Disclaimer
To our valued patients, please beware of false online offers promising free treatments at Harmony Medical Center.
Book your appointment
Loading booking form...
Disclaimer
To our valued patients, please beware of false online offers promising free treatments at Harmony Medical Center.
Send an enquiry
EnglishEnglish
EnglishEnglish
العربيةالعربية
Dr. Karam Kharsa - Orthodontist in abu dhabi

Dr. Karam Kharsa

Dr. Karam Kharsa is a passionate Specialist Orthodontist with over a decade of training and experience in Syria, Egypt, KSA, and the UAE.

He completed his internship from Damascus University, Syria in 2011, then earned his Master’s in Clinical Orthodontics from Cairo University, Egypt in 2015. He is a certified provider of Invisalign, Eon Aligner, lingual orthodontics, and Insignia (3D orthodontics).

Throughout his career, he has perfected the art of delivering precise diagnoses and effective treatment plans through a variety of orthodontic appliances. He offers his expertise to both children and adults, providing treatments with the use of metal and ceramic braces, as well as clear aligners.

Dr. Karam is a member of the World Federation of Orthodontists, the Eurasian Association of Orthodontists, and the Syrian Society of Orthodontists.

He speaks English and Arabic.

Dr. Karam Kharsa practices in:

Beautiful Smiles

by Dr. Karam Kharsa

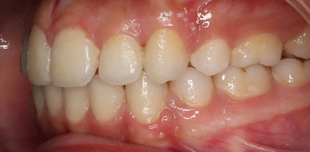
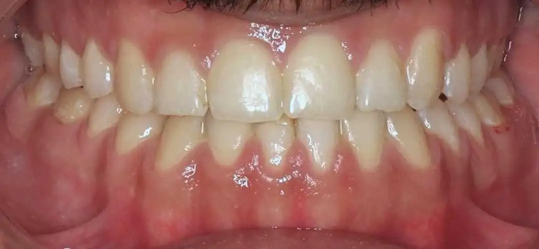
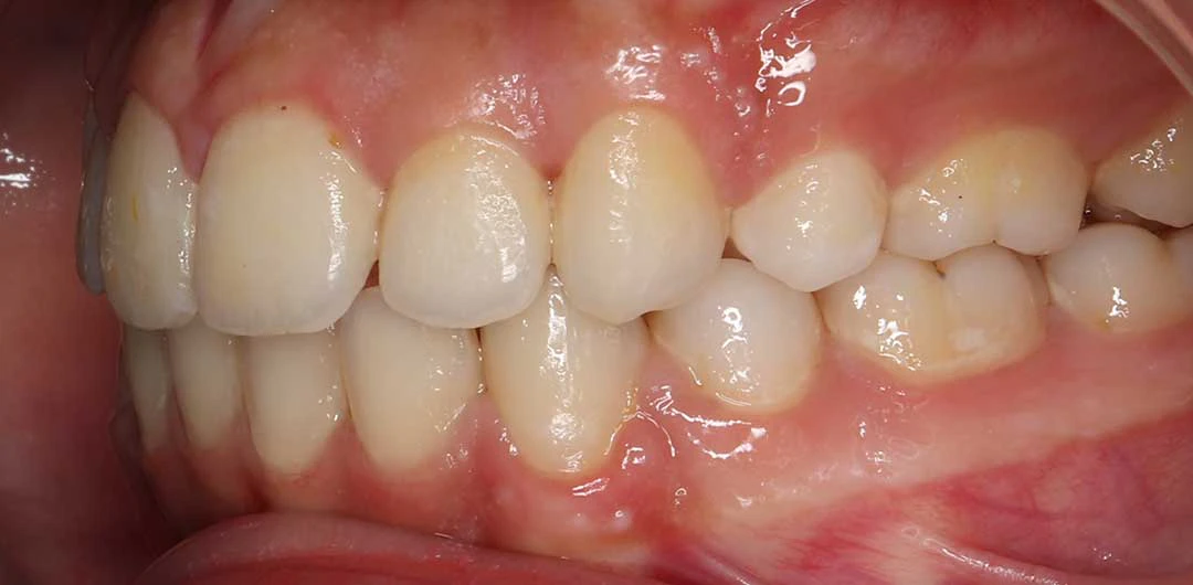
Photo showing teeth of a patient before braces treatment with Dr. Karam Kharsa
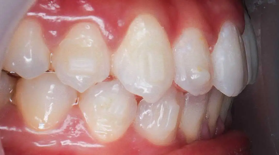
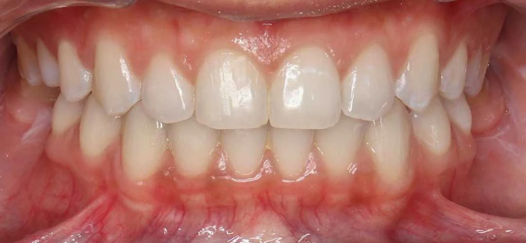
Photo showing teeth of a patient after braces treatment with Dr. Karam Kharsa
Photo showing teeth of a patient before braces treatment with Dr. Karam Kharsa
Photo showing teeth of a patient after braces treatment with Dr. Karam Kharsa
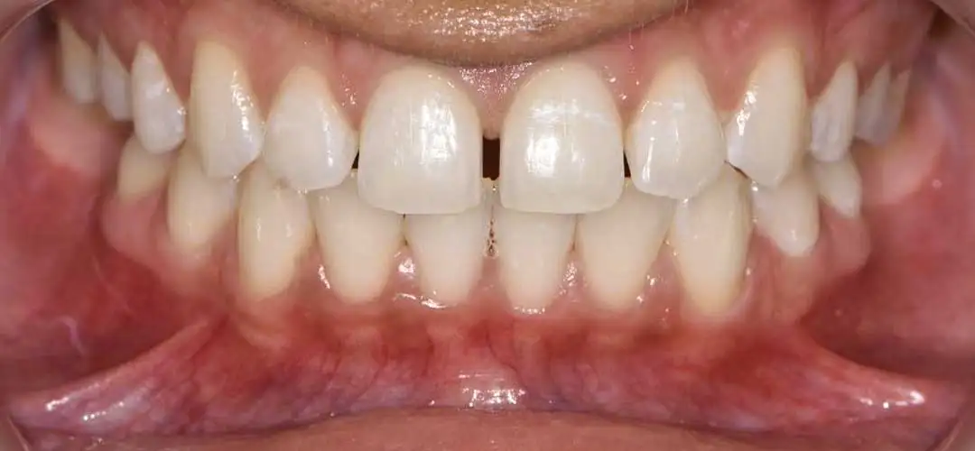
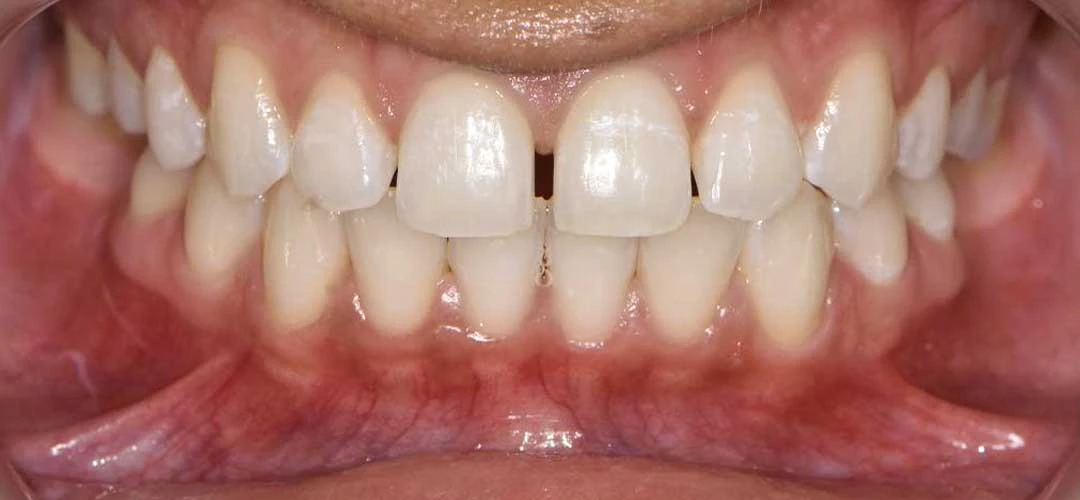
Photo showing anterior view of a patient's teeth before braces treatment with Dr. Karam Kharsa
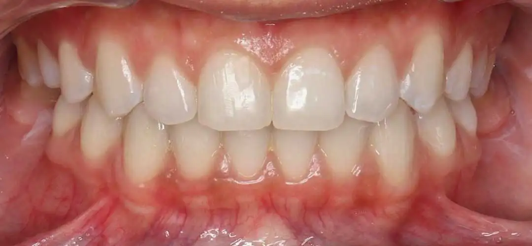
Photo showing front teeth of a patient after braces treatment with Dr. Karam Kharsa
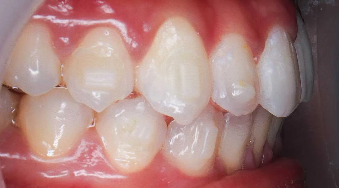
Photo showing teeth of a patient before braces treatment with Dr. Karam Kharsa
Photo showing teeth of a patient after braces treatment with Dr. Karam Kharsa