Disclaimer
To our valued patients, please beware of false online offers promising free treatments at Harmony Medical Center.
Book your appointment
Submitting your request
EnglishEnglish
EnglishEnglish
العربيةالعربية

Invisalign Cost in Dubai - AED 5,000 OFF

Premium Invisalign Treatment in Dubai

Invisalign Dubai For Adults & Teens

Free Invisalign Consultation in Dubai
Meet our orthodontist for a quick smile assessment and tailored plan.
Complimentary Orthodontic Check-Up
Get a full oral exam to confirm Invisalign suitability and readiness.
Free Panoramic X-Ray & CbCT
Enjoy precise diagnostics for safer, more predictable results.
Free Digital Smile Preview
Visualize your new smile before starting your Invisalign journey.
Free Home Whitening Kit
Complete your treatment with a radiant, camera-ready smile.
0% Interest Monthly Plans
Easy, transparent payments — no hidden fees, no surprises.

No down payment flexible plans via tabby

Invisalign dentist near me

Clear aligner results Dubai

Clear aligner results Dubai

Why Choose Harmony Medical Center for Your Invisalign Treatment in Dubai?

Diamond Invisalign® Providers: Recognized as one of the top 1% of Invisalign® providers in the UAE, ensuring exceptional expertise and care.

JCI Accredited Facility: Our clinic meets the highest international standards for safety and patient care.

20K+ Successful Cases: Over 20,000 successful Invisalign® treatments with proven results.

Multilingual Expert Team: Our Invisalign dentist speaks Arabic, English, Portuguese, Russian, Farsi, French and Spanish, ensuring clear, personalized communication for a diverse range of patients.

Advanced Technology: We use cutting-edge technology like 3D scanning for precise, tailored Invisalign® treatments.

Customized Treatment Plans: Each treatment plan is personalized to achieve the best results for your unique smile.

Free Digital Smile Preview: Visualize your future smile before starting treatment with our free digital smile preview.

Convenience & Comfort: Enjoy same-day appointments and free valet parking for a stress-free experience.

Flexible Payment Options: Enjoy dental care with 0% interest installment plans, making it affordable, accessible, and stress-free. We also accept insurance for added convenience.

Orthodontic Cases Suitable for Invisalign Treatment in Dubai

Invisalign is a modern orthodontic solution suitable for children, teens, and adults. It offers a discreet, comfortable alternative to traditional braces while effectively treating a wide range of dental alignment issues, including:

Crowded Teeth

When teeth are too closely spaced or overlap, Invisalign gently shifts them into proper alignment, improving both function and appearance.

Gaps in Teeth

Invisalign can effectively close unwanted spaces between teeth, creating a more even and harmonious smile.

Overbite

For cases where the upper teeth excessively overlap the lower teeth, Invisalign can help reposition them for better balance and function.

Underbite

Invisalign can correct mild to moderate underbites, where the lower teeth extend beyond the upper teeth. Severe cases may require additional orthodontic treatment.

Crossbite

When some upper teeth sit inside the lower teeth, Invisalign can gradually move them into the correct position, reducing uneven wear and improving bite alignment.

Open Bite

If the upper and lower teeth do not meet when the mouth is closed, Invisalign can help close the gap and restore proper bite function.

Our Certified Invisalign® Doctors in Dubai at Harmony

Meet Our Orthodontic Experts

World-class specialists in Invisalign, braces, and advanced orthodontics.

Dr. Najwana Attisha

Specialist Orthodontist – 20+ Years of Experience

  • Certified in Invisalign & Advanced Orthodontics
  • Masters in Orthopedics & Dentofacial Orthopedics
  • Speaks English & Arabic

Dr. Iyad Al Samman

Specialist Orthodontist – 20+ Years of Experience

  • Member of the American Association of Orthodontics
  • Expert in Invisalign, Lingual & Ceramic Braces
  • Speaks English & Arabic

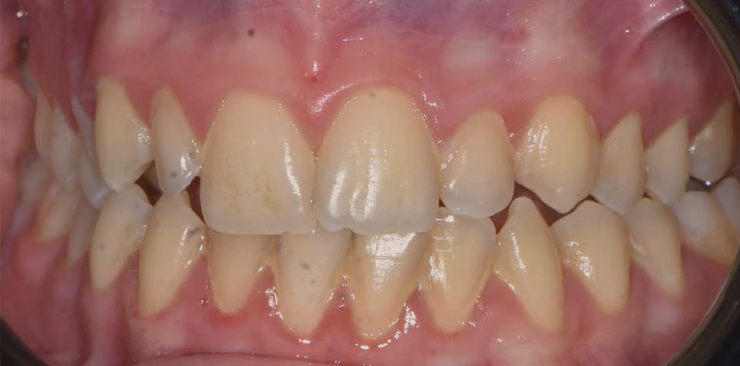
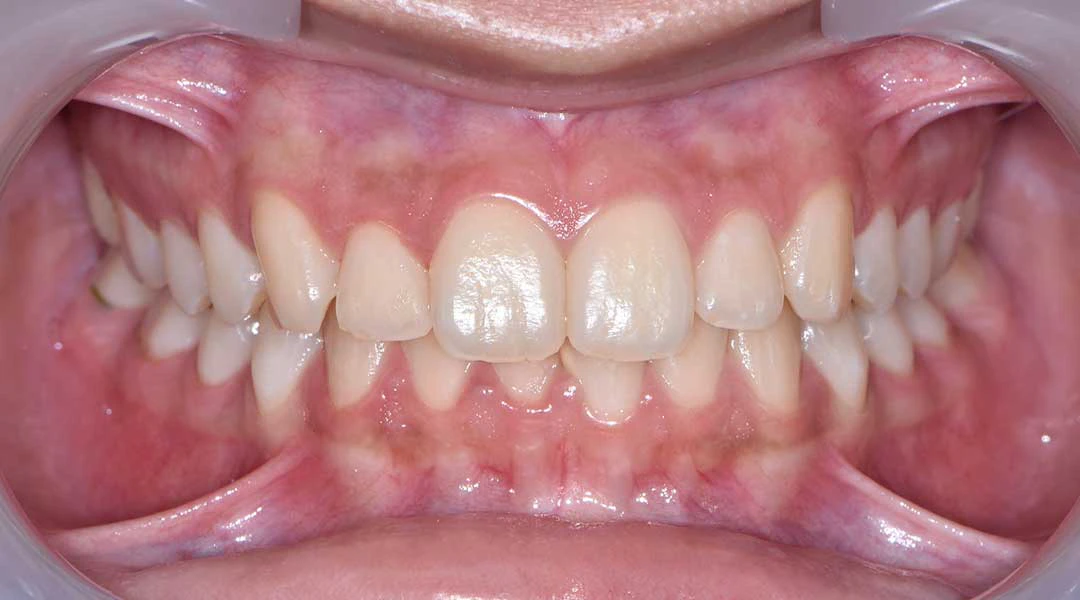
Invisalign® Smile Transformations at Harmony

Invisalign in Dubai - Harmony Medical Center Jumeriah, Dubai Invisalign in Dubai - Harmony Medical Center Jumeriah, Dubai
Before After
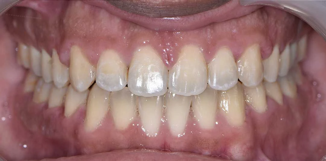
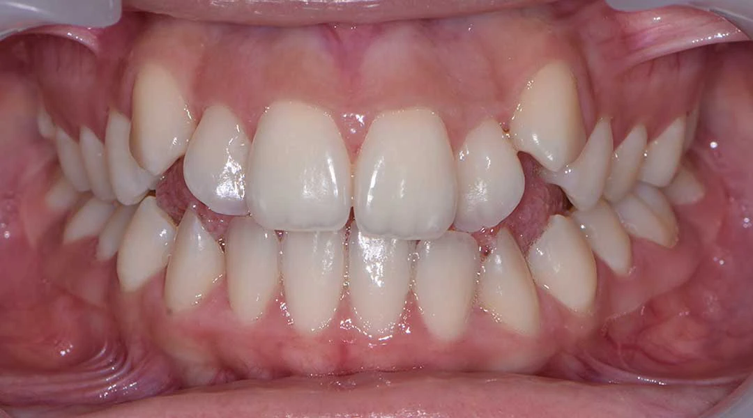
Invisalign in Dubai - Harmony Medical Center Jumeriah, Dubai Invisalign in Dubai - Harmony Medical Center Jumeriah, Dubai
Before After
Invisalign in Dubai – 50% OFF at Harmony Medical Center, Jumeirah Invisalign in Dubai – 50% OFF at Harmony Medical Center, Jumeirah
Before After
Invisalign Treatment in Dubai
Before
Invisalign Treatment in Dubai
Invisalign by Dr. Iyad Al Samman
Invisalign dubai
Before
Invisalign dubai
Invisalign by Dr. Iyad Al Samman

How Invisalign Works

A comfortable, nearly invisible way to straighten teeth using custom-made clear aligners tailored to your smile.

Initial Consultation

Your orthodontist evaluates your teeth and takes digital scans to create a precise 3D model for treatment planning.

Custom Treatment Plan

A personalized plan maps out how your teeth will gradually shift, with a preview of your expected final smile.

Series of Clear Aligners

Each aligner is custom-made to apply controlled force to specific teeth, guiding them step by step into position.

Wear & Progress

Aligners should be worn 20–22 hours daily and changed every 1–2 weeks as your teeth gradually move.

Regular Check-ups & Results

Visit your orthodontist every 6–8 weeks to monitor progress. Treatment typically takes 6–18 months, followed by retainers to maintain your smile.

Benefits of Invisalign Over Braces

A modern, clear alternative to traditional braces offering greater comfort, flexibility, and convenience for everyday life.

Nearly Invisible Appearance

Unlike traditional braces, Invisalign aligners are clear and barely noticeable, making them ideal for adults and teens.

More Comfortable

Smooth plastic aligners reduce irritation to cheeks and gums compared to metal brackets and wires.

Removable Convenience

Easily remove aligners for eating, brushing, and flossing—helping maintain better oral hygiene.

No Food Restrictions

Enjoy all your favorite foods without worry, since aligners are removed during meals.

Fewer Dental Visits

Requires fewer and shorter appointments compared to braces, making it easier to fit into busy schedules.

Predictable & Faster Results

Advanced 3D planning lets you preview your results, with treatment often completed up to 5 months faster.

Smart Progress Tracking

Track your treatment using the My Invisalign™ app and benefit from remote check-ins with your orthodontist.

Our Insurance Partners in Dubai

Beyond the 5 Stars

The Stories That Made Us Smile

  • "The best clinic ever! From the receptionists to the dentists! Throughout my journey both for cosmetic dentistry and orthodontic treatment Dr. Ossama and Dr. Najwana were superstars! They made me look and feel great!"
    Nasreen Elsayegh
    Google Review
  • "Dr Najwana is the best orthodontist you can find in Dubai. She is very caring and professional. The result can speak for itself."
    Hajar Ben Jaballah
    Google Review
  • "Doctor Najwana is the best orthodontist we’ve ever met. She is very professional and kind. I really recommend harmony medical center and Doctor Najwana."
    Dariya Postnova
    Google Review
  • "I came to put braces with Dr. Paolo and to be honest, it was the best experience I had with a doctor he was professional and knew what he was doing."
    Zayed Fahad
    Google Review
  • "Amazing facility and well trained staff to support all client requests. Highly recommended orthodontist - Dr. Paolo Bellini."
    Riccardo Bisutti
    Google Review
  • "I had the pleasure of taking my son to Harmony after an injury to his tooth. I met with Dr. Paolo who was the kindest most professional dentist I have came across to date. He was extremely patient explaining everything and outstanding with children. I could not recommend him more highly for anyone who is looking for a dentist in dubai."
    Rebecca Patterson
    Google Review
  • "Dr. Najwana is amazing! My daughter just finished her Invisalign treatment with great results, and now my son is starting his. She made the process smooth and easy. Highly recommend her!"
    Raya Farhat
    Google Review
  • "Very good people and very good service. Did a checkup after putting Invisalign for 6 months and my smile has never looked better! Definitely recommend."
    Ali
    Google Review
  • "I had an excellent experience with Dr. Najwana at Harmony Medical Center, and the Invisalign treatment delivered fantastic results. I highly recommend Dr. Najwana."
    Charbel Beyrouthy
    Google Review
  • "I was visiting Dr. Najwana Attisha for the last year, I completed Invisalign treatment and now my bite and smile are just as perfect as it should be. Harmony is centrally located and has high service standards."
    Nadia Kiselev
    Google Review
Invisalign cost in dubai

Invisalign smile makeover Dubai

Invisalign in Dubai – 50% OFF at Harmony Medical Center, Jumeirah

Best Invisalign Dentist in Dubai

Book Your Free Invisalign® Consultation

Looking for Invisalign dentist near me? At Harmony Medical Center, we specialize in Invisalign® clear aligners in Dubai, offering a modern and discreet way to straighten your teeth with comfort and precision.

Whether you’re a teen or an adult, our certified Invisalign® specialists use cutting-edge 3D smile simulation technology to design a personalized treatment plan that fits your lifestyl without the need for metal braces.

From your first consultation to your final aligner, our team ensures a smooth, supported journey toward your perfect smile.

What You Need to Know About Invisalign Treatment

Frequently Asked Questions

Invisalign treatment is a discreet and modern alternative to traditional braces, utilizing a series of custom-made, virtually invisible clear aligners to gradually straighten teeth. These removable aligners are changed every 1-2 weeks, offering comfort and convenience while effectively correcting various alignment issues. It's a popular choice for achieving a confident, harmonious smile without the aesthetic impact of conventional orthodontics.

Invisalign is an excellent choice for those seeking to enhance both the appearance and function of their smile. It effectively addresses various orthodontic concerns, including mild to complex crooked teeth, gaps between teeth, overbites, underbites, and crossbites. Invisalign is suitable for both teenagers and adults and successful treatment relies on the patient's commitment to following their orthodontist's recommendations.

An Invisalign dentist or orthodontist is a trained dental professional who provides Invisalign clear aligner treatment to straighten teeth.

The 22-hour rule means you should wear your Invisalign aligners for 20–22 hours every day. Only take them out to eat, drink anything besides water, and brush your teeth.
 

Invisalign works best for teens and adults, usually starting around 13–14 years old, once most permanent teeth are in. There’s no upper age limit—as long as your teeth and gums are healthy, Invisalign can work at any age, even into your 40s, 50s, or beyond.

The Invisalign treatment process typically begins with a detailed consultation where one of our orthodontists assesses your smile goals and takes precise 3D digital scans of your teeth. Then, a personalized plan is crafted just for you, creating a series of custom clear aligners designed to gently guide your teeth into place. You’ll simply wear each set for a week or two, swapping them out with new ones as your smile gradually transforms, with quick check-ins along the way until you achieve your confident new look!

Yes, Harmony Dental Clinic has expert Invisalign dentists in Jumeirah, Dubai, offering personalized clear aligner treatment.

To get the most out of your treatment, you will wear each set of aligners for 20 to 22 hours a day as directed by your orthodontist. Each set of aligners will gently and gradually move your teeth into place as outlined in your treatment plan.

Invisalign is a versatile treatment option that can address many common orthodontic issues for our patients, including mild to moderate crowding, spacing, overbites, underbites, and crossbites. As a Certified Diamond Invisalign provider, Harmony Medical Group is a leader in this field, offering extensive experience and expertise in delivering successful Invisalign outcomes. We will conduct a thorough assessment to determine if Invisalign is the right treatment for your specific needs.

The cost of Invisalign treatment in Dubai is influenced by several factors, including the complexity of the malocclusion and the duration of the required treatment. At Harmony Medical Center in Jumeirah, we are proud to offer an exclusive summer package: enjoy 50% off Invisalign treatments performed by Specialist Orthodontists with experience in thousands of successful Invisalign cases.

As Certified Invisalign Diamond Providers, we proudly offer 50% off Invisalign treatments starting at just AED 5,000. Our exclusive package includes: a comprehensive orthodontic consultation, a dental check-up with panoramic X-ray, a digital smile preview that lets you see your post-treatment results, and a home whitening kit for your teeth. To make the process even more convenient, we provide interest-free payment options through Tabby or Tamara. Located in the heart of Jumeirah, our clinic is open seven days a week from 8 AM to 8 PM, and we offer free valet parking for all our patients.