Disclaimer
To our valued patients, please beware of false online offers promising free treatments at Harmony Medical Center.
Book your appointment
Disclaimer
To our valued patients, please beware of false online offers promising free treatments at Harmony Medical Center.
Send an enquiry
EnglishEnglish
EnglishEnglish
العربيةالعربية

Advanced Full Mouth Dental Implants

Full Mouth Dental Implants in Dubai

Considering full mouth dental implants? Harmony, our full set of teeth treatments in Dubai restores both jaws with fixed teeth that look natural, feel stable, and function like real teeth. Experience renewed confidence, improved chewing ability, and long-term oral health through personalized full arch implant solutions.

Advanced Full Mouth Dental Implants

Full Mouth Dental Implants in Dubai

Considering full mouth dental implants? Harmony, our full set of teeth treatments in Dubai restores both jaws with fixed teeth that look natural, feel stable, and function like real teeth. Experience renewed confidence, improved chewing ability, and long-term oral health through personalized full arch implant solutions.

Full Dental Implants Options

All on 4 dental implants, full-arch fixed teeth on four implants

All on 4 Dental Implants

A proven technique using four strategically placed implants to support a full arch of fixed teeth. Ideal for patients with moderate bone loss.

  • Faster treatment
  • Reduced need for bone grafting
  • Same-day teeth in many cases
All-on-6 dental implants, full-arch fixed teeth on six implants

All on 6 Dental Implants

Uses six implants per arch for enhanced stability and long-term durability. Suitable for patients with adequate bone height or those seeking stronger support.

  • Higher bite force
  • Greater long-term success rate
  • Stronger support for larger prosthetics

Summary

All-on-Four. When it fits, when it does not.

The video explains who All-on-Four suits best. It targets edentulous patients with limited posterior bone. It is not a default choice for every case.

Key concepts

  • All-on-Four definition: 4 implants per arch to support a full fixed bridge.
  • Indications: designed for cases with insufficient posterior bone.
  • Limitations: not ideal when bone volume is sufficient front and back.

Detailed explanation

  • Primary use case: posterior bone resorption or anatomy blocks implant placement in the back.
  • If bone is adequate anteriorly and posteriorly, 6 to 8 implants is the recommended strategy.
  • More implants means better load distribution and a backup path if one implant fails.

Highlights

All-on-Four = 4 implants per arch + full fixed bridge Indicated for inadequate posterior bone 6 to 8 implants preferred when bone volume is sufficient More implants = better load distribution and backup

Key insight

All-on-Four is not universal. Case selection depends on bone availability and quality, especially in the posterior segments.

Why Choose Harmony for Full Mouth Dental Implants in Dubai?

Icon

Specialist Full Mouth Rehabilitation Experts

Over 30 years of expertise in full arch restoration: All-on-4, All-on-6, and more.

Icon

CBCT-Guided Precision

Advanced 3D imaging ensures accurate implant placement and long-term stability.

Icon

Flapless Technique

Minimally invasive surgery with faster recovery and less discomfort.

Icon

Same-Day Implants

Implants and temporary teeth in a single visit – instant transformation.

Icon

20K+ Successful Implants

Trusted results with thousands of full mouth implant cases delivered.

Icon

JCI-Accredited Facility

International-level safety, hygiene, and implant protocols.

Icon

Pain-Free Dentistry

Gentle procedures for a stress-free, comfortable dental experience.

Icon

Advanced Sedation Options

Multiple sedation methods tailored for nervous or sensitive patients.

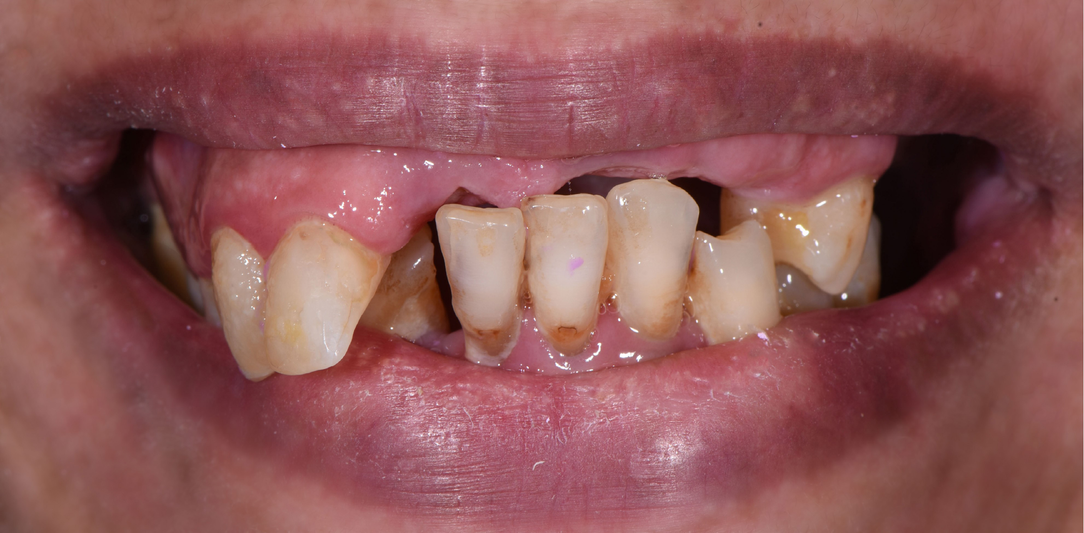
Full Mouth Dental Implants Cases

Full Mouth Dental Implants Cases
Before
Full Mouth Dental Implants Cases
After
full mouth dental implants near me
Before
full mouth dental implants dubai
After
full set dental implants near me
Before
full set dental implants near me
After
full set of teeth
Before
full set of teeth
After

Why Replace Removable Dentures?

Traditional dentures cause discomfort, instability, and reduced chewing efficiency. Over time they accelerate bone loss and limit food choices. Full mouth implant rehabilitation is the modern alternative.

Improved Stability

Implant-supported teeth stay fixed with no shifting.

Better Chewing Function

Eat confidently without denture slips.

Bone Preservation

Implants stimulate the jawbone and reduce shrinkage.

Improved Speech

No bulky plates affecting pronunciation.

Natural Look & Feel

Fixed teeth look natural and boost confidence.

Long-Term Function

Supports facial structure and oral health.

Who Are Ideal Candidates for Full Mouth Dental Implants?

Full mouth dental implants are recommended for those who have lost most or all teeth, or whose oral condition no longer supports normal function or aesthetics. You may be a candidate if you face any of the following:

1

Chronic Periodontitis

Advanced gum infection often causes bone loss, loose teeth, and severe inflammation. When many teeth are affected, complete jaw restoration may be necessary.

2

Systemic Health Conditions

Conditions such as diabetes can contribute to progressive tooth loss. Full mouth rehabilitation provides stable, implant-supported teeth that help improve chewing efficiency and overall oral stability.

3

From Dentures to Fixed Teeth

Tired of removable dentures? Implants offer a secure, long-term solution that improves bite strength and prevents jawbone deterioration.

4

Severe Wear or Tooth Loss

If you have broken, worn, or missing teeth due to previous treatments, full arch reconstruction restores aesthetics and function.

JCI Quality Approval

Other Accreditations

Quality Assurance Management System
Environmental Management System
Information Security Management System
Occupational Health and Safety

Certified to Global Standards for Safer, Higher-Quality Treatment

Frequently Asked Questions

Full mouth dental implants are a permanent solution for replacing an entire set of missing teeth. Unlike dentures, implants are anchored directly into the jawbone, providing a natural look and strong bite.
 

All on 4: Uses four implants to support a full arch of teeth. Ideal for patients with limited bone density.

All on 6: Uses six implants for extra stability and strength, recommended for patients who want a more secure fit.
 

Yes! At Harmony, we specialize in full set dental implants that restore your smile and chewing ability. You can choose between All on 4 or All on 6 options depending on your jaw structure and preferences.

The cost varies depending on the number of implants, materials used, and complexity of the procedure. Harmony provides personalized consultations to give an accurate estimate.

Looking for full set dental implants near me? Harmony offers comprehensive dental implant services. Visit our website or contact our office to schedule a consultation.

Treatment varies from same-day temporary restorations to a full healing period of 3–6 months for permanent teeth placement.

The procedure is performed under anesthesia, ensuring comfort. Post-treatment discomfort is manageable with prescribed medication.

Both options are effective, but All-on-6 provides greater stability. The best choice depends on bone condition and treatment goals.

Not always. Many patients qualify for All-on-4 without grafting. A CBCT scan determines whether augmentation is required.

With proper care, implants can last decades or even a lifetime, while prosthetic teeth may need replacement after 25+ years.

Yes. Implants offer significantly better stability, chewing ability, bone preservation, and comfort compared to removable dentures.

Some conditions like diabetes or autoimmune disorders require careful evaluation but do not automatically disqualify a patient.

Yes. Age is not a barrier to full mouth dental implants. Many patients in their 60s, 70s, and 80s undergo full arch implant treatments with excellent results.

Yes, diabetic patients can get full mouth dental implants if their HbA1c is below 8. If it is higher, consult your doctor first to stabilize blood sugar before treatment.

You can book your consultation by calling 043955113 or by submitting the online appointment form on our website.