Disclaimer
To our valued patients, please beware of false online offers promising free treatments at Harmony Medical Center.
Book your appointment
Full Name *
Mobile *
+971
Search
    Email *
    Treatment *
    Other Treatment? Please specify. *
    Preferred Date
    Preferred Time
    Preferred Clinic *
    Notes Other Queries
    Disclaimer
    To our valued patients, please beware of false online offers promising free treatments at Harmony Medical Center.
    Send an enquiry
    Full Name *
    Mobile *
    +971
    Search
      Email *
      Enquiry *
      EnglishEnglish
      EnglishEnglish
      العربيةالعربية

      Up to 50% Off
      for a Limited Time

      Luxury Orthodontics, Exceptional Packages.

      Back-to-School Orthodontic Offer: Invisalign & Braces

      Invisalign or braces? The choice is yours—and the savings are huge! This back-to-school season, enjoy 50% off Invisalign and 35% off braces at all our Abu Dhabi locations, where the UAE’s top specialist orthodontists care for children, teens, and adults.

      Call 800 333 444 or fill out the appointment form to book your spot today—start the school year with a confident, healthy smile!

      50% Off Invisalign for Adults & Teens

      Starting from AED 5,000
      (Regular price starting from AED 10,000)

      Offer details:

      35% Off Metal Braces

      AED 400 per month only
      AED 12,000 with flexible payment plan
      (Regular value AED 18,500)

      Offer details:

      Our Insurance Partners

      • "Dr. Iyad, thanks for your understanding and for taking my comments into consideration. I got the treatment today, and I am totally satisfied. After long search for best dentist in the town, I can conclude that now I found the one that I am looking for."
        Rashid Al Suwaidi
        Google Review
      • "Would highly recommend Dr. Iyad to anyone who asks. I have been going to Harmomy Medical Center for over a year for my braces, and I have always been met with a warm welcome. Staff are so attentive and Dr. Iyad is honestly the best! Thank you for your amazing hospitality and my new beautiful smile."
        Shannon Delfau
        Google Review
      • "The best modern devices. I thank Dr. Iyad, the orthodontist, one of the best doctors."
        Fatima Alali
        Google Review
      • "Harmony Center is one of the best dental clinic we have ever dealt with. Thank you Dr. Ziad. You made my kids kids braces journey a pleasant one with all your support and professionalism."
        Suzaan Arikat
        Google Review
      • "Dr. Ziad is the best Orthodontist in UAE. ⭐️"
        John Cortez Delotina
        Google Review
      • "Best clinic with best treatment & friendly staff. Dr. Ziad is the best orthodontist I ever met. He is a professional and a gentleman."
        Adi Nourpetlian
        Google Review
      • "Dr. Ziad is the best orthodontist in Abu Dhabi. He is very gentle and his work is very professional and meticulous. My daughter is very happy with her teeth. She is always smiling and not shy to show her teeth anymore."
        Dr. Omar Badr
        Google Review
      • "Highly recommend Dr. Iyad. Staff and waiting time in general is very good. Very helpful team."
        Af. Dubai
        Google Review
      • "Great results for orthodontic treatment to my daughter with amazing orthodontists Dr. Iyad and Dr.Najwana. Really professional staff and great service."
        Abdulqader AlAni
        Google Review
      • "A respected center with excellent reception. The doctors are very professional and at a high level, particularly the orthodontist Dr. Al Samman."
        Alaa Issa
        Google Review
      • "I came to put braces with Dr. Paolo and to be honest, it was the best experience I had with a doctor he was professional and knew what he was doing."
        Zayed Fahad
        Google Review
      • "Dr. Najwana is amazing! My daughter just finished her Invisalign treatment with great results, and now my son is starting his. She made the process smooth and easy. Highly recommend her!"
        Raya Farhat
        Google Review
      • "Amazing facility and well trained staff to support all client requests. Highly recommended orthodontist - Dr. Paolo Bellini."
        Riccardo Bisutti
        Google Review

      Our Orthodontists in Abu Dhabi

      Dr. Iyad Al Samman

      Head of the Orthodontics Department

      Dr. Karam Kharsa

      Specialist Orthodontist

      Dr. Mohammad Baderaddeen

      Specialist Orthodontist

      Dr. Ziad Abdul Majid

      Specialist Orthodontist

      Dr. Paolo Bellini

      Specialist Orthodontist

      Dr. Amer Owayda

      Specialist Orthodontist

      Dr. Rehab Elsayed

      Specialist Orthodontist

      Dr. Salwa Barri

      Specialist Orthodontist

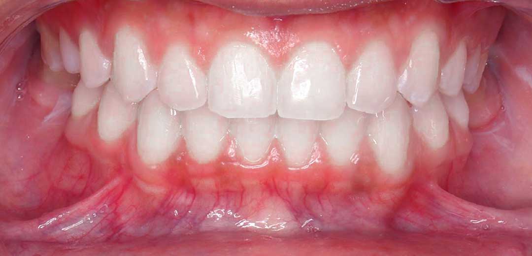
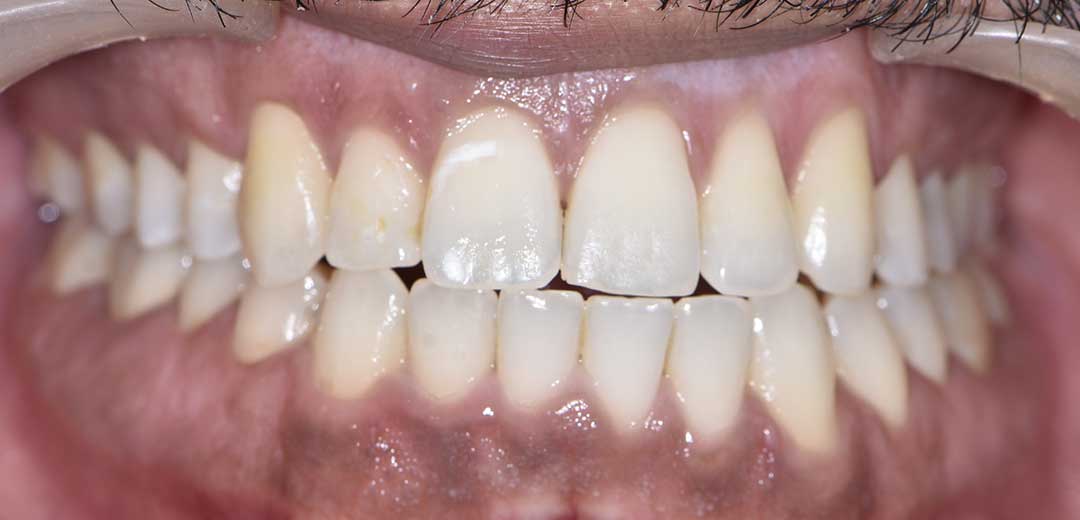
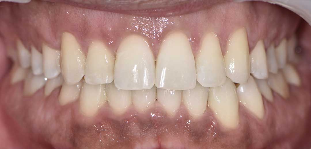
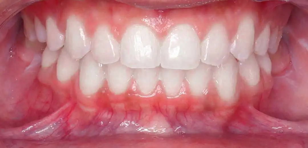
      Invisalign Cases

      Before
      Invisalign by Dr. Iyad Al Samman
      Before
      Invisalign by Dr. Karam Kharsa

      What are the benefits of Invisalign?

      Invisalign offers a modern, discreet solution for achieving a straighter smile. Unlike traditional braces, Invisalign uses clear, custom-made aligners that are virtually invisible, making them ideal for teens and adults who want to improve their smile without drawing attention to the process.

      Comfort and Convenience

      The aligners are made from smooth, medical-grade plastic, minimizing irritation to the gums and cheeks. Plus, they’re removable, allowing you to enjoy your favorite foods and maintain your usual oral hygiene routine with ease.

      Customized for You

      Using advanced 3D imaging technology, Invisalign aligners are tailored to fit your teeth and gradually shift them into their ideal position.

      Predictable Results

      With state-of-the-art digital treatment planning, you’ll know exactly what to expect and how your smile will transform over time.

      Fewer Visits to the Orthodontist

      Unlike traditional braces, Invisalign requires fewer in-office adjustments, saving you time while still delivering effective results.

      Improved Oral Health

      Straight teeth are easier to clean, reducing the risk of cavities, gum disease, and other oral health issues.

      What are the benefits of orthodontic braces?

      Orthodontic braces offer a multitude of benefits that go beyond just achieving a straighter smile. Here are some key advantages.

      Discover Your New Smile with Invisalign SmileView™

      Curious about how Invisalign can transform your smile? Experience the future of orthodontic care with Invisalign’s Digital SmileView—a revolutionary tool that lets you preview your potential smile before you even start treatment.

      Using advanced imaging technology, SmileView generates a realistic simulation of your new smile in minutes, based on your current teeth alignment. It’s as simple as uploading a photo and letting the technology work its magic.

      Try your new smile in just 60 seconds.

      Why Trust Harmony Medical Center With Your Smile?

      At Harmony Medical Center, your smile is in expert hands. We are proud to be recognized as a Diamond Invisalign Provider, a distinction awarded to clinics that demonstrate exceptional expertise and experience in Invisalign treatment. Our highly skilled orthodontists have transformed over 10,000 smiles using braces and Invisalign, making us a trusted choice for achieving the results you desire.

      With convenient branches across Abu Dhabi, we bring top-tier orthodontic care closer to you. Our clinics are designed to provide luxury, premium care, ensuring that every visit is a comfortable and seamless experience. At Harmony Medical Center, we combine advanced technology, personalized treatment plans, and unmatched expertise to help you achieve your best smile.

      Our Dental Centers in Abu Dhabi

      Harmony Medical Center

      Khalifa City A, Abu Dhabi

      Harmony Advanced Medical Center

      MBZ City, Abu Dhabi

      Harmony Plus Medical Center

      Al Khaleej, Abu Dhabi

      What Sets Us Apart

      Harmony Medical Group is accreditated by the Joint Commission International (JCI). This underscores our relentless commitment to patient safety, the delivery of top-notch quality of care, meticulous infection control, risk management, and robust leadership and governance. This accreditation solidifies our unwavering dedication to providing exceptional dental care.

      Braces & Invisalign FAQs

      • Enhanced facial aesthetics and symmetry
      • Reduced wear and tear on teeth
      • Improved bite and speech
      • Improved jaw joint health
      • Reduced risk of tooth decay and gum disease
      • Reduced risk of dental emergencies

      The great news is that healthy teeth can be moved at any age. At Harmony, we provide customized orthodontic treatments for children, teens, and adults. Also, the American Association of Orthodontists recommends that all children have a check-up with a Specialist Orthodontist no later than age 7. This gives your orthodontist the opportunity to recommend the appropriate treatment at the right time.

      According to the American Association of Orthodontists, people who notice any of these signs should seek the help of an orthodontist:

      • Crowded, misplaced, protruding, or blocked-out teeth
      • Difficulty biting or chewing
      • Biting the cheek or roof of the mouth
      • Facial imbalance or asymmetry
      • Children who had early or late loss of baby teeth

      Orthodontics addresses improper alignment, known as malocclusion, and the length of the treatment varies from one patient to another. Some treatments may take a few months, while others may extend to several years. On average, typical orthodontic treatment can take anywhere between 6 and 36 months.

      Yes, at Harmony Medical Group, we strive to make orthodontic treatment accessible. We accept many major insurance plans and offer direct billing to simplify the process for you. We understand that braces and Invisalign are an investment, and we provide flexible payment options and installment plans (with Tabby or Tamara) to help you manage the cost of your treatment. Our team will be happy to discuss these options with you during your consultation.

      Traditional metal braces use high-quality stainless steel brackets that are bonded to the surface of your teeth. These brackets are connected by thin, flexible wires called archwires, which are periodically adjusted by one of our orthodontists. These adjustments apply gentle and consistent pressure to gradually guide your teeth into their correct alignment over time.

      Metal braces are incredibly versatile and can effectively treat a wide range of orthodontic problems, from simple to complex. This includes crooked teeth, crowded teeth, gaps between teeth, overbites, underbites, crossbites, and open bites. Our experienced orthodontists at Harmony can assess your specific needs and determine if metal braces are the most suitable solution for you in Abu Dhabi.

      The length of treatment with metal braces varies depending on the complexity of your case and your individual response to treatment. On average, it can range from 12 to 24 months, or sometimes longer. The process involves initial consultation and planning, bonding the brackets to your teeth, regular adjustment appointments (typically every 4-8 weeks), and finally, the removal of the braces and the use of retainers to maintain your new smile.

      Invisalign uses a series of patented clear, custom-made aligners that gradually shift your teeth into the desired positions. These aligners are made of a smooth, comfortable, and virtually invisible thermoplastic material. At Harmony, our orthodontists will create a digital treatment plan that maps out the precise movements of your teeth, and a series of aligners will be fabricated specifically for you. You'll switch to a new set of aligners approximately every one to two weeks.

      The length of Invisalign treatment for our patients is comparable to traditional braces, typically ranging from 12 to 24 months, depending on the complexity of your case. However, the success of Invisalign heavily relies on patient compliance. For the treatment to be effective, you need to wear your aligners for approximately 20 to 22 hours per day, removing them only for eating, brushing, and flossing.

      Invisalign is a versatile treatment option that can address many common orthodontic issues for our patients, including mild to moderate crowding, spacing, overbites, underbites, and crossbites. As a Certified Diamond Invisalign provider, Harmony Medical Group is a leader in this field, offering extensive experience and expertise in delivering successful Invisalign outcomes. We will conduct a thorough assessment to determine if Invisalign is the right treatment for your specific needs.

      Terms & Conditions

      • These Back-to-School Orthodontic Offers are offered across all Harmony Medical Center branches in Abu Dhabi.
      • For appointments, please call 800 333 444.
      • Orthodontic treatments are customized to your specific needs. The length of the treatment will depend on the severity of the malocclusion and patient compliance.
      • These special offers are valid until September 30, 2025.