مع نمو الأطفال وتطورهم ، تتغير أسنانهم وفكيهم باستمرار. في حين أن العديد من الأطفال لا يعانون من مشاكل كبيرة في الأسنان ، فقد يصاب آخرون بمشاكل العض ، والمعروفة أيضا باسم سوء الإطباق ، والتي يمكن أن تؤثر على صحة الفم ورفاهيتهم بشكل عام. يعد تحديد هذه المشاكل مبكرا أمرا ضروريا للعلاج المناسب والوقاية من المضاعفات طويلة المدى. في هذه المقالة ، سوف نستكشف مشاكل العض الأكثر شيوعا عند الأطفال ونوضح سبب أهمية التدخل المبكر من قبل أخصائي تقويم الأسنان.
1. العضة العميقة
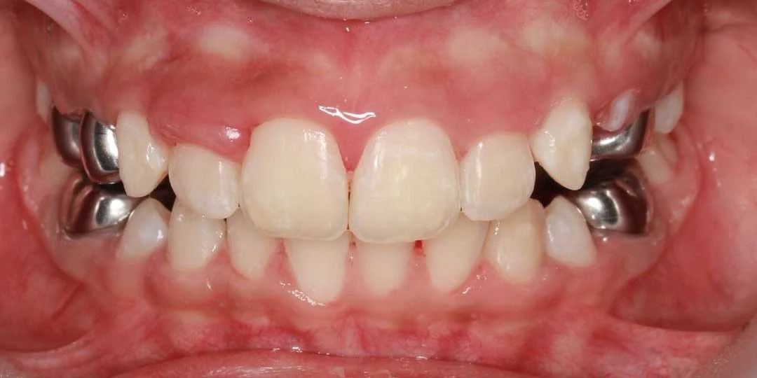
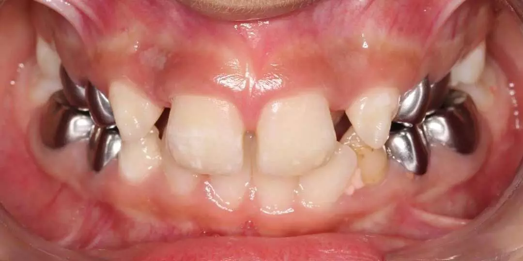
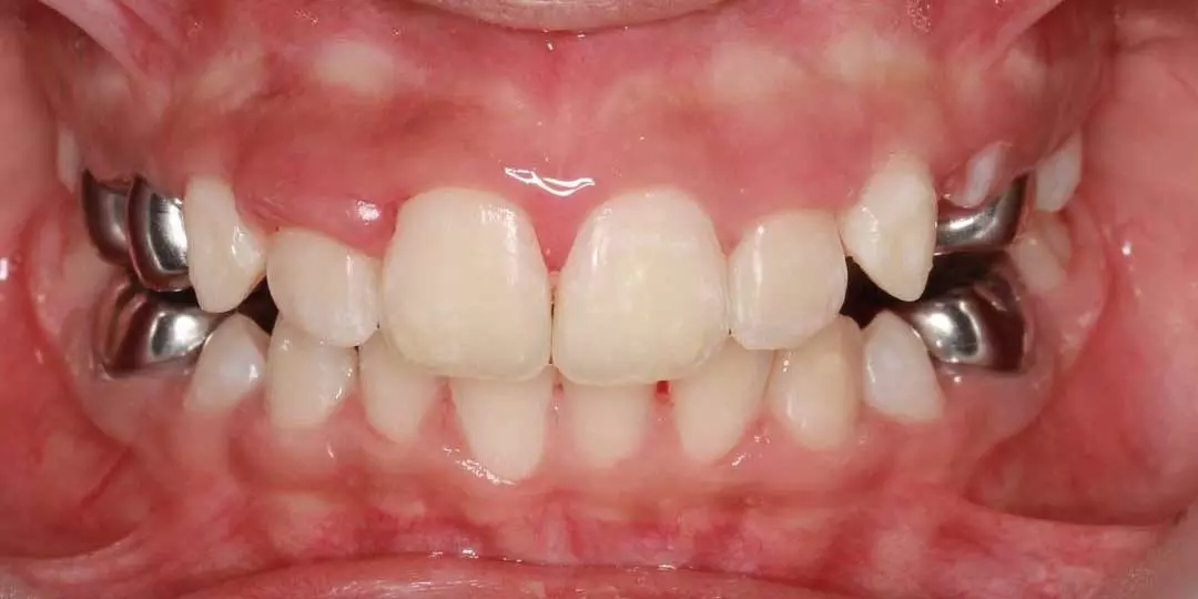
تحدث العضة الزائدة عندما تتداخل الأسنان الأمامية العلوية بشكل كبير مع الأسنان الأمامية السفلية. في الحالات الشديدة ، قد تعض الأسنان السفلية سقف الفم ، مما يسبب عدم الراحة أو تلف الأنسجة المحيطة. قد يعاني الأطفال المصابون بالعضة الزائدة أيضا من مشاكل في الكلام أو صعوبة في المضغ. العضة الزائدة هي من أكثر مشاكل العض شيوعا عند الأطفال. العلاج المبكر مهم لمنع مشاكل مثل تآكل الأسنان وتهيج اللثة وآلام الفك في وقت لاحق من الحياة.
2. العضة السفلية
العضة السفلية هي عكس العضة الزائدة ، حيث تمتد الأسنان الأمامية السفلية إلى ما وراء الأسنان الأمامية العلوية. يمكن أن تؤدي هذه الحالة إلى اختلال التوازن في مظهر الوجه وقد تتداخل مع المضغ والتحدث بشكل صحيح. غالبا ما تحدث العضة السفلية بسبب نمو غير متناسب للفك السفلي ، وفي الحالات الشديدة ، يمكن أن تؤدي إلى مشاكل في وظيفة الفك وبنية الوجه العامة.
يمكن أن تساعد معالجة العضة السفلية مبكرا في تجنب العلاجات أو الجراحة الأكثر تعقيدا في المستقبل.
3. العضة المعكوسة
تحدث العضة المعكوسة عندما تجلس الأسنان العلوية داخل الأسنان السفلية عند العض ، إما على جانب واحد من الفم أو كليهما. يمكن أن يؤثر هذا المحاذاة الخاطئة على كل من الأسنان الأمامية والخلفية. يمكن أن تسبب العضة المعكوسة تآكلا غير متساو للأسنان ، ومشاكل اللثة ، وحتى عدم تناسق الوجه إذا تركت دون علاج.
قد يوصي أخصائي تقويم الأسنان الخاص بطفلك بالعلاج المبكر للعضة المعكوسة لتصحيح محاذاة الفك بينما لا تزال عظام الطفل في النمو، مما يساعد على منع المزيد من المضاعفات.
4. العضة المفتوحة
تحدث العضة المفتوحة عندما لا تلتقي الأسنان العلوية والسفلية عند إغلاق الفم ، مما يترك فجوة بينهما. يمكن أن يحدث هذا في الجزء الأمامي (العضة الأمامية المفتوحة) أو الخلفي (العضة المفتوحة الخلفية) من الفم. يمكن أن تحدث اللدغات المفتوحة بسبب مص الإبهام أو استخدام اللهاية لفترات طويلة أو دفع اللسان أثناء البلع. يمكن أن تتداخل مع المضغ والكلام السليمين ويمكن أن تؤدي إلى مشاكل أسنان أكثر خطورة إذا لم يتم علاجها. يمكن أن يساعد التدخل المبكر لتقويم الأسنان في إغلاق اللدغة واستعادة الوظيفة المناسبة.
5. الازدحام
يحدث الازدحام عندما لا تكون هناك مساحة كافية في الفك لمحاذاة جميع الأسنان بشكل صحيح ، مما يتسبب في تداخل الأسنان أو دورانها. هذه مشكلة شائعة لدى كل من الأطفال والبالغين ، ويمكن أن تجعل تنظيف الأسنان بالفرشاة والخيط أمرا صعبا ، مما يزيد من خطر الإصابة بتسوس الأسنان وأمراض اللثة. يمكن أن يساعد علاج تقويم الأسنان ، مثل الأقواس أو الموسعات ، في خلق المساحة اللازمة لنمو الأسنان بشكل صحيح وتجنب مشاكل الأسنان في المستقبل.
6. فراغات بين الأسنان
على عكس الازدحام ، تحدث مشكلات التباعد عندما يكون هناك مساحة كبيرة بين الأسنان. يمكن أن ينتج هذا عن فقدان الأسنان أو الفكين المتضخمين أو الأسنان الأصغر من المعتاد. في حين أن بعض مشكلات التباعد قد لا تسبب قلقا فوريا ، إلا أن الفجوات الكبيرة يمكن أن تؤثر على عضة الطفل وتطور الكلام. يمكن أن يوصي أخصائي تقويم الأسنان بطفلك بخيارات علاجية لسد الفجوات وتحسين محاذاة الأسنان.
راجع أيضا: لماذا يحتاج طفلك إلى علاج تقويم الأسنان؟
لماذا التدخل المبكر مهم
تؤكد الجمعية الأمريكية لأخصائيي تقويم الأسنان على أهمية تقييمات تقويم الأسنان المبكرة ، من الناحية المثالية بحلول سن 7. في هذه المرحلة، يمكن لأخصائي تقويم الأسنان الخاص بطفلك تحديد مشاكل العض المحتملة وتحديد ما إذا كانت هناك حاجة إلى علاج مبكر. يمكن للتدخل المبكر:
- توجيه نمو الفك
- للحصول على مساحات للأسنان التي ستبزغ
- خلق مساحة للأسنان المزدحمة
- تقليل الحاجة إلى علاج أكثر شمولا في المستقبل
- تحسين المظهر واحترام الذات
- حماية الأسنان من التآكل والتلف
يتم تدريب أخصائيي تقويم الأسنان بشكل خاص لتشخيص وعلاج سوء الإطباق ومشاكل محاذاة الأسنان الأخرى عند الأطفال. من خلال استشارة أخصائي تقويم الأسنان مبكرا ، يمكنك المساعدة في ضمان نمو أسنان وفك طفلك بشكل صحيح ، مما يضع الأساس لابتسامات صحية مدى الحياة.
لمعرفة المزيد أو تحديد موعد استشارة مع أي من أخصائيي تقويم الأسنان لدينا في مركز هارموني الطبي ، قم بزيارة عياداتنا في دبي أو أبو ظبي أو اتصل بنا على 04 395 5113 أو 800 333 444. نحن هنا للمساعدة في إرشادك خلال كل خطوة من خطوات رحلة أسنان طفلك ، مما يضمن حصوله على الرعاية التي يحتاجها لتحقيق ابتسامة صحية ومتوافقة.


