fbpx
Disclaimer
To our valued patients, please beware of false online offers promising free treatments at Harmony Medical Center.
Book your appointment
Loading booking form…
Disclaimer
To our valued patients, please beware of false online offers promising free treatments at Harmony Medical Center.
Send an enquiry
EnglishEnglish
EnglishEnglish
العربيةالعربية

Welcome to World-Class Italian Dentistry
in Dubai & Abu Dhabi

Transform Your Smile
with Dr. Paolo Bellini

Experience Italian Excellence in
Orthodontic Dentistry

Meet our Italian Superdentist

Dr. Paolo Bellini

His Expertise

Beautiful Smiles by Dr. Paolo

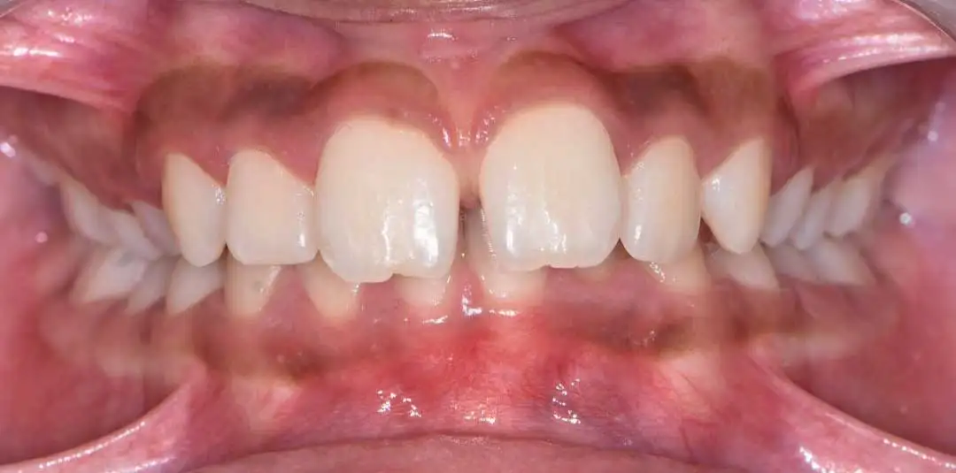
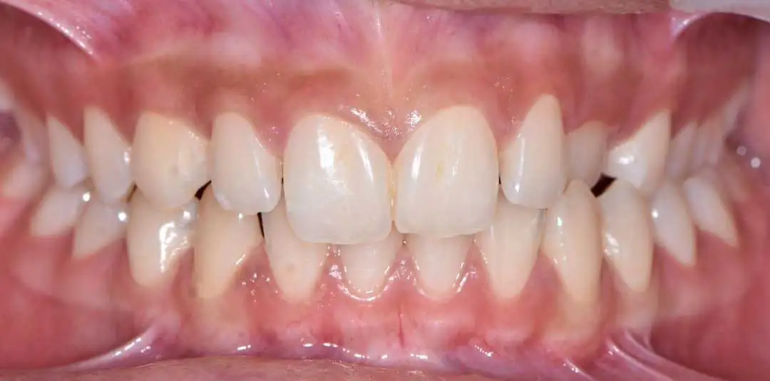
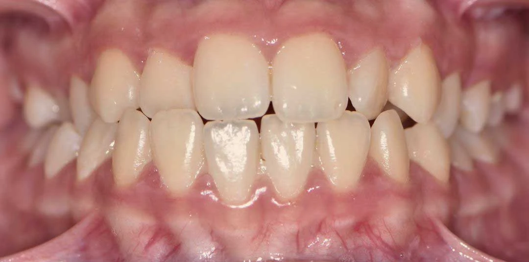
Before
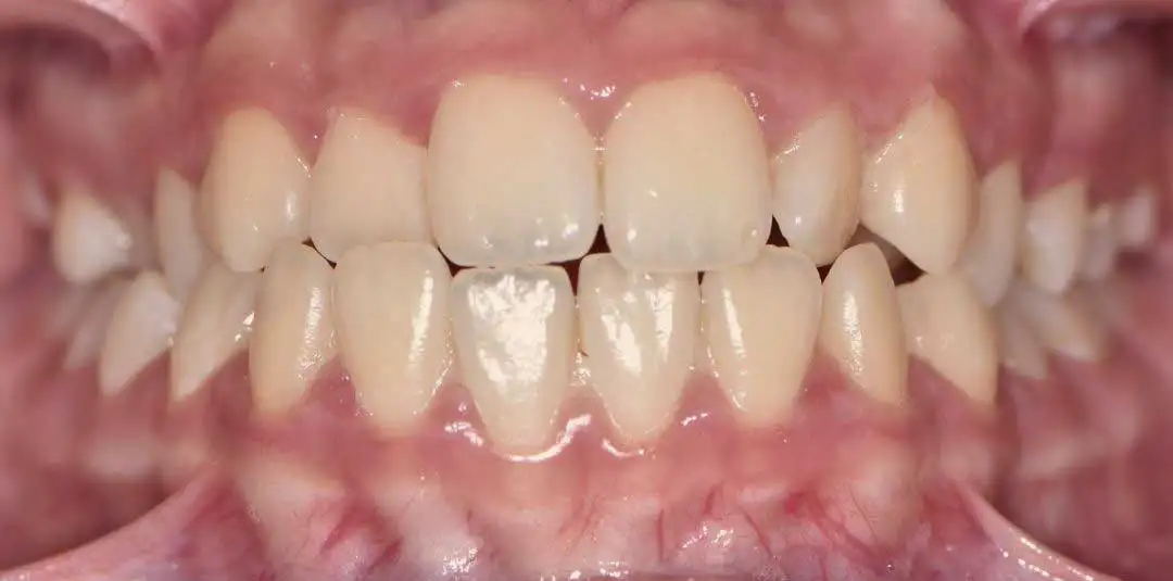
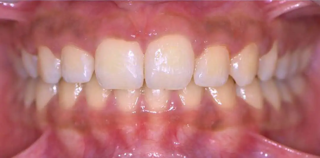
Orthodontic Treatment by Dr. Paolo
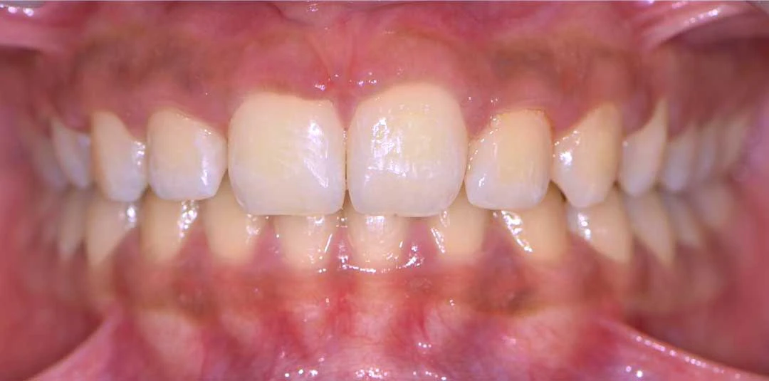
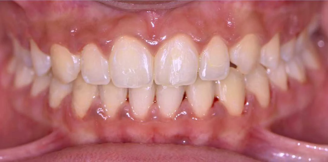
Before
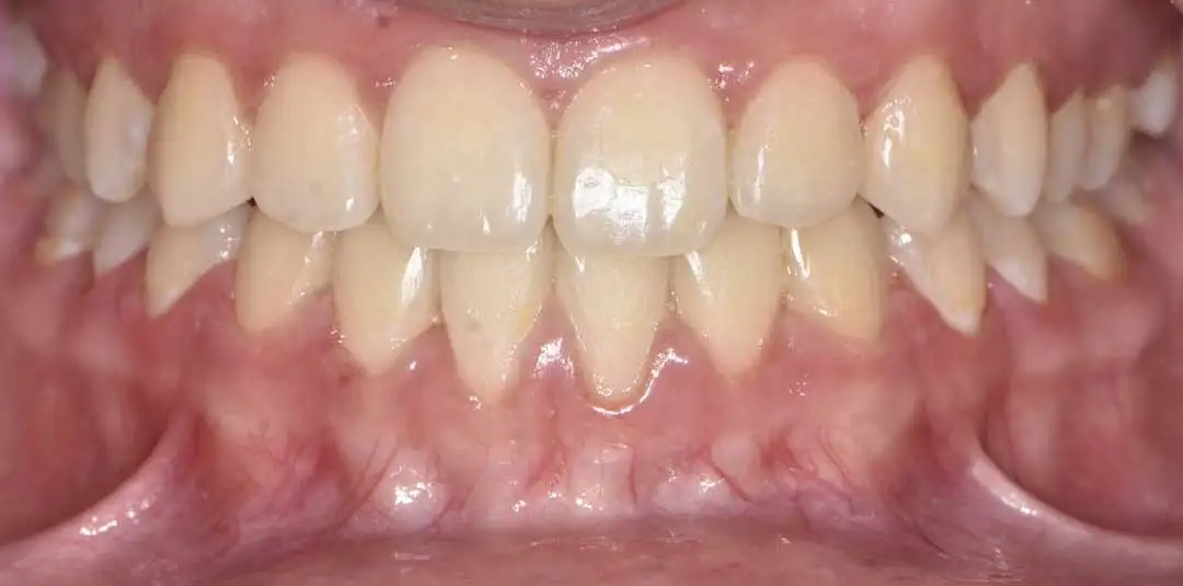
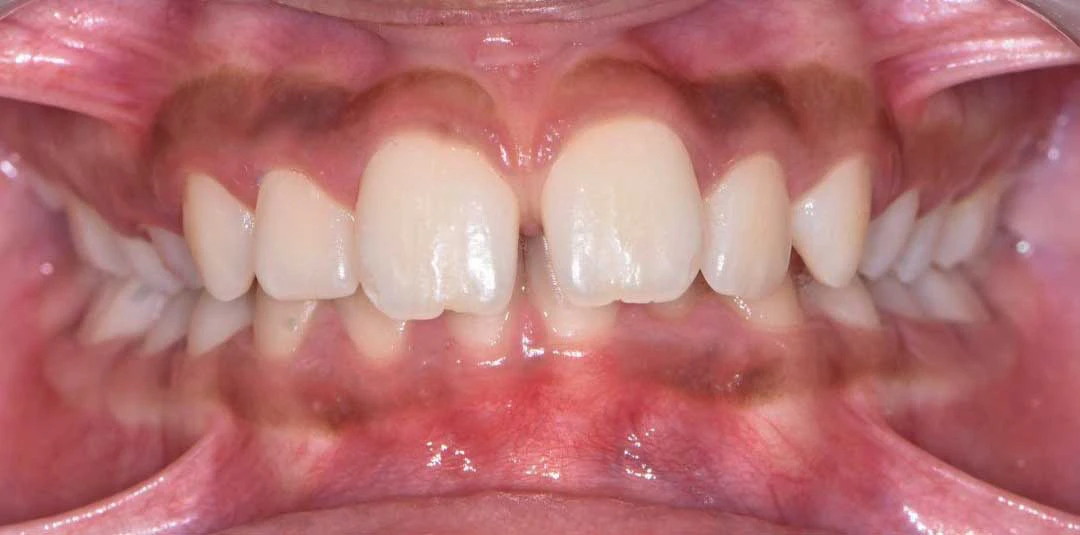
Orthodontic Treatment by Dr. Paolo
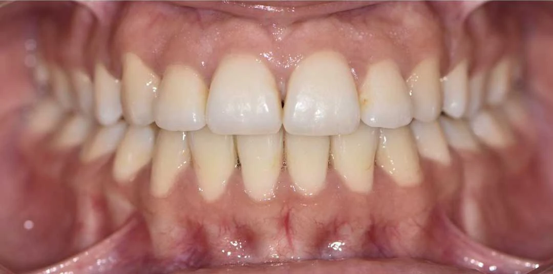
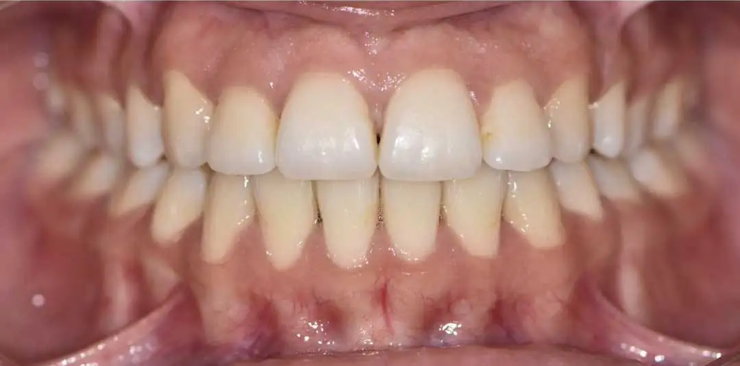
Before
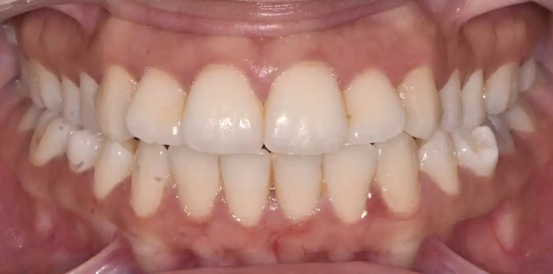
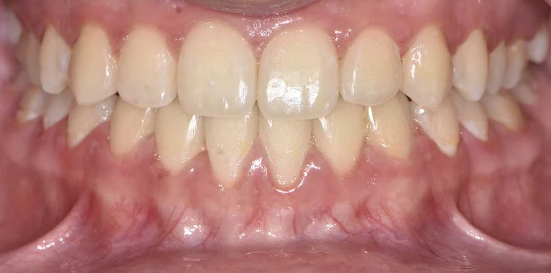
Orthodontic Treatment by Dr. Paolo
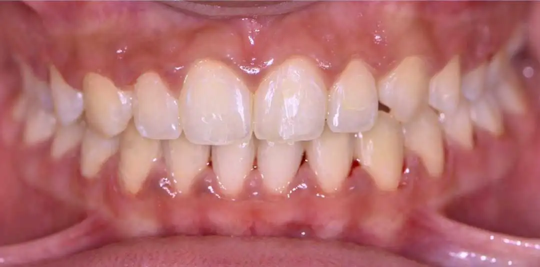
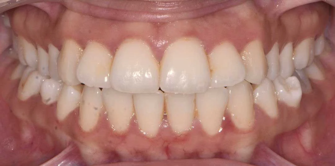
Before
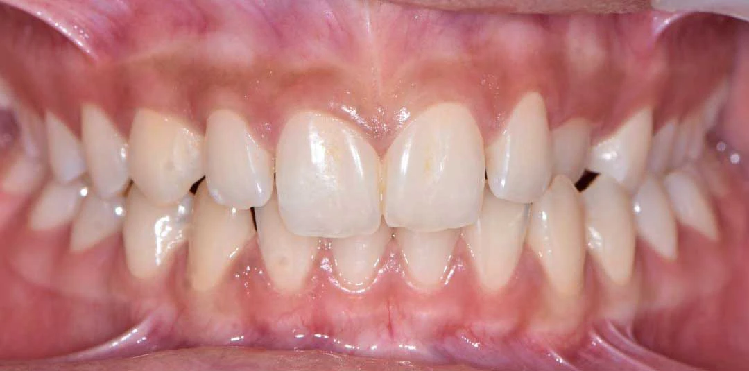
Orthodontic Treatment by Dr. Paolo

Our Signature Dental Treatments at Harmony

Minimally Invasive Cosmetic Dentistry

Transform your smile with our comprehensive cosmetic treatments, including expertly crafted veneers and advanced teeth whitening techniques. Our Italian dentists combine precision and artistry to ensure a radiant, natural-looking smile tailored to your unique facial features.

Invisalign® & Orthodontics

Achieve a straighter smile discreetly with Invisalign®, the world’s leading clear aligner system designed for comfort and convenience. Our orthodontic solutions cater to all ages, offering faster, more predictable results with minimal interference in your daily life.

Dental Implants & All-on-4 Treatments

Replace missing teeth with durable, natural-looking dental implants meticulously placed for optimal functionality and aesthetics. With All-on-4 treatments, enjoy a permanent solution for multiple missing teeth in just one day.

Restorative Dentistry

Rebuild and strengthen damaged teeth with custom crowns, bridges, and other restorative treatments. Our advanced techniques restore oral function while preserving the natural beauty of your smile.

Cosmetic & Surgical Gum Treatments

Enhance your smile by correcting uneven gum lines or addressing gum disease with cutting-edge surgical and cosmetic solutions. Whether it’s a gum lift or treatment for receding gums, we ensure optimal oral health and a balanced, attractive smile.

Full Mouth Rehabilitation

Restore function, health, and aesthetics with a comprehensive full-mouth rehabilitation plan tailored to your needs. Our expert team combines multiple treatments, such as implants, crowns, orthodontics, and veneers, to completely transform your smile and oral health.
  • "Finding a great dental clinic is like finding the love of the life. Tooth extraction went smooth and with no pain after surgery. I am so grateful to Dr. Paolo e Dr. Matteo. Thank you."
    Valentina Cozzi
    Google Review
  • "Amazing facility and well trained staff to support all client requests. Highly recommended orthodontist - Dr. Paolo Bellini."
    Riccardo Bisutti
    Google Review
  • "I recommend Dott. Matteo, best dentist in Dubai. I’m his patiant for many years and I’m very satisfied. Dott Matteo is an expert and he always explain clearly every procedure he made."
    Andrea Bolelli
    Google Review
  • "I came to put braces with Dr. Paolo and to be honest, it was the best experience I had with a doctor he was professional and knew what he was doing."
    Zayed Fahad
    Google Review
  • "I had the pleasure of taking my son to Harmony after an injury to his tooth. I met with Dr. Paolo who was the kindest most professional dentist I have came across to date. He was extremely patient explaining everything and outstanding with children. I could not recommend him more highly for anyone who is looking for a dentist in Dubai."
    Rebecca Patterson
    Google Review
  • "Dr. Matteo Bignamini and the team at Harmony Dental Clinic are exceptional. Professional, attentive, and detail-oriented, they ensure a seamless experience. Highly recommend their services for anyone seeking top-quality dental care!"
    Riccardo
    Google Review
  • "Dr. Matteo is an exceptional dentist—highly professional and incredibly skilled. Beyond his expertise, he is warm and considerate, making even the most anxious patients (like me) feel completely at ease. I couldn’t ask for better care!"
    Daria Ferrari
    Google Review
  • "Very good dental treatment with Dr. Matteo Bignamini."
    Massimo Renesto
    Google Review

What Sets Us Apart

Harmony Medical Group is accreditated by the Joint Commission International (JCI). This underscores our relentless commitment to patient safety, the delivery of top-notch quality of care, meticulous infection control, risk management, and robust leadership and governance. This accreditation solidifies our unwavering dedication to providing exceptional dental care.

Book Your Appointment Today

Discover why Dr. Matteo and Dr. Paolo are the most requested Italian dentists in the UAE. Using cutting-edge technology and the unparalleled craftsmanship of Italian artistry, they deliver world-class treatments that restore confidence and elevate oral health.

Whether you’re seeking cosmetic enhancements, restorative solutions, or the latest in dental implants and Invisalign, trust in the artistry and experience of Dubai and Abu Dhabi’s most requested Italian dentists. Experience exceptional care and unparalleled results at Harmony Medical Center today.

Phone

+971 04 395 5113 (Dubai) or 800 333 444 (Abu Dhabi)

Location

Harmony Medical Center - Dubai & Abu Dhabi

Insurance

Insurance and Flexible Payment Options with Tabby or Tamara accepted

Our Insurance Partners

Enjoy flexible hassle-free payments payment options with