Disclaimer
To our valued patients, please beware of false online offers promising free treatments at Harmony Medical Center.
Book your appointment
Disclaimer
To our valued patients, please beware of false online offers promising free treatments at Harmony Medical Center.
Send an enquiry
EnglishEnglish
EnglishEnglish
العربيةالعربية
Dr. Iyad Al Samman – Head of Orthodontics and Specialist Orthodontist at Harmony Medical Center

Dr. Iyad Al Samman

Dr. Iyad Al Samman is a highly proficient Specialist Orthodontist with more than 20 years of experience in the field.

After graduating in 2003, he obtained his Master’s in Orthodontics from Beirut Arab University, Lebanon, in 2008.

In 2010, Dr. Iyad was awarded a Fellowship in Orthodontics by the State University of New York, USA, where he also served as a Clinical Instructor. He is a member of the American Association of Orthodontics and is a Certified Invisalign Provider.

As a Specialist Orthodontist, Dr. Iyad is an expert in the diagnosis and treatment of various malocclusions, offering his expertise to both children and adults.

With his wealth of experience and dedication to the field, he continues to contribute to the well-being and confidence of his patients through orthodontic care.

He speaks English and Arabic.

Dr. Iyad Al Samman practices in:

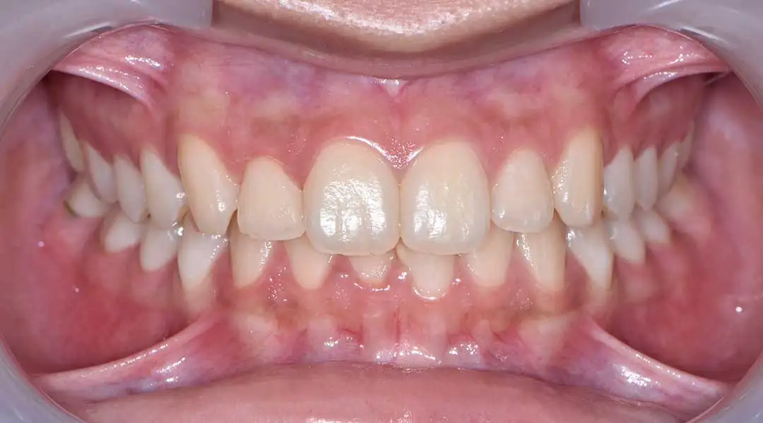
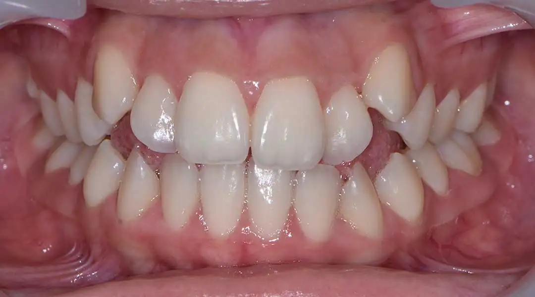
Beautiful Smiles

Dr. Iyad Al Samman

orthodontist near me
orthodontist near me
orthodontics near me
orthodontics near me
orthodontics dubai
orthodontics dubai
orthodontics abu dhabi
orthodontics abu dhabi