Disclaimer
To our valued patients, please beware of false online offers promising free treatments at Harmony Medical Center.
Book your appointment
Submitting your request
Disclaimer
To our valued patients, please beware of false online offers promising free treatments at Harmony Medical Center.
Send an enquiry
EnglishEnglish
EnglishEnglish
العربيةالعربية
Oral and Maxillofacial Surgeons - Abu Dhabi

Harmony Medical Group

Abu Dhabi’s Premier Experts in Oral Surgery

Entrust your smile to Harmony Medical Group, where excellence in oral surgery is more than a promise—it’s a standard. Our team of world-class Specialist Oral Surgeons and Oral & Maxillofacial Surgeons in Abu Dhabi is handpicked for their exceptional skills and commitment to patient care. Whether you’re seeking precision in dental implant placement, difficult wisdom tooth extractions, or undergoing intricate jaw surgery, we combine cutting-edge technology with unparalleled expertise to deliver results you can trust.

At Harmony Medical Group, your journey to optimal oral health is guided by compassion, precision, and a reputation built on countless success stories. Experience the confidence of knowing your smile is in the best possible hands.

Oral Surgeries at Harmony

oral surgery abu dhabi

Back-to-School Dental Offer

40% Off Dental Implants & Crowns

AED 7,000

(regular value AED 12,000)

Our Insurance Partners in Abu Dhabi

Enjoy flexible hassle-free payment options with

Regain your smile and confidence with dental implants.

Tooth loss should never hold you back from living life to the fullest. Our Oral & Maxillofacial Surgeons and Specialist Implantologists are the experts when it comes to providing dental implants that look, feel, and function just like your natural teeth. We are dedicated to bringing back your confidence, allowing you to smile, eat, and speak with the same ease and comfort you once enjoyed.

Experience wisdom teeth extractions with no pain and maximum comfort.

Our team of oral surgeons boast years of experience and specialized training, enabling them to tackle even the most complex cases of wisdom tooth extraction. Whether your wisdom teeth are impacted, partially erupted, or causing discomfort, rest assured, our team delivers safe, effective, and pain-free treatment.

Full mouth rehabilitation for a functional & aesthetic smile

Full mouth rehabilitation can be a transformative solution, restoring the health, function, and aesthetics of your entire smile.

In Abu Dhabi, our team of experienced oral and maxillofacial surgeons provides personalized, comprehensive care that may involve a combination of procedures performed over a series of appointments to achieve optimal results. This approach can effectively address multiple missing or loose teeth, severe gum disease, and extensively decayed or worn-down teeth.

Full Mouth Rehabilitation

by Our Smile Makers

full mouth rehabilitation
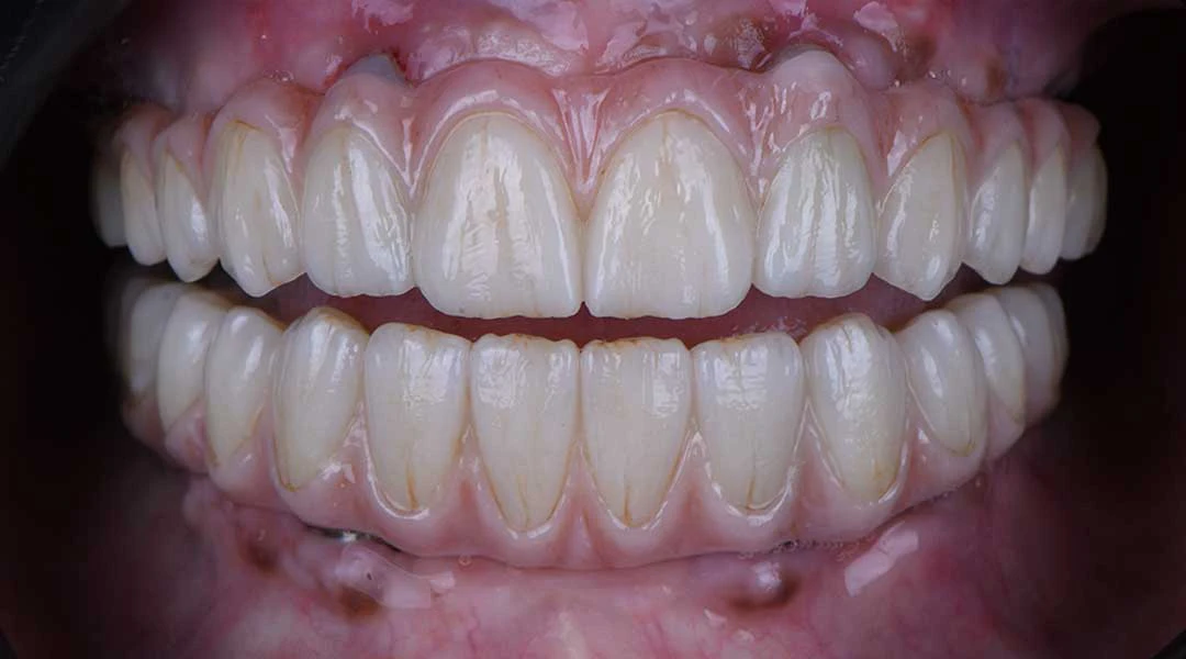
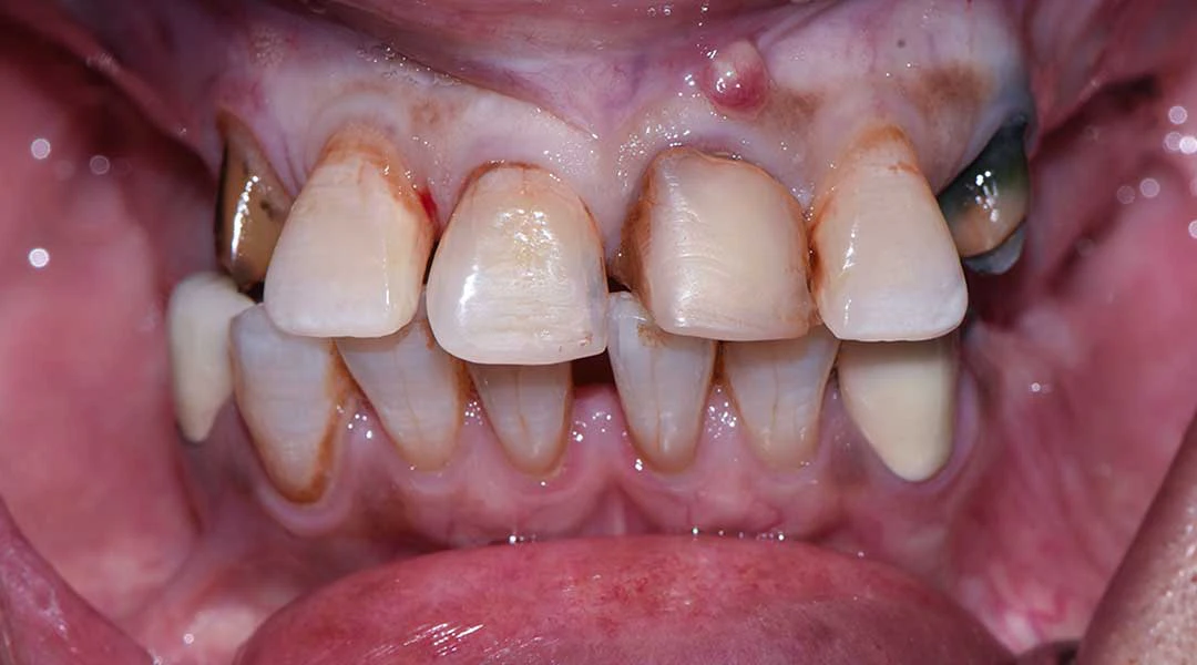
Before
full mouth rehabilitation near me
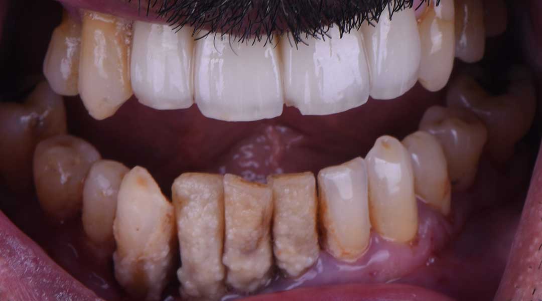
Full Mouth Rehabilitation by Dr. Ahmad Al Jazairi
full mouth rehabilitation abu dhabi
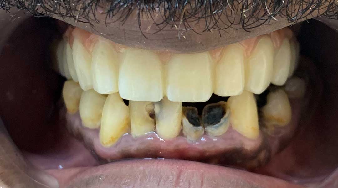
Before
full mouth rehabilitation abu dhabi
Full Mouth Rehabilitation by Dr. Ahmad Al Jazairi
full mouth rehabilitation abu dhabi
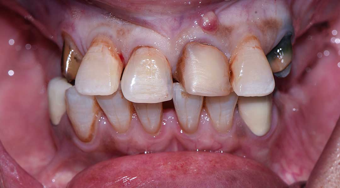
Before
full mouth rehabilitation abu dhabi
Treatment includes full mouth extraction and same-day teeth replacement by dental implants and restoration with a full arch of screw-retained zirconia.
Implants by Dr. Ahmad Al Jazairi
full mouth rehabilitation abu dhabi
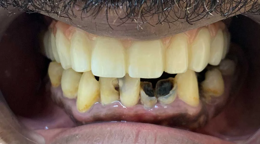
Before
full mouth rehabilitation abu dhabi
Full Mouth Rehabilitation by Dr. Ahmad Al Jazairi

Bone grafting: Strong foundation for a lifetime of smiles

Bone grafting is a surgical procedure designed to restore or increase bone tissue in the jaw. This process is often necessary before dental implant placement, as it ensures a strong and stable foundation for the implant.

Our surgical team at Harmony in Abu Dhabi excels in this field, ensuring optimal outcomes for our patients. With their precision and experience, you can trust us to provide the best possible care for your dental needs.

Expert care for TMJ pain and disorders

TMJ (temporomandibular joint) disorders can significantly impact your daily life, causing pain, headaches, and difficulty chewing. Our Oral & Maxillofacial Surgeons can address structural issues of the jaw joint through surgical interventions such as arthrocentesis or arthroscopic surgery, when necessary.

Full Mouth Rehabilitation

by Our Smile Makers

Before
Full Mouth Rehabilitation by Dr. Ahmad Al Jazairi
Before
Full Mouth Rehabilitation by Dr. Ahmad Al Jazairi
Before
Full Mouth Rehabilitation by Dr. Ahmad Al Jazairi
Before
Full Mouth Rehabilitation by Dr. May Hamid

Our Dental Centers in Abu Dhabi

Harmony Medical Center

Khalifa City A, Abu Dhabi

Harmony Advanced Medical Center

MBZ City, Abu Dhabi

Harmony Plus Medical Center

Al Khaleej, Abu Dhabi

Our Oral & Maxillofacial Surgeons IN abu dhabi

What Sets Us Apart

Frequently Asked Questions

Absolutely! Dental implants are a popular and long-lasting solution for replacing missing teeth. They function like natural teeth, providing excellent stability for chewing and speaking. Here in Abu Dhabi, many people choose implants for their durability and natural appearance. Our specialist oral surgeons at Harmony Medical Group can assess your individual needs and determine if implants are the right fit for restoring your smile and oral health.

Absolutely. Addressing multiple missing teeth and dealing with failing dental implants are complex situations that our experienced team in Abu Dhabi is well-equipped to handle. Full mouth rehabilitation often involves addressing the issues with previous implants, potentially removing them if necessary, and strategically planning new tooth replacements using a combination of dental implants, bridges, and other restorative options. We conduct a thorough evaluation to understand the underlying causes of your previous implant failure and develop a comprehensive treatment plan to restore your smile's function, health, and aesthetics for the long term.

The dental implant process typically involves a few stages. First, we conduct a thorough examination and create a personalized treatment plan. Then, the implant (a titanium post) is surgically placed into your jawbone. This is followed by a healing period, during which the bone fuses with the implant. Finally, a custom-made crown is attached to the implant, completing your new tooth. The entire process can take a few months, but this timeline can vary depending on individual factors. In some cases, outside of the typical procedure, you may qualify for same-day implant placement. Our oral surgeon will assess your situation and discuss all available options with you during your consultation at our Abu Dhabi clinic. We'll provide you with a clear timeline based on your specific needs.

The cost of dental implants in Abu Dhabi can vary based on the complexity of your case, the number of implants needed, and the materials used. At Harmony Medical Group, we believe in full transparency — you’ll receive a detailed cost breakdown during your consultation at any of our Abu Dhabi centers.

Special Offer: We’re currently offering 40% off dental implants and crowns — now only AED 7,000 per tooth.

To make your treatment even more accessible, we offer flexible payment options through Tabby and Tamara, and we also accept direct billing with insurance (where applicable). Our team will walk you through the best option to suit your needs and budget.

If you're experiencing pain, pressure, swelling, or crowding due to your wisdom teeth, it's definitely worth getting them evaluated by our oral surgery specialists. Often, wisdom teeth can cause problems as they try to erupt or if they become impacted. Early intervention can prevent more serious issues down the line. We'll conduct a thorough examination and X-rays to determine the best course of action for your situation.

Our experienced oral surgeons in Abu Dhabi perform wisdom teeth extractions with utmost care and attention to patient comfort. The procedure usually involves local anesthesia to numb the area, and in some cases, sedation options are available to help you relax. While you might experience some soreness and swelling after the procedure, we'll provide you with detailed post-operative instructions and pain management strategies to ensure a comfortable recovery.

Yes, wisdom teeth extractions are a very common oral surgery procedure performed in Abu Dhabi. While generally safe, like any surgical procedure, there are potential risks involved, such as infection, bleeding, nerve injury (which is rare and usually temporary), and dry socket. This is why seeking the help of expert oral surgeons matters. Our skilled surgeons at Harmony Medical Group take all necessary precautions to minimize these risks through careful planning and precise techniques and will thoroughly discuss them with you before the procedure.

Absolutely. Full mouth rehabilitation is a comprehensive treatment approach designed to address extensive dental issues and restore the function, health, and aesthetics of your entire mouth. In Abu Dhabi, our specialists at Harmony Medical Group have the expertise to handle complex cases involving multiple missing teeth, damaged teeth, bite problems, and gum disease. Treatment may involve a combination of procedures like dental implants, crowns, bridges, veneers, and more, all tailored to your specific needs.

Full mouth rehabilitation is a significant investment in your long-term oral health and well-being. The cost will depend on the extent of the dental problems and the specific procedures required. We understand that this can be a concern, and our team in Abu Dhabi is committed to providing transparent pricing and discussing all available payment options and financing plans to help make this life-changing treatment accessible.

Bone grafting is a procedure used to build up bone in your jaw where there isn't enough existing bone to support a dental implant. This can happen due to tooth loss, gum disease, or developmental issues. A strong and sufficient bone structure is crucial for the long-term stability and success of dental implants. Our oral surgery experts in Abu Dhabi can assess your bone density and determine if bone grafting is needed to ensure the best outcome for your implant treatment.

The bone grafting procedure involves surgically placing bone material into the deficient area of your jaw. The bone material can come from various sources, including your own body (autograft), a bone bank (allograft), animal sources (xenograft), or synthetic materials. The choice of material depends on your individual needs and the extent of the bone loss. Our skilled surgeons in Abu Dhabi will explain the options and recommend the most suitable approach for you.

The recovery period after bone grafting can vary depending on the extent of the graft and your individual healing process. It typically takes several months for the bone graft to fully integrate with your existing jawbone and become strong enough to support a dental implant. Our team in Abu Dhabi will monitor your healing progress closely and let you know the optimal time for implant placement to ensure a successful and stable result.

Yes, jaw pain, clicking, popping, and difficulty opening or closing your mouth are common symptoms of a Temporomandibular Joint (TMJ) disorder. Our dental specialists in Abu Dhabi are experienced in diagnosing and treating various TMJ issues. We understand the discomfort and impact these disorders can have on your daily life and offer comprehensive evaluations to determine the underlying cause of your symptoms.

At Harmony Medical Group in Abu Dhabi, we offer a range of treatments for TMJ disorders, tailored to your specific diagnosis and needs. These may include conservative approaches like lifestyle modifications, pain management techniques, physical therapy exercises, and occlusal splints (night guards). In some cases, more advanced treatments like injections or surgery might be considered. Our goal is to alleviate your pain, improve jaw function, and restore your comfort.

If you are experiencing persistent jaw pain, stiffness, clicking, popping, or difficulty opening or closing your mouth, it's advisable to seek a professional evaluation. The first step at Harmony Medical Group in Abu Dhabi is to schedule a consultation with one of our TMJ specialists. During this appointment, we will conduct a thorough examination, review your medical history, and may use imaging tests to accurately diagnose your condition and recommend the most appropriate treatment plan for you.

Terms & Conditions

  • This dental implant offer is valid across all Harmony Medical Center branches in Abu Dhabi.
  • This offer cannot be combined with other promotions.
  • This offer is valid.
  • For appointments with our Specialist Oral & Maxillofacial Surgeons, please call 800 333 444.
  • We offer a flexible payment option using Tabby and Tamara. We accept insurance for direct billing.