Disclaimer
To our valued patients, please beware of false online offers promising free treatments at Harmony Medical Center.
Book your appointment
Submitting your request
EnglishEnglish
EnglishEnglish
العربيةالعربية
Dental Implants near me

Dental Implants in Dubai and Abu Dhabi

Leading Dental Implant Clinic in Dubai & Abu Dhabi

Harmony Dental Clinics has the largest team of board-certified specialist Oral Surgeons placing dental implants in dubai and abu dhabi. At Harmony Medical Center, we understand that tooth loss is not just an aesthetic concern. We know it carries a deeper impact on your well-being. That's where our dental implant treatments come in, redefining the way you experience life with a complete, radiant smile.

Dental implants are considered the gold standard in replacing missing teeth. They provide a strong, long-lasting solution that closely mimics the function and appearance of natural teeth. They are titanium posts inserted into the jawbone that fuse with the bone over time, creating a stable base for attaching crowns, bridges, or dentures. Whether you need a single tooth implant, All-on-4, All-on-6, or even same day implants, we are here to provide you with the highest quality care in Dubai and abu dhabi.

What Are Dental Implants?

Dental implants closely replicate the appearance, feel, and function of natural teeth.

By stimulating the jawbone, implants help prevent bone deterioration and maintain facial structure.

Unlike traditional dentures, implants remain firmly in place and do not slip or cause discomfort.

With proper care and maintenance, dental implants can last for many years—even decades.

Regain your smile and confidence.

Tooth loss should never hold you back from living life to the fullest. Our Oral & Maxillofacial Surgeons, Implantologists, and Periodontists are the experts when it comes to providing dental implants that look, feel, and function just like your natural teeth. We are dedicated to bringing back your confidence, allowing you to smile, eat, and speak with the same ease and comfort you once enjoyed.

dental implants dubai

Dental Implants Before and After

by Our Smile Makers

Before dental implants
Before
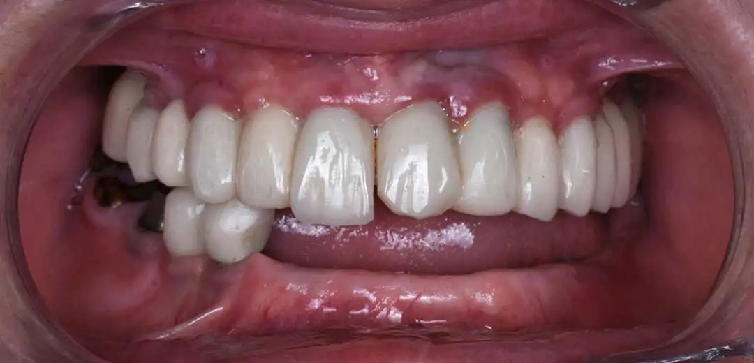
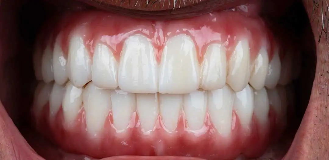
After dental implants treatment in dubai
Treatment includes full mouth extraction and same-day teeth replacement by dental implants and restoration with a full arch of screw-retained zirconia.
Implants by Dr. Ahmad Al Jazairi
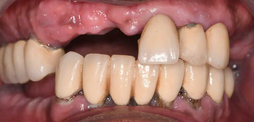
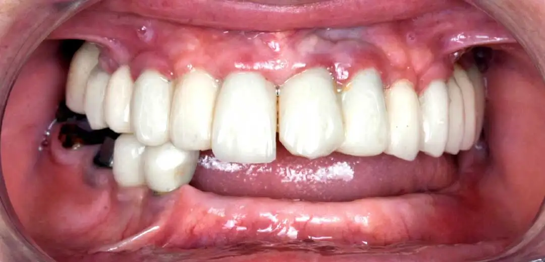
Before dental implants
Before
After dental implants
Treated with full upper and lower arches with 6 implants in each arch.
Implants by Dr. Ahmad Al Jazairi
Before dental implants
Before
After dental implants
Implants by Dr. Ahmad Al Jazairi
Before dental implants
Before
After dental implants
Implants by Dr. Ahmad Al Jazairi
Before dental implants
Before
After dental implants
Full Mouth Rehabilitation by Dr. May Hamid
Before dental implants
Before
After dental implants
Full Mouth Rehabilitation by Dr. Kowatly
dental implants abu dhabi

Benefits of dental implants treatment

at Harmony Medical Center in Dubai & Abu Dhabi

Why are dental implants the best option for replacing missing teeth?

Your Step-by-Step Dental Implant Journey

01
Consultation Icon

Consultation &
Digital Scan

Comprehensive assessment with a 3D CBCT scan for accurate planning.

02
Treatment Plan Icon

Personalized
Treatment Plan

A tailored implant plan designed to match your clinical needs.

03
Implant Placement Icon

Implant Placement

A comfortable, guided surgical procedure with minimal discomfort.

04
Healing Icon

Healing & Integration
(3–4 months)

The implant fuses securely with your jawbone during osseointegration.

05
Crown Icon

Final Crown
Placement

A natural-looking crown is attached for full function and aesthetics.

06
Follow-Up Icon

Ongoing Follow-Up
Care

Routine check-ups to maintain implant health and long-term results.

Types of Dental Implant Treatments

Same Day Dental Implants

Enjoy the unique advantage and convenience of receiving temporary, fully functional teeth on the same day you undergo the implant procedure, allowing for immediate and complete smile restoration.

3D Guided Implant Surgery

We use state-of-the-art 3D technology to plan and place dental implants with superior accuracy, ensuring they are positioned perfectly in your jaw, surpassing the precision of traditional freehand procedures.

All-on-4 Dental Implants

This innovative approach provides you with a full arch of teeth supported by only four dental implants, offering a cost-effective and efficient solution for complete smile restoration.

All-on-6 Dental Implants

For added stability and support, our oral surgeons and periodontists use the All-on-6 approach to secure a full arch of teeth using six dental implants, ensuring a strong and reliable foundation for your new smile.

The Importance of Quality in Dental Implants

  • Internationally certified implantologists use high-quality implants for strength, comfort, and confidence.
  • Superior implants integrate securely with the bone for long-term stability.
  • Premium materials promote healthy healing and reduce irritation.
  • Quality systems closely mimic natural teeth in look and function.
  • Research-backed implants deliver predictable, successful results.

Our Specialist Implantologists in Dubai & Abu Dhabi

Dental Clinics in Dubai & Abu Dhabi

Harmony Medical Center – Dubai

Al Khaleej Al Arabi

Mohammed Bin Zayed City

Khalifa City

FAQs: Dental Implants

Dental implants are small, screw-like posts made of titanium that are surgically placed into your jawbone. They act as artificial roots for replacement teeth, such as crowns, bridges, or dentures. Implants fuse with your jawbone over time, providing a strong foundation for your new teeth.

With proper care and regular dental check-ups, dental implants can last 20 years or longer, often a lifetime.

The cost of dental implants varies based on the number of implants, type of implant, bone condition, and treatment complexity. A personalized consultation is required for accurate pricing. Enjoy up to 40% off on dental implant treatments.

Yes, same-day dental implants (immediate implants) are possible for suitable candidates, allowing placement of an implant and temporary tooth in a single visit.

Yes, we provide same day dental implants in dubai and abu dhabi for eligible patients following a detailed clinical assessment.

Dental implants are categorized based on placement and treatment needs:

  • Endosteal Implants – Placed directly into the jawbone; the most common type.
  • Subperiosteal Implants – Positioned on top of the jawbone for patients with limited bone.
  • Zygomatic Implants – Anchored in the cheekbone for severe upper jaw bone loss.

Immediate implants involve placing the implant and a temporary tooth during the same appointment, allowing patients to leave with a restored smile on the same day.

Yes, we offer All-on-4 dental implants in both Dubai and Abu Dhabi for full-arch tooth replacement.

Yes, All-on-6 dental implants are available in Dubai and Abu Dhabi, providing enhanced stability and support.

Yes, we use advanced 3D guided implant surgery for precise planning, accurate placement, and improved treatment outcomes.

Generally, healthy adults with missing teeth and healthy gums are good candidates for dental implants. However, factors like jawbone health, underlying medical conditions, and smoking habits can influence suitability. A consultation with a dentist specializing in implants is recommended to determine if they're right for you.

At Harmony Medical Center, we prioritize your comfort throughout the dental implant procedure. Before the surgery, we administer local anesthesia to numb the area, ensuring you feel minimal discomfort. Most patients report feeling only mild soreness or tenderness after the procedure, which can be easily managed with over-the-counter pain medication. For patients who require additional care or have dental anxiety, we also offer the option of dental implant surgery under general anesthesia. Please give us a call today for more information.

Absolutely! At Harmony Medical Center, our experienced team specializes in complex implant cases, including the replacement of failing dental implants. We understand the frustration and anxiety associated with implant failure, and we're here to provide a comprehensive solution tailored to your specific needs.

Dental implants provide a significant advantage over dentures. Unlike dentures that can slip and cause discomfort, implants function more naturally, allowing you to enjoy food and speak clearly. They're a long-term investment, lasting a lifetime with proper care, and even better promote jawbone health unlike dentures. Implants offer superior comfort and stability, eliminating the need for messy adhesives and frequent cleaning routines. Overall, they deliver a natural-looking smile and a significant boost to your confidence and quality of life.

Dental implants offer several key advantages over bridges. They preserve the health of adjacent natural teeth by not requiring any alteration or support from them. Additionally, implants stimulate and maintain jawbone density, preventing the bone loss commonly associated with missing teeth and bridges. While the initial cost may be higher, implants provide a superior long-term investment due to their potential to last a lifetime with proper care.

At Harmony, our Oral and Maxillofacial Surgeons and Specialist Implantologists in Dubai and Abu Dhabi have undergone many years of postgraduate training after earning their dental degrees. Their specialized training and surgical expertise equip them to handle even the most complex implant procedures and ensure optimal results, particularly when bone grafting or other advanced techniques are needed.

Yes, we do. All Harmony branches across Dubai and Abu Dhabi offer a 10-year guarantee on dental implants. Give us a call today for more information.

You can book your appointment online or contact us directly:

Dental Implants in Dubai: 04 395 5113

Dental Implants in Abu Dhabi: 800 333 444