Disclaimer
To our valued patients, please beware of false online offers promising free treatments at Harmony Medical Center.
Book your appointment
Submitting your request
EnglishEnglish
EnglishEnglish
العربيةالعربية
Photo of Dr. Iyad Al Samman, Head of Orthodontics at Harmony Medical Center, with a smiling patient after treatment.

Orthodontics treatment in Dubai and Abu Dhabi

Smile Transformation with Orthodontic Braces & Invisalign

Harmony orthodontic centrer dubai and abu dhabi provides the best orthodontic treatment in dubai and abu dhabi for teeth straightening with braces in dubai. We have the best orthodontist in dubai and abu dhabi. At Harmony Medical Center, we believe that a well-aligned smile does more than enhance your confidence and it also plays an important role in maintaining excellent oral health. Our experienced team of specialist orthodontists in Dubai and Abu Dhabi provides personalized treatment plans designed to meet your individual needs.

We offer a comprehensive range of orthodontic solutions, including metal and ceramic braces, Damon Braces, Myobrace, retainers, space maintainers, habit breakers, and orthodontic expanders. With our advanced technology and patient-focused approach, we are committed to keeping your teeth healthy while helping you achieve a smile you will love. Transform your smile with state-of-the-art orthodontic care at Harmony.

What Is Orthodontics?

Orthodontics is a dental specialty focused on diagnosing, preventing, and treating irregularities of the teeth and jaws to improve both function and appearance.

What Kind of Dental Problems Does Orthodontics Treat?

Teeth Alignment Issues

Orthodontics treats crowding, where teeth overlap due to lack of space, as well as spacing problems and gaps between teeth.

Deep Bite

A condition where the upper teeth excessively overlap the lower teeth when the mouth is closed.

Underbite

Occurs when the lower jaw protrudes forward, causing the lower teeth to sit in front of the upper teeth.

Overbite

A condition where the upper front teeth extend too far over the lower front teeth.

Open Bite & Jaw Alignment

When upper and lower teeth do not touch properly, affecting chewing, speech, and facial balance. Orthodontics helps restore proper bite and jaw function.

Luxury Orthodontics, Exceptional Packages.

It’s never too late to achieve the smile you've always dreamed of. Book a free orthodontic consultation with one of our Specialist Orthodontists in Dubai and Abu Dhabi and take advantage of our limited-time offer: 50% off Invisalign and 35% off braces.

Types of Orthodontic Treatments

Metal Braces

These time-tested metal braces use brackets and wires to align teeth gradually. They are highly effective especially for complex cases.

Ceramic Braces

Ceramic braces use clear or tooth-colored brackets and wires for a more discreet and subtle appearance during orthodontic treatment.

Retainers

Retainers are often used after other orthodontic treatments to prevent relapse and maintain the alignment of your teeth.

Space Maintainers

These devices are used to keep the space open for a permanent tooth to grow in when a baby tooth is lost prematurely, ensuring proper alignment in the future.

Habit Breakers

Habit breakers are orthodontic appliances designed to help children stop habits like thumbsucking or tongue thrusting which can affect dental and facial development.

Orthodontic Expanders

These are used to widen the upper jaw, creating more space for crowded teeth, and improving bite function. They are particularly useful for cases with narrow dental arches.

Myobrace

A preventive treatment for children that corrects oral habits and guides natural teeth alignment.

Invisalign

Clear, custom aligners that straighten teeth discreetly and comfortably for teens and adults.

Invisalign First

Designed for children to correct early alignment and jaw issues while supporting natural growth.

Orthodontic Treatment Before and After

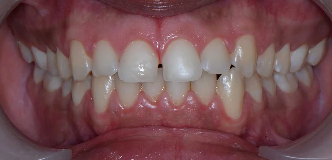
Before
Invisalign by Dr. Iyad Al Samman
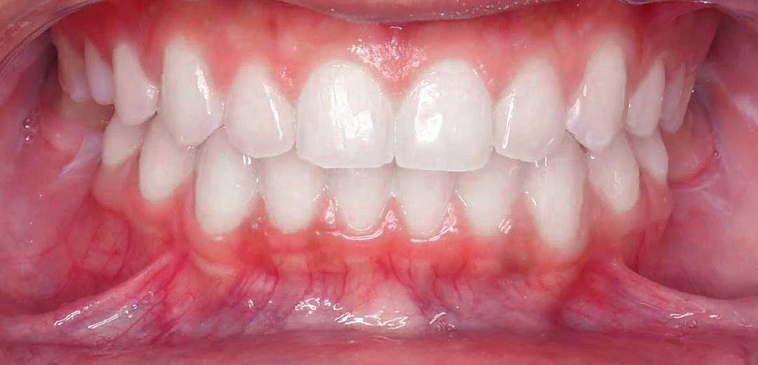
Before
Invisalign by Dr. Karam Kharsa
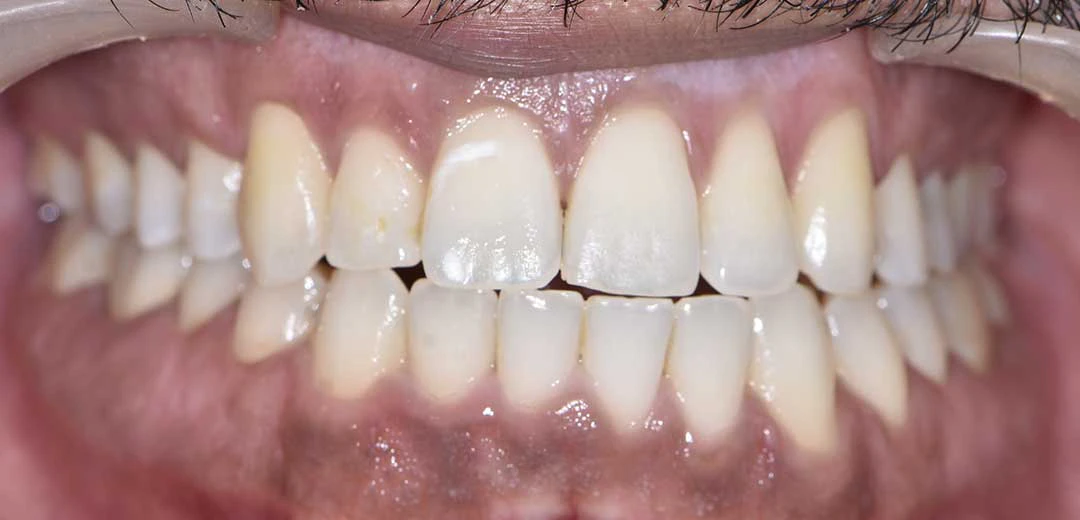
Before
Invisalign by Dr. Najwana Attisha
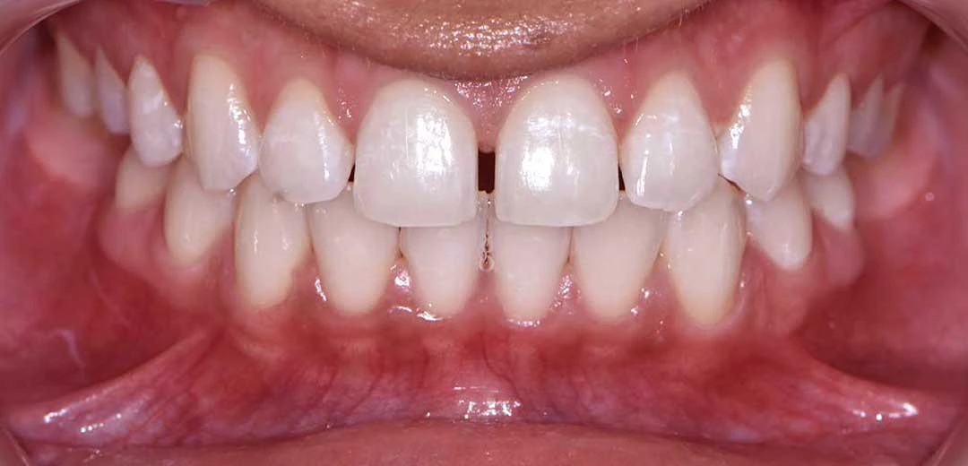
Before
Invisalign by Dr. Mohammad Baderaddeen
Close-up photo of a patient’s mouth before starting treatment with dental braces at Harmony Medical Center.
Before
Final phase dental treatment with braces
Braces by Dr. Mohammad Baderaddeen
before treatment with braces
Before
After treatment with braces
Braces by Dr. Kharam Karsa

Clear Aligners in Dubai and Abu Dhabi

Invisible Teeth Straightening

Clear removable aligners are nearly invisible, making them a popular choice for adults. Invisalign is the most well-known brand in the UAE.

Each treatment is customized using 3D technology. We plan the results in advance and create a series of aligners. Each one gently moves your teeth, gradually giving you the smile you want.

Photo of Dr. Paolo Bellini, Specialist Orthodontist, performing orthodontic treatment at Harmony Medical Center in Dubai & Abu Dhabi.

Benefits of Orthodontic Treatments

Our Specialist Orthodontists in Dubai & Abu Dhabi

Why Choose Harmony for Your Orthodontic Treatment in Dubai and Abu Dhabi?

Certified Specialist Orthodontists: All treatments are provided by experienced, certified orthodontic specialists.

Advanced Digital Technology: We use the latest technology to improve oral health, speech, and bite issues.

High-Quality Materials: Only the best orthodontic products and materials are used for your treatment.

Comprehensive Solutions: We offer a full range of treatments, including metal and ceramic braces, Damon Braces, Myobrace, retainers, space maintainers, habit breakers, and orthodontic expanders.

Free Panoramic X-Ray & CBCT: Get precise diagnostics for safer, more predictable results.

Free Digital Smile Preview: See your new smile before starting your orthodontic journey.

Over 30 Years of Experience: Decades of dental care expertise for reliable results.

Multi-Lingual Dentists: We cater to patients from diverse backgrounds.

Convenient Locations: Clinics in Dubai (Jumeirah) and Abu Dhabi (Khalifa, MBZ City, Al Khaleej).

Flexible Payment Options: Affordable plans to suit every patient.

Free Valet Parking: Available at all our dental clinics for your convenience.

Dental Clinics in Dubai & Abu Dhabi

Harmony Medical Center – Dubai

Al Khaleej Al Arabi

Mohammed Bin Zayed City

Khalifa City

FAQs: Orthodontics Treatment

An orthodontist is a dental specialist who diagnoses, prevents, and treats misaligned teeth and jaws. They create customized treatment plans to improve your bite, oral health, and smile.

Orthodontic” comes from Greek words meaning “straight” and “teeth.” Orthodontics focuses on aligning teeth and jaws for both functional and aesthetic benefits.

Orthodontic treatment straightens teeth and corrects bite problems using braces or aligners to improve dental function and appearance.

General dentists provide routine dental care such as cleaning, fillings, and preventive care. Orthodontists specialize in correcting teeth and jaw alignment using braces, clear aligners, and other appliances.

Children, teens, and adults can all benefit from orthodontic care. Treatment is tailored to each patient’s individual needs.

We offer a wide range of treatments, including metal braces, ceramic braces, Damon Braces, Myobrace, clear aligners (Invisalign), retainers, space maintainers, and habit-breaking appliances.

Treatment duration depends on the severity and complexity of your case. Most cases take between 6 months and 2 years, with regular check-ups to monitor progress. Your orthodontist will provide a personalized timeline.

Yes, clear aligners like Invisalign are virtually invisible and removable, making them a popular choice for adults and teens seeking discreet treatment.

Some mild discomfort or pressure is normal, especially when adjusting braces or switching aligners, but it is generally manageable.

Check-ups are usually scheduled every 4-8 weeks to monitor progress and make adjustments as needed.

With traditional braces, sticky or hard foods should be avoided. Clear aligners can be removed while eating, allowing for a normal diet.

Regular brushing, flossing, and dental check-ups are essential. Your orthodontist will provide guidance on proper care techniques for braces or aligners.

Orthodontic treatment corrects misaligned teeth and jaws, improves oral hygiene, reduces the risk of tooth wear, alleviates jaw pain, enhances speech, and gives you a confident smile.

A retainer is a custom-made device worn after orthodontic treatment to maintain teeth in their new position and prevent them from shifting back.

Invisalign uses clear, removable aligners to straighten teeth discreetly. Each aligner is custom-made and gradually moves teeth into the desired position, offering a comfortable and nearly invisible alternative to traditional braces.

The cost varies depending on the type and complexity of the treatment. Currently, we are offering 50% off Invisalign and 35% off braces treatments across our Dubai and Abu Dhabi clinics.

You can schedule an appointment by calling our clinics at Dubai: 043955113 or Abu Dhabi: 800333444, booking online through our website, or visiting us in person at any of our locations in Dubai (Jumeirah) or Abu Dhabi (Khalifa, MBZ City, Al Khaleej).

Look for certified orthodontic specialists with proven experience, advanced technology, positive patient reviews, and convenient clinic locations. Harmony has experienced orthodontists in Dubai and Abu Dhabi with over 30 years of dental care experience.

Yes, our clinics in Dubai (Jumeirah) and Abu Dhabi (Khalifa, MBZ City, Al Khaleej) provide comprehensive orthodontic services.