Disclaimer
To our valued patients, please beware of false online offers promising free treatments at Harmony Medical Center.
Book your appointment
Submitting your request
Disclaimer
To our valued patients, please beware of false online offers promising free treatments at Harmony Medical Center.
Send an enquiry
EnglishEnglish
EnglishEnglish
العربيةالعربية
teeth whitening - dubai - abu dhabi

In-Office Teeth Whitening in Dubai and Abu Dhabi

Safe and fast teeth whitening procedure.

At Harmony Medical Center, we offer advanced in-office teeth whitening treatments in dubai and abu dhabi designed to give you a visibly whiter smile in just one visit. Using cutting-edge whitening technology and professional-grade bleaching agents, our experienced dentists and dental hygienist can safely and effectively remove years of stains and discoloration from your teeth.

Benefits of In-Office Teeth Whitening at Harmony Medical Center

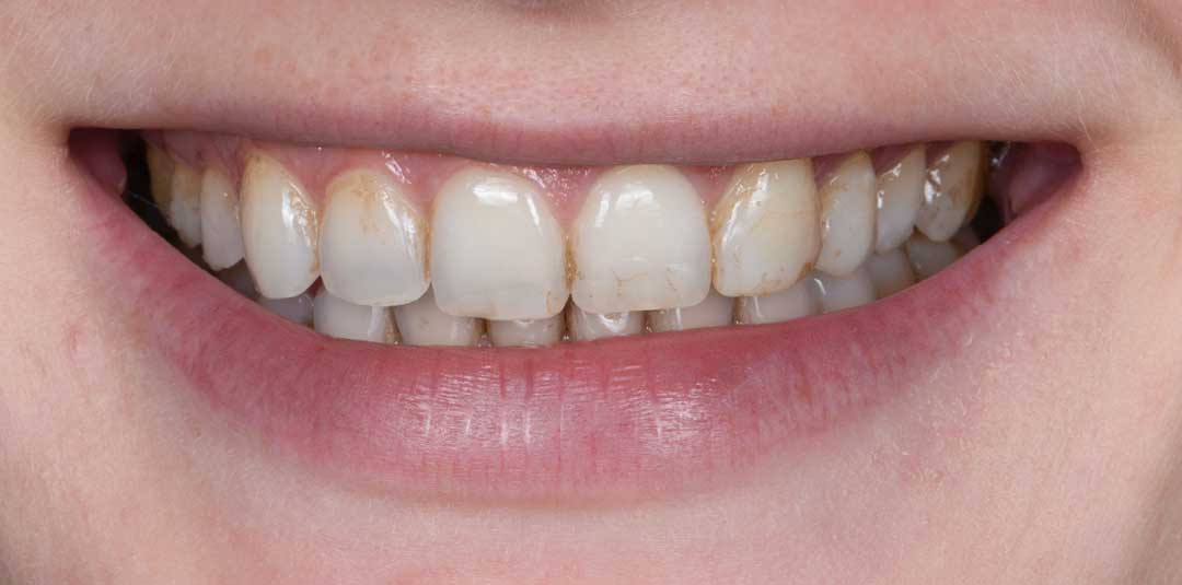
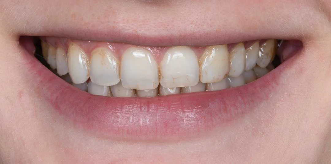
In-Office Teeth Whitening Before and After

Before in-office teeth whitening treatment
Before
After in-office teeth whitening and Guided Biofilm Therapy
After GBT & Teeth Whitening
Before in-office teeth whitening treatment
Before
After in-office teeth whitening and Guided Biofilm Therapy
After GBT & Teeth Whitening
Before in-office teeth whitening and Guided Biofilm Therapy
Before
After in-office teeth whitening and Guided Biofilm Therapy
After GBT & Teeth Whitening

Our In-Office Teeth Whitening Process

Before undergoing in-office teeth whitening, a dental check-up is essential to assess the overall health of your teeth and gums. This helps identify any underlying issues such as cavities or gum disease that may need treatment before whitening. Our in-office teeth whitening treatment in Dubai and Abu Dhabi usually takes about two hours, depending on your specific needs and desired level of brightness.

Consultation & Shade Assessment

We evaluate your teeth and determine the ideal whitening shade for a natural yet radiant look.

Preparation & Protection

A protective barrier is applied to your gums to ensure safety during the whitening process.

Gel Application & Light Activation

We apply a professional-grade whitening gel which breaks down stubborn stains and activate it with LED or laser light in three 15-minute cycles.

Immediate Results & Long-Term Care

You'll see visible results immediately, and we'll provide comprehensive aftercare instructions to maintain your brighter smile.
In-office teeth whitening - harmony

Maintain Your Bright Smile

To keep your teeth looking radiant after whitening, our team at Harmony advises you to:

Our General Dentists in Dubai & Abu Dhabi

Why Choose Harmony for In-Office Teeth Whitening in Dubai & Abu Dhabi?

Instant, Visible Results: Achieve a noticeably brighter smile in just one session, often under 60 minutes.

Advanced Flash Whitening Technology: We use German-engineered Flash technology for precise, reliable, and professional whitening results.

Painless & Low Sensitivity: Our techniques are designed to minimize sensitivity and discomfort.

Customized Treatment Plans: Whitening tailored to your tooth shade, sensitivity level, and smile goals.

Long-Lasting Results: Professional-grade whitening that maintains brightness longer than over-the-counter options.

Comprehensive Dental Care: Whitening backed by full dental support for a healthy, confident smile.

Multilingual Dental Hygienists: Speaking English, Arabic, Italian, Russian, French, Spanish, Farsi, and Portuguese

Trusted Clinics in Dubai & Abu Dhabi: High standards of care across both locations for consistent quality.

Flexible Payment Options: Enjoy 0% installment plans, affordable pricing, and insurance acceptance for stress-free teeth whitening.

Same-Day Teeth Whitening Appointments: Get a brighter smile on the same day, with fast, efficient in-office treatments to fit your schedule.

FAQs: In-Office Teeth Whitening

In-office teeth whitening typically requires around two hours contingent upon your individual needs and desired level of whitening. This includes preparatory procedures and three 15-minute sessions of whitening treatment.

Following your whitening treatment, you are advised to refrain from consuming coffee, tea, and other colored beverages for a duration of 2 days. Additionally, it is recommended to avoid foods that may potentially stain your teeth, such as tomatoes, steak, and broccoli etc. Instead, opt for lighter fare such as white rice, chicken, and pasta with white sauce during this period.

To maintain the longevity of your whitening results, it is essential to adhere to regular dental cleaning appointments. You can also discuss home whitening touch-ups with your dental hygienist or dentist to further sustain your results.

Use a straw when drinking highly staining beverages having such as coffee, team or soda, to help minimize contact with the teeth. Rinsing your mouth thoroughly with water after having staining food and drinks.

Incorporating a non-abrasive whitening toothpaste into your morning oral care routine, complemented by a fluoride toothpaste in the evening, can be beneficial. Additionally, maintaining a robust home oral hygiene regimen, which includes the use of interdental aids, contributes to overall oral health and the preservation of whitening outcomes.

Your dental hygienist or dentist will help you choose the right product to help keep your teeth bright and health.

Patients with sensitive teeth can still undergo teeth whitening procedures with appropriate precautions. At Harmony, we recommend a fluoride application before the whitening process to help minimize sensitivity.

Whitening treatments can also be performed in shorter intervals rather than all at once, further mitigating discomfort. These measures enhance the overall comfort and effectiveness of the whitening procedure for individuals with sensitive teeth.

Whitening touch-ups can be conducted every 4 months as desired. This periodic maintenance allows you to sustain and refresh your whitening results over time, promoting continued brightness and confidence in their smile.

Prior to undergoing whitening treatment, it is essential to undergo a thorough dental examination to ensure the absence of any cavities. This precaution is crucial as peroxide, a common component in whitening agents, can potentially penetrate cavities and exacerbate dental issues.

For best results, it is recommended that you get a cleaning done to remove plaque and tartar buildup prior to your whitening treatment. This step prevents inadvertent whitening of tartar deposits, thereby ensuring a more uniform and effective whitening outcome.

Yes, we do. We offer flexible installment payments for teeth whitening treatments through Tabby and Tamara, allowing you to split your payment into 4 equal monthly installments. Please call us at 04 395 5113 (Dubai) and 800 333 444 (Abu Dhabi) for more information.

The cost of teeth whitening in Dubai and Abu Dhabi can vary depending on several factors, including the type of whitening treatment, the whitening system used, as well as the clinician’s expertise. At Harmony Medical Center, we only use clinically proven systems – Flash. We’re currently running a teeth whitening offer starting from AED 1,300.