- About Us
- Our Team
-
Services
- General & Family Dentistry
- Cleaning, Scale & Polish
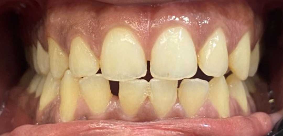
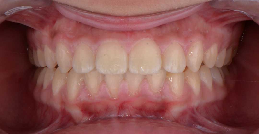
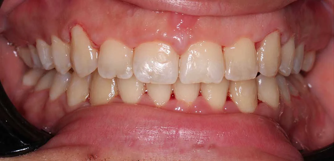
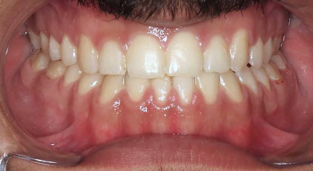
- Teeth Whitening
- Pediatric Dentistry
- Sedation Dentistry
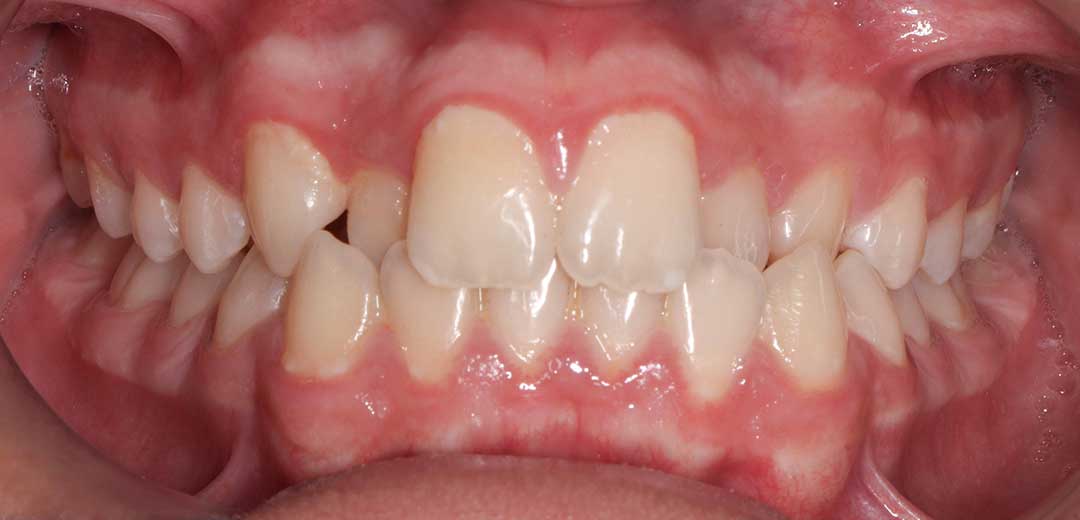
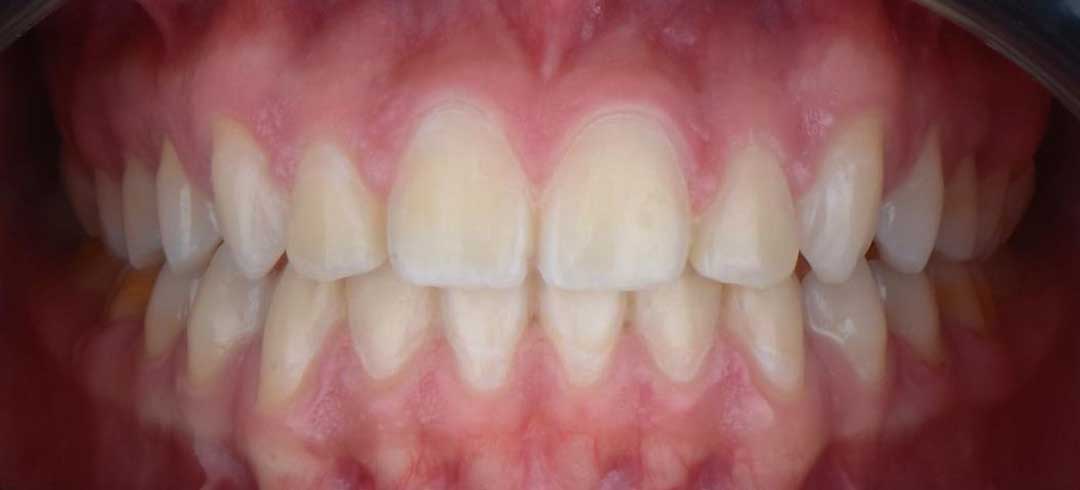
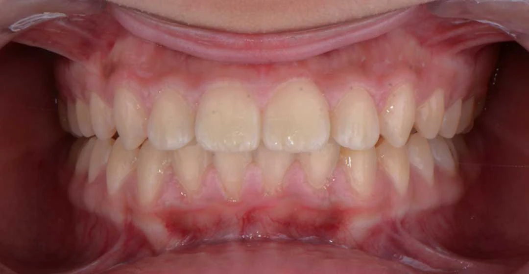
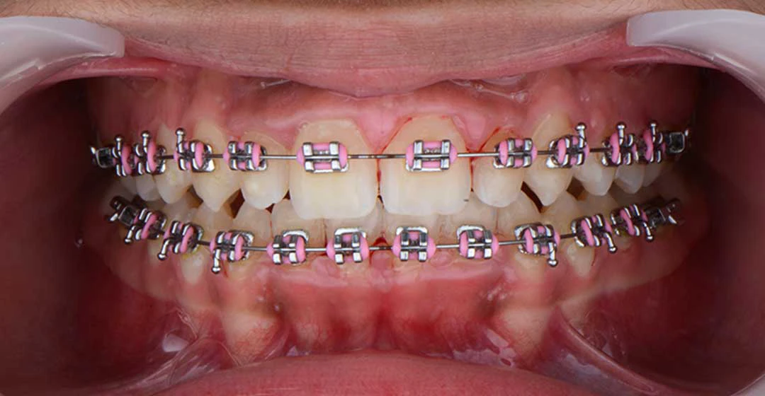
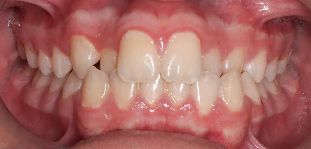
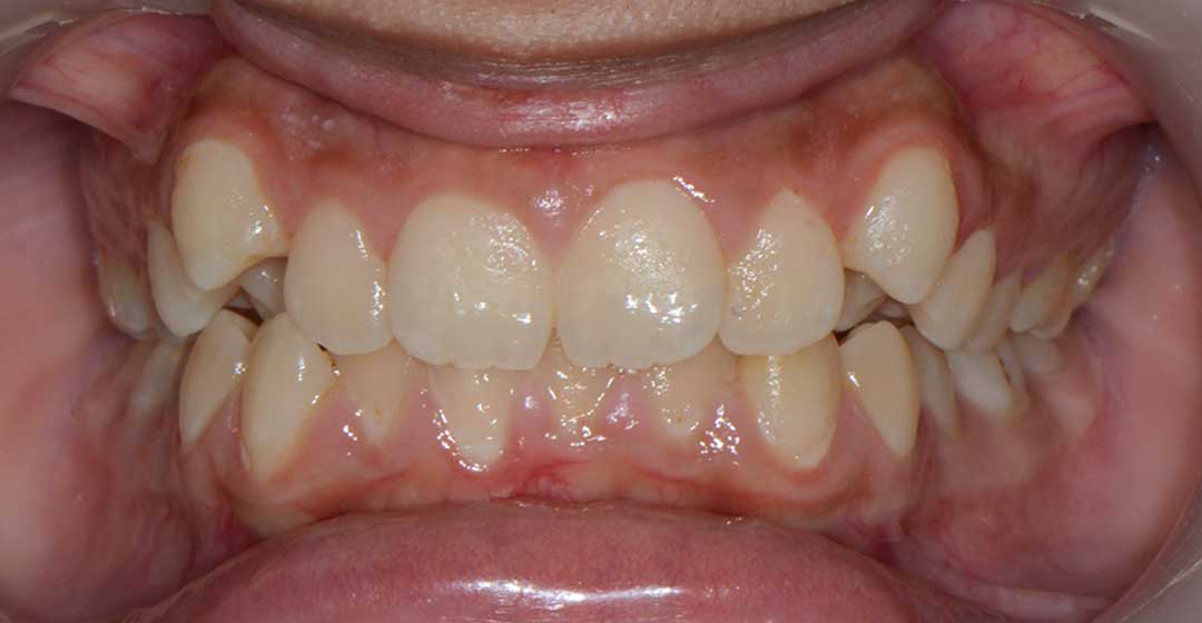
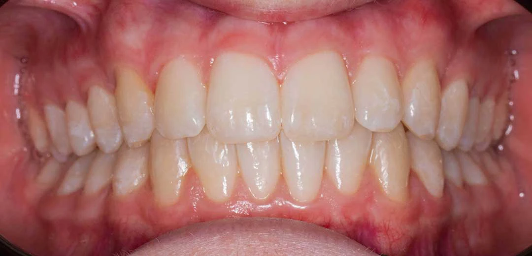
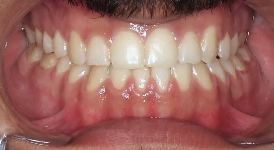
- Orthodontics
- Endodontics
- Cosmetic Dentistry
- Prosthodontics
- Fixed & Removable Dentures
- Crowns & Bridges
- Veneers
- Tooth Extraction
- Porcelain Veneers
- Periodontics
- Wisdom Tooth Extraction
- Dental Implantology
- Oral & Maxillofacial Surgery
- TMJ Treatments
- Sinus Lift
- Inlays & Onlays
- Dental Fillings
- Night Guards
- Dental Check-ups
- Dental Emergencies
- Patient Guide
- Media
- Contacts
- Harmony Education Programs


