Disclaimer
To our valued patients, please beware of false online offers promising free treatments at Harmony Medical Center.
Book your appointment
Submitting your request
Disclaimer
To our valued patients, please beware of false online offers promising free treatments at Harmony Medical Center.
Send an enquiry
EnglishEnglish
EnglishEnglish
العربيةالعربية

Consulenza ortodontica gratuita

con il Dott. Paolo Bellini

Realizza il tuo sorriso ideale con il dottor Paolo Bellini, il nostro specialista in ortognatodonzia dall’Italia.

Approfitta di questa esclusiva opportunità per rispondere a tutte le tue domande al riguardo ed esplorare le opzioni di trattamento più adatte alle tue esigenze.

Prenota la tua consulenza gratuita e fai il primo passo verso un sorriso più sicuro e bello.

Cosa è incluso:

Book Your Appointment

A proposito del dottor Paolo

Il suo ambito di competenza

Beautiful Smiles

by Dr. Paolo Bellini

Ciò che ci distingue

Domande Frequenti

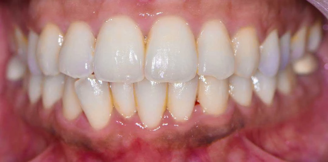
  • Estetica e simmetria del viso migliorate
  • Riduzione dell'usura dei denti
  • Miglioramento del morso e del parlato
  • Miglioramento della salute dell'articolazione della mandibola
  • Riduzione del rischio di carie e malattie gengivali
  • Riduzione del rischio di emergenze dentali

La grande notizia è che i denti sani possono essere spostati a qualsiasi età. In Harmony, forniamo trattamenti ortodontici personalizzati per bambini, adolescenti e adulti. Inoltre, l'American Association of Orthodontists raccomanda che tutti i bambini si sottopongano a un controllo con un ortodontista specialista entro e non oltre i 7 anni. In questo modo l'ortodontista ha la possibilità di consigliare il trattamento appropriato al momento giusto.

Secondo l'American Association of Orthodontists, le persone che notano uno di questi segni dovrebbero cercare l'aiuto di un ortodontista:

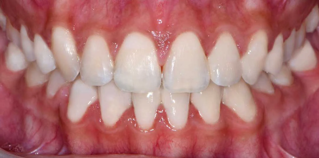
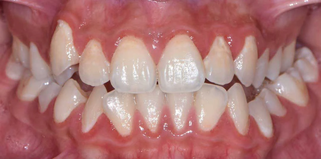
  • Denti affollati, fuori posto, sporgenti o ostruiti
  • Difficoltà a mordere o masticare
  • Mordere la guancia o il palato
  • Squilibrio o asimmetria facciale
  • Bambini che hanno avuto una perdita precoce o tardiva dei denti da latte

L'ortodonzia affronta l'allineamento improprio, noto come malocclusione, e la durata del trattamento varia da un paziente all'altro. Alcuni trattamenti possono richiedere alcuni mesi, mentre altri possono estendersi a diversi anni. In media, il tipico trattamento ortodontico può richiedere tra i 6 e i 36 mesi.

Per ottenere il massimo dal trattamento, indosserai ogni set di allineatori per 20-22 ore al giorno come indicato dal tuo ortodontista. Ogni set di allineatori sposterà delicatamente e gradualmente i denti in posizione come indicato nel piano di trattamento

Termini & Condizioni

  • Questa offerta è valida presso l'Harmony Medical Center – Jumeirah 3 e l'Harmony Plus Medical Center.
  • Tutti gli appuntamenti verranno prenotati con il Dott. Paolo Bellini.
  • Per appuntamenti chiamare il numero 04 395 5113.
  • Questa offerta non è cumulabile con altre promozioni.
  • Questa offerta è valida fino al 31 luglio 2025.