Disclaimer
To our valued patients, please beware of false online offers promising free treatments at Harmony Medical Center.
Book your appointment
Submitting your request
EnglishEnglish
EnglishEnglish
العربيةالعربية

Invisalign Treatment Dubai & Abu Dhabi

Straighten your teeth the invisible way.

Invisalign dubai - jumeirah

Did you know that over 18 million people worldwide have chosen Invisalign to transform their smiles? Invisalign is an advanced orthodontic solution that uses a series of custom-made, clear aligners to gradually move your teeth into the desired position. These nearly invisible aligners make Invisalign a discreet and comfortable alternative to traditional braces.

Invisalign can effectively treat a wide range of orthodontic concerns, including gapped teeth, crowded teeth, overbites, underbites, crossbites, and open bites. Whether you're exploring Invisalign before and after results or simply wondering how much Invisalign costs, it’s clear why this treatment has become so popular among both teens and adults.

For those searching for Invisalign treatment Dubai and Abu Dhabi, our certified orthodontists offer personalized care using advanced technology to ensure precise, predictable results. If you’re looking for Invisalign treatment near me, our dental clinics in Dubai and Abu Dhabi are equipped to deliver exceptional care.

Invisalign braces, often referred to as invisible braces or invisible dental braces are removable, gentle on the gums, and designed for everyday comfort. Our expert team is here to guide you through every step of your Invisalign journey.

From understanding Invisalign cost to addressing any Invisalign concerns, we provide transparent guidance so you can make an informed decision. Visit our Invisalign clinic in dubai and abu dhabi today and discover how orthodontist braces Invisalign solutions can help you achieve a confident, healthy smile.

Invisalign dubai

How Invisalign Works

Invisalign provides a nearly invisible, comfortable solution to straighten teeth using custom clear aligners made specifically for your smile.

Initial Consultation

Your orthodontist evaluates your teeth, bite, and oral health, taking precise 3D scans to plan a custom Invisalign treatment.

Custom Treatment Plan

A tailored plan maps the gradual movement of teeth and provides a digital preview of your expected final smile.

Series of Clear Aligners

Each aligner is custom-made to apply gentle, controlled pressure to move teeth step by step into proper alignment.

Wear & Progress

Aligners should be worn 20–22 hours daily, changing every 1–2 weeks, gradually moving teeth while your progress is monitored.

Regular Check-ups & Results

Visit your orthodontist every 6–8 weeks to monitor progress. Treatment usually takes 6–18 months and is followed by retainers to maintain your aligned smile.

Why Choose Invisalign Over Braces

A modern, clear solution to straightening teeth with comfort, convenience, and confidence.

Nearly Invisible

Clear aligners make your smile transformation discreet—perfect for teens and adults who want a subtle approach.

All-Day Comfort

Smooth, BPA-free plastic ensures gentle contact with your teeth and gums—no poking or irritation from wires or brackets.

Removable & Flexible

Take out your aligners anytime for meals, brushing, or special occasions—making oral hygiene and lifestyle easy to maintain.

No Food Limits

Enjoy all your favorite foods without restriction, since aligners are simply removed during meals.

Fewer Office Visits

Spend less time in the chair—aligners often require fewer and shorter check-ins than traditional braces.

Predictable Results, Faster

Advanced 3D planning lets you see your smile journey ahead of time, often finishing treatment months sooner than braces.

Track Your Progress

Use the My Invisalign™ app to monitor your treatment and stay connected with your orthodontist remotely.

Special Offer

5O% off Invisalign

Down Payment: AED 5,000
(Regular price starting from AED 12,000)

Benefits of Invisalign Treatment

Invisalign clear aligners are virtually invisible, ensuring a discreet orthodontic journey that doesn't compromise your appearance.
Invisalign aligners are smooth, comfortable, and gentle on your gums.
You can remove your Invisalign aligners during meals and enjoy your favorite food without restrictions.
Cleaning your aligners is simple, and your daily oral hygiene routine remains hassle-free.
Properly aligned teeth are easier to clean, reducing the risk of cavities, gum disease, and other oral health issues.
Invisalign technology enables precise planning and tracking of your treatment, leading to faster results and fewer office visits.

Orthodontic Cases Suitable for Invisalign Treatment

Invisalign treatment is suitable for children, teens, and adults, offering a discreet and comfortable alternative to traditional braces. It can treat a wide range of orthodontic issues, including:

Crowded Teeth

When teeth are too close together, Invisalign can gently shift them into proper alignment.

Gaps in Teeth

Invisalign can close spaces between teeth, creating a more even and harmonious smile.

Overbite

When the upper teeth overlap the lower teeth excessively, Invisalign can correct this issue.

Underbite

Invisalign can also address underbites, where the lower teeth protrude further than the upper teeth, although severe cases may require additional treatment.

Crossbite

This occurs when some upper teeth bite inside the lower teeth, and Invisalign can effectively correct it.

Open Bite

When the upper and lower teeth don't meet when the mouth is closed, Invisalign can help close this gap.

Your Invisalign Journey

at Harmony Medical Center

At Harmony Medical Center in dubai and abu dhabi, your Invisalign journey begins with a consultation with one of our Invisalign-certified Specialist Orthodontists, such as Dr. Najwana Attisha, a highly experienced and forward-thinking Specialist Orthodontist with more than 20 years of clinical expertise. She is widely recognized for providing advanced, patient-centered orthodontic care tailored to each individual’s needs. You will visit your orthodontist approximately every 6-8 weeks to assess your progress and receive your next set of aligners. Typically, Invisalign aligners have to be worn for 20 to 22 hours a day to achieve the best results.

Invisalign Before and After

by Our Smile Makers

invisalign
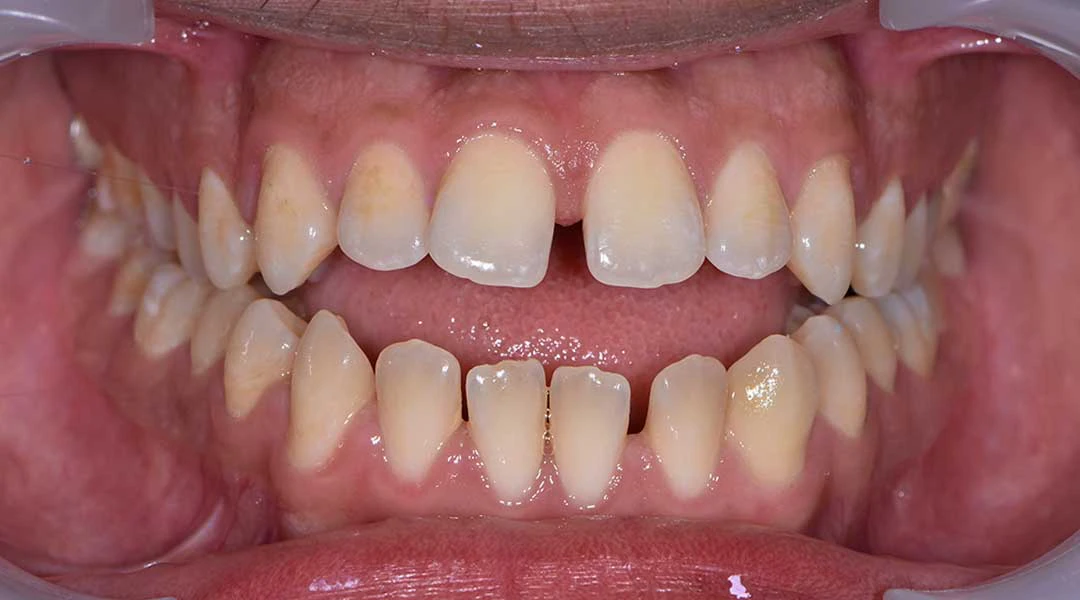
Before
invisalign dubai
Invisalign by Dr. Najwana Attisha
Before Invisalign Treatment
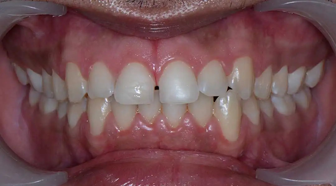
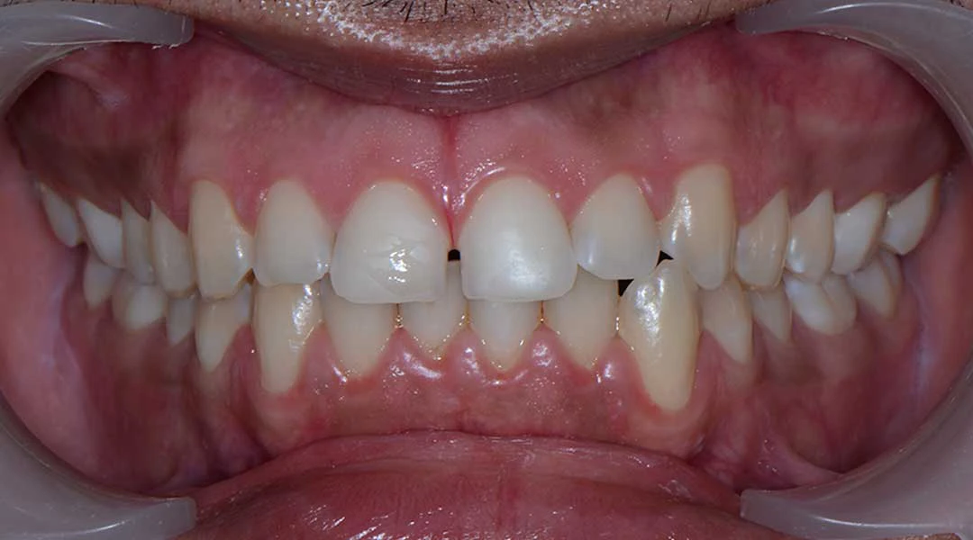
Before
invisalign before and after
Invisalign by Dr. Iyad Al Samman
Before Invisalign Treatment
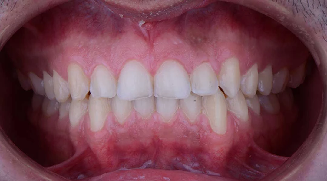
Before
invisalign treatment near me
Invisalign by Dr. Mohammad Baderaddeen
invisible braces dentist nearby
Before
invisible dental braces nearby
Invisalign by Dr. Karam Kharsa
Invisalign dentist near me

Clear aligner results Dubai

Clear aligner results Dubai

Why Choose Harmony Medical Center for Your Invisalign Treatment in Dubai & Abu Dhabi?

Diamond Invisalign® Providers: Recognized as one of the top 1% of Invisalign® providers in the UAE, ensuring exceptional expertise and care.

JCI Accredited Facilities: Our dental clinics meets the highest international standards for safety and patient care.

20K+ Successful Cases: Over 20,000 successful Invisalign® treatments with proven results.

Multilingual Invisalign Dentists: Our Invisalign braces dentist speaks Arabic, English, Portuguese, Russian, Farsi, French, and Spanish, providing clear, personalized communication for patients from diverse backgrounds.

Advanced Technology: We use cutting-edge technology, including 3D scanning, to deliver precise, customized Invisalign® treatments.

Customized Treatment Plans: Every plan is tailored to your unique smile, ensuring the most effective and beautiful results.

Free Digital Smile Preview: See your future smile before treatment with our complimentary digital preview.

Convenience & Comfort: Experience stress-free visits with same-day appointments and complimentary valet parking.

Flexible Payment Options: Take advantage of 0% interest installment plans for affordable, stress-free care. We also accept insurance for added convenience.

Dental Clinics in Dubai & Abu Dhabi

Harmony Medical Center – Dubai

Al Khaleej Al Arabi

Mohammed Bin Zayed City

Khalifa City

Our Certified Invisalign Providers in Dubai & Abu Dhabi

FAQs: Invisalign Treatment

Invisalign is a discreet alternative to braces using custom clear aligners to gradually straighten teeth. Aligners are removable, nearly invisible, and changed every 1–2 weeks.

Ideal for teens and adults wanting to correct crooked teeth, gaps, overbites, underbites, or crossbites. Success depends on following your dentist’s instructions.

Yes, it’s definitely worth it if you wear the aligners as prescribed. It’s discreet, removable, and easier to clean than traditional braces.

Searching for invisible braces dentist nearby? An Invisalign dentist or orthodontist is a trained professional who provides treatment using clear aligners.

Wear your aligners 20–22 hours daily, removing them only to eat, drink (except water), or brush.

Best for ages 13+ once permanent teeth are in, with no upper age limit if teeth and gums are healthy.

  • Consultation & 3D scan of teeth
  • Custom treatment plan with digital preview
  • Wear aligners for 1–2 weeks per set
  • Regular check-ups until teeth are straight

Looking for invisalign treatment near me? Yes, Harmony Dental Clinics offer Invisalign in Jumeirah, Dubai, Khalifa, MBZ, and Al Khaleej, Abu Dhabi.

Wear aligners 20–22 hours per day as directed to ensure proper tooth movement.

Invisalign corrects crowding, spacing, overbites, underbites, and crossbites effectively.

Invisalign offers the freedom to enjoy your favorite foods and beverages without restrictions. Here's what to keep in mind:

The average treatment time with Invisalign is 12-18 months, but this can vary depending on the complexity of your case.

The cost of Invisalign treatment can vary depending on the complexity of your case and how long your orthodontic treatment will take. However, now is a great time to start—Harmony Medical Centers in both Dubai and Abu Dhabi are currently offering 50% off Invisalign, with prices starting from just AED 5,000. This limited-time offer also includes a free orthodontic consultation, free dental check-up, free panoramic X-ray, a complimentary digital smile preview, and even a free home whitening kit. To make it even easier, interest-free payment options are available.

You may experience some mild discomfort when you first start wearing a new set of aligners, but this typically goes away within a few days.

You should brush and floss your aligners daily and clean them with a special cleaning solution. When not in use, keep them in their case to prevent them from getting lost or damaged.

Some people may experience a slight lisp when they first start wearing Invisalign, but this usually goes away within a few days as they adjust to the aligners.

Once you have completed your Invisalign treatment, you will be recommended to wear retainers to prevent your teeth from shifting back. Your orthodontist will give specific instructions on how often you’ll wear yours.

Yes, we do. We offer flexible installment payments through Tabby and Tamara, allowing you to split your payment into 4 equal monthly installments.

You can book online or call us directly: