Veneers by Dr. Roula Kilani
Before veneers treatment
Before
After veneers treatment
Veneers by Dr. Bader Al-Deen Al-Lahham

Porcelain Veneers

Enhance your smile with natural-looking veneers.

Porcelain veneers are ultra-thin, custom-made shells designed to cover the front surface of your teeth. Crafted from high-quality porcelain, our porcelain dental veneers in dubai and abu dhabi are meticulously crafted to match the color, shape, and translucency of natural teeth, providing a seamless and natural-looking result.

What is the procedure for getting veneers?

Getting veneers at Harmony Medical Center in dubai and abu dhabi typically involves these steps.

Consultation

Discussing your goals and expectations with one of our cosmetic dentists or prosthodontists.

Preparation

Under local anesthesia, we remove a very small amount of enamel from the tooth surface to make space for the veneers.

Impressions

We take impressions of your teeth to create custom-made veneers.

Temporary Veneers

We place your temporary veneers while your permanent ones are being made.

Bonding

We will permanently bond your custom-made veneers to your teeth for a long-lasting, natural-looking smile.

Essential Dental Veneer Aftercare Tips for a Long-Lasting Smile

Prioritize Daily Oral Hygiene: Use a non-abrasive toothpaste to brush twice daily and floss regularly to protect your gums and the foundation of your dental veneers.

Avoid Hard and Sticky Foods: Protect your investment by steering clear of ice, hard candies, nuts, or sticky snacks that could chip, crack, or loosen your veneers.

Minimize Staining Beverages: While porcelain veneers are stain-resistant, limit coffee, tea, and red wine to prevent discoloration of your natural surrounding teeth.

Don’t Use Teeth as Tools: Avoid biting on pens or using your teeth to open packaging, as this unnecessary pressure can easily damage the veneer surface.

Wear a Protective Night Guard: If you struggle with bruxism (teeth grinding), a custom night guard is essential to shield your veneers from nocturnal wear and tear.

Attend Regular Dental Exams: Routine professional cleanings and checkups ensure your veneers remain secure and help identify potential issues before they escalate.

Skip Abrasive Whitening Products: Avoid charcoal toothpastes and harsh whitening agents that can scratch or dull the polished finish of your porcelain veneers.

Reduce Tobacco and Smoking: Smoking can lead to gum recession and stain your natural teeth, creating an uneven look between your smile and your veneers.

Monitor Bite and Comfort: While slight initial sensitivity is common, contact your dentist if you experience persistent pain, a loose veneer, or an uneven bite.

Dental Clinics in Dubai & Abu Dhabi

Harmony Medical Center – Dubai

Al Khaleej Al Arabi

Mohammed Bin Zayed City

Khalifa City

FAQs: Veneers

Veneers are suitable for people with chipped, broken, discolored, worn down, or unevenly spaced teeth. On your consultation, your dentist will assess if veneers are the perfect choice for you.

There are two main types of veneers: porcelain and composite.

The cost of veneers varies depending on the type of material used, the number of teeth being treated, and your dentist or specialist’s expertise. Porcelain veneers are generally more expensive than composite resin veneers.

Caring for veneers is similar to caring for your natural teeth.

When done by a skilled cosmetic dentist or prosthodontist, veneers can look very natural. Your dentist will consider the color, size, and shape of your surrounding teeth to create veneers that blend seamlessly with your smile and overall facial features.

There are alternatives to veneers depending on the concerns you want to address:

  • Composite bonding is a less expensive option for minor chips or cracks but may not be as durable as veneers.
  • Teeth whitening may be a suitable alternative if your primary concern is discolored or stained teeth.

Both veneers and composite bonding can improve the appearance of your smile. Veneers are more durable and stain-resistant, while composite bonding is a less invasive and more affordable option. The best choice for you will depend on your specific needs and budget. Discuss the pros and cons of each with your dentist to determine the most suitable solution for you.How are veneers made so they look like natural teeth?

Veneers are carefully crafted to match the color, translucency, and texture of your natural teeth. We work with premium dental laboratories that use high-quality materials and advanced techniques to create veneers that blend seamlessly with your smile. We will ensure that the veneers are properly shaped and sized to complement your facial features and overall aesthetic.

Gum disease needs to be addressed before getting veneers. Healthy gums are crucial for the success and longevity of veneers. If you have gum disease, see one of our Specialist Periodontists (gum experts). They will recommend appropriate treatment to restore gum health before considering veneers.

You can book a veneers appointment online or contact us by phone:

Veneers Dubai: 04 395 5113

Veneers Abu Dhabi: 800 333 444

Our Smile Makers