Disclaimer
To our valued patients, please beware of false online offers promising free treatments at Harmony Medical Center.
Book your appointment
Disclaimer
To our valued patients, please beware of false online offers promising free treatments at Harmony Medical Center.
Send an enquiry
EnglishEnglish
EnglishEnglish
العربيةالعربية
Dr. Mohammad Baderaddeen - Specialist Orthodontist at Harmony Medical Center in MBZ City, Abu Dhabi

Dr. Mohammad Baderaddeen

Dr. Mohammad Baderaddeen is a dynamic Specialist Orthodontist with over 15 years of experience in Syria, KSA, and the UAE.

He holds a degree from Damascus University and was awarded Specialization in Orthodontics by the Syrian Ministry of Health in 2011.

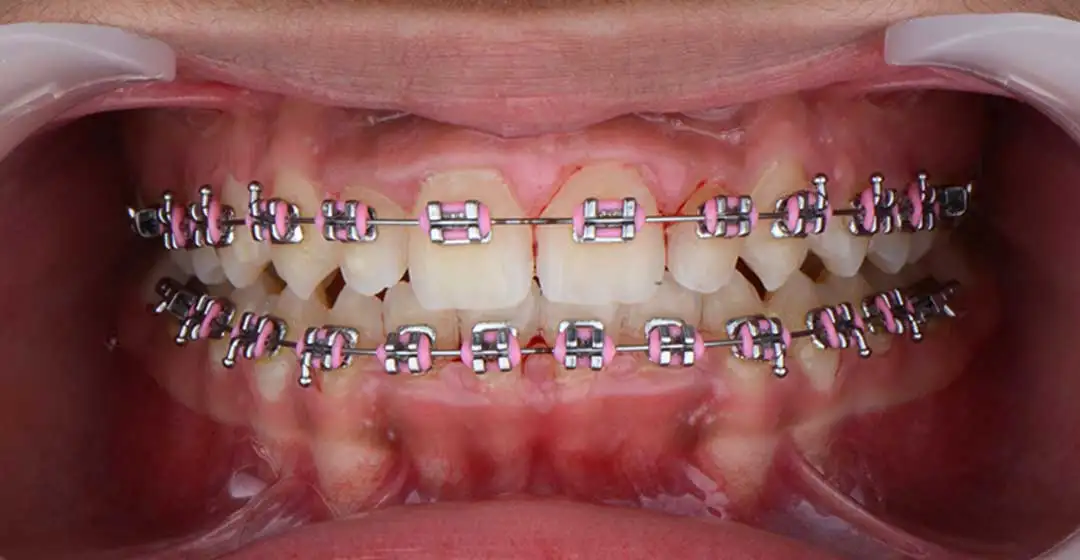
Dr. Mohammad offers a wide range of orthodontic treatments to patients of all ages, including braces (metal, clear, and self-ligating) clear aligners, and other orthodontic appliances. His expertise extends to correcting various orthodontic issues, such as misaligned teeth, malocclusions, and bite disorders, providing personalized treatment plans for each patient to achieve healthy, beautiful smiles.

He speaks Arabic and English.

Dr. Mohammad Baderaddeen practices in:

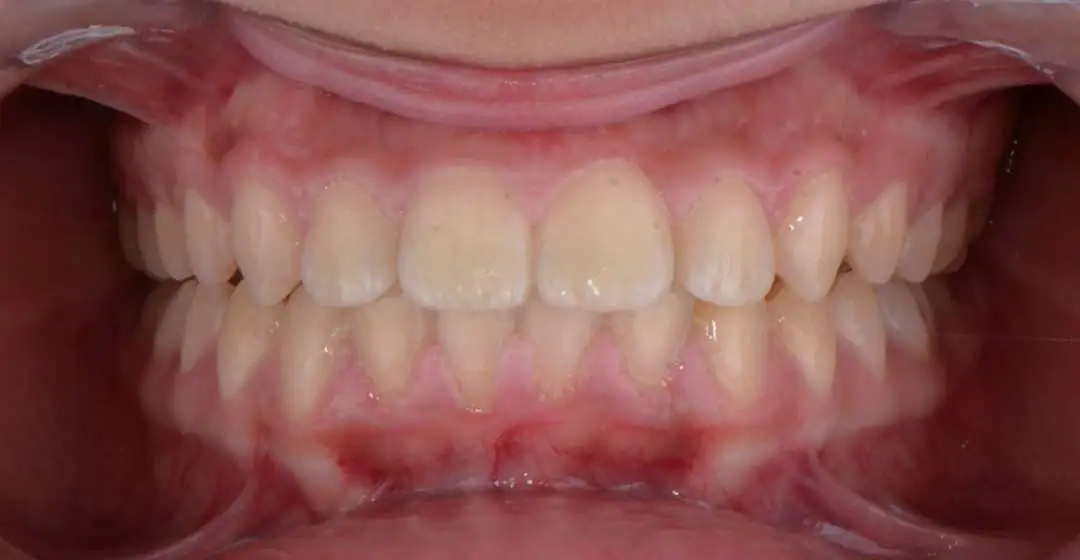
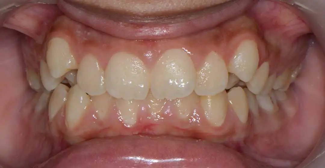
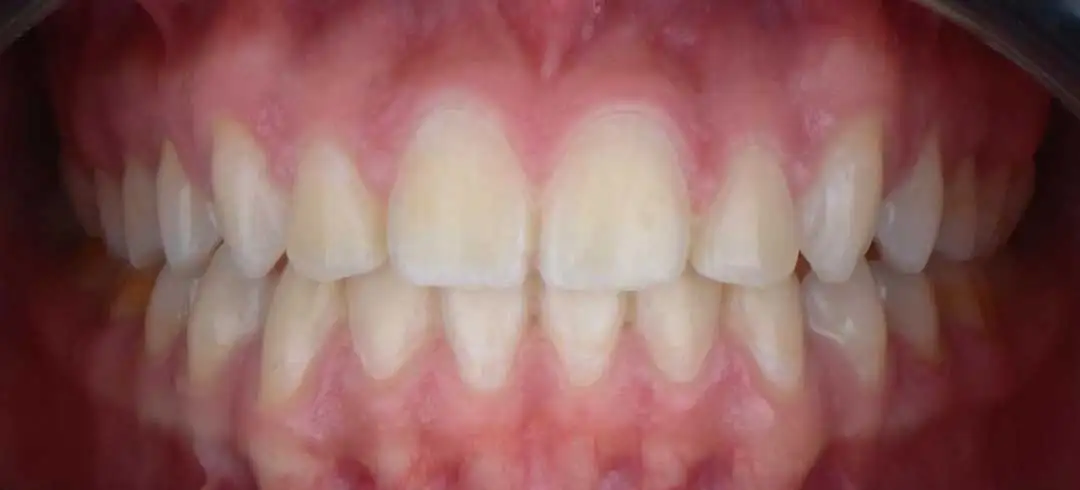
Beautiful Smiles

by Dr. Mohammad Baderaddeen

metal braces
metal braces by dr mohammad baderaddeen
braces
braces in abu dhabi
braces in dubai
braces near me
braces in abu dhabi
orthodontist