Disclaimer
To our valued patients, please beware of false online offers promising free treatments at Harmony Medical Center.
Book your appointment
Submitting your request
Disclaimer
To our valued patients, please beware of false online offers promising free treatments at Harmony Medical Center.
Send an enquiry
EnglishEnglish
EnglishEnglish
العربيةالعربية

Up to 50% OFF

Luxury Orthodontics

Valid all across our Abu Dhabi branches

invisalign diamond provider

New Year Orthodontic Offer: Invisalign & Braces

Invisalign or braces? The choice is yours—and the savings are huge! This New Year season, enjoy 50% off Invisalign and 35% off braces at all our Abu Dhabi locations, where the UAE’s top specialist orthodontists care for children, teens, and adults.

Call 800333444 or fill out the appointment form to book your spot today—start the school year with a confident, healthy smile!

50% Off Invisalign for Adults & Teens

Starting from AED 5,000
(Regular price starting from AED 10,000)

Offer details:

35% Off Metal Braces

AED 400 per month only
AED 12,000 with flexible payment plan
(Regular value AED 18,500)

Offer details:

Our Insurance Partners in Abu Dhabi

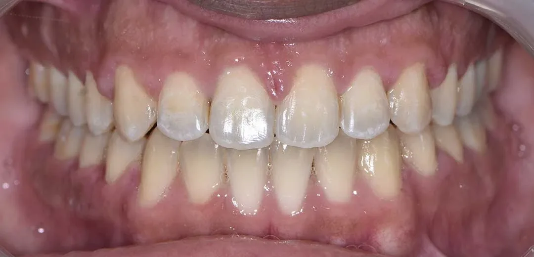
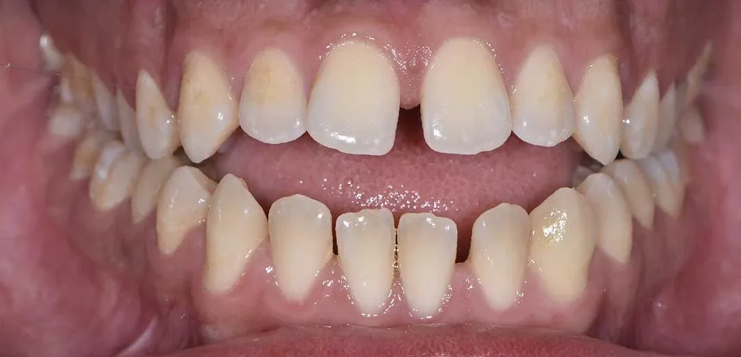
Invisalign Transformations in Abu Dhabi

Before
Invisalign by Dr. Iyad Al Samman
Before
Invisalign by Dr. Karam Kharsa
Before
Invisalign by Dr. Najwana Attisha
Before
Invisalign by Dr. Iyad Al Samman
Before
Invisalign by Dr. Mohammad Baderaddeen
  • "Dr. Iyad, thanks for your understanding and for taking my comments into consideration. I got the treatment today, and I am totally satisfied. After long search for best dentist in the town, I can conclude that now I found the one that I am looking for."
    Rashid Al Suwaidi
    Google Review
  • "Would highly recommend Dr. Iyad to anyone who asks. I have been going to Harmomy Medical Center for over a year for my braces, and I have always been met with a warm welcome. Staff are so attentive and Dr. Iyad is honestly the best! Thank you for your amazing hospitality and my new beautiful smile."
    Shannon Delfau
    Google Review
  • "The best modern devices. I thank Dr. Iyad, the orthodontist, one of the best doctors."
    Fatima Alali
    Google Review
  • "Harmony Center is one of the best dental clinic we have ever dealt with. Thank you Dr. Ziad. You made my kids kids braces journey a pleasant one with all your support and professionalism."
    Suzaan Arikat
    Google Review
  • "Dr. Ziad is the best Orthodontist in UAE. ⭐️"
    John Cortez Delotina
    Google Review
  • "Best clinic with best treatment & friendly staff. Dr. Ziad is the best orthodontist I ever met. He is a professional and a gentleman."
    Adi Nourpetlian
    Google Review
  • "Dr. Ziad is the best orthodontist in Abu Dhabi. He is very gentle and his work is very professional and meticulous. My daughter is very happy with her teeth. She is always smiling and not shy to show her teeth anymore."
    Dr. Omar Badr
    Google Review
  • "Highly recommend Dr. Iyad. Staff and waiting time in general is very good. Very helpful team."
    Af. Dubai
    Google Review
  • "Great results for orthodontic treatment to my daughter with amazing orthodontists Dr. Iyad and Dr.Najwana. Really professional staff and great service."
    Abdulqader AlAni
    Google Review
  • "A respected center with excellent reception. The doctors are very professional and at a high level, particularly the orthodontist Dr. Al Samman."
    Alaa Issa
    Google Review
  • "I came to put braces with Dr. Paolo and to be honest, it was the best experience I had with a doctor he was professional and knew what he was doing."
    Zayed Fahad
    Google Review

Our Orthodontists in Abu Dhabi

Dr. Iyad Al Samman

Head of the Orthodontics Department

Dr. Karam Kharsa

Specialist Orthodontist

Dr. Mohammad Baderaddeen

Specialist Orthodontist

Dr. Ziad Abdul Majid

Specialist Orthodontist

Dr. Paolo Bellini

Specialist Orthodontist

Dr. Amer Owayda

Specialist Orthodontist

Dr. Rehab Elsayed

Specialist Orthodontist

What are the benefits of Invisalign?

Invisalign provides a discreet, modern approach to straightening your teeth. Instead of metal brackets and wires, it uses clear, custom-designed aligners that are barely noticeable—making it a popular choice for both teens and adults seeking a more subtle orthodontic solution.

Comfort and Ease

Crafted from smooth, medical-grade plastic, Invisalign aligners are gentle on your gums and cheeks. Because they’re removable, you can continue enjoying your favorite foods and maintain your regular brushing and flossing routine without disruption.

Personalized Treatment

Advanced 3D imaging technology is used to create aligners specifically designed for your teeth, ensuring a precise and gradual movement toward your ideal smile.

Predictable Outcomes

Digital treatment planning allows you to preview your smile transformation and understand what to expect at every stage of the process.

Fewer Office Visits

Invisalign typically requires fewer orthodontic appointments than traditional braces, offering greater convenience without compromising results.

Better Oral Health

Straighter teeth are easier to keep clean, helping lower the risk of cavities, gum disease, and other dental concerns.

Easy Progress Monitoring

Your treatment progress can be tracked through the My Invisalign™ app, with convenient virtual check-ins along the way.
orthodontic braces in abu dhabi

What are the benefits of orthodontic braces?

Orthodontic braces offer a multitude of benefits that go beyond just achieving a straighter smile. Here are some key advantages.

Discover Your New Smile with Invisalign SmileView™

Curious about how Invisalign can transform your smile? Experience the future of orthodontic care with Invisalign’s Digital SmileView—a revolutionary tool that lets you preview your potential smile before you even start treatment.

Using advanced imaging technology, SmileView generates a realistic simulation of your new smile in minutes, based on your current teeth alignment. It’s as simple as uploading a photo and letting the technology work its magic.

Try your new smile in just 60 seconds.

Why Trust Harmony Medical Center With Your Smile?

Diamond Invisalign® Providers: Recognized among the top 1% of Invisalign® specialists in the UAE, we deliver exceptional expertise and outstanding results.

JCI-Accredited Clinic: Our clinics adhere to the highest international standards for safety, hygiene, and patient care.

Over 10K+ Successful Cases: Our skilled orthodontists have transformed more than 10,000 smiles using braces and Invisalign®, making us a trusted choice for achieving your desired results.

Multilingual Dental Experts: Our team speaks Arabic, English, Portuguese, Russian, Farsi, French, and Spanish to ensure clear, personalized communication with every patient.

State-of-the-Art Technology: Using advanced tools such as 3D digital scanning, we provide precise, accurate, and fully customized Invisalign® treatments.

Personalized Treatment Plans: Each Invisalign® plan is tailored to your unique dental needs and smile goals.

Free Digital Smile Preview: Preview a realistic simulation of your future smile before starting treatment.

Comfort & Convenience: We offer same-day appointments and complimentary valet parking for a smooth, stress-free visit.

Flexible Payment Options: 0% interest installment plans and insurance acceptance make your treatment accessible and budget-friendly.

Multiple Abu Dhabi Locations: Our clinics in MBZ City, Khalifa City, and Al Khaleej Al Arabi ensure quality dental care is easily accessible across the UAE.

Our Dental Clinics in Abu Dhabi

Harmony Medical Center

Khalifa City A, Abu Dhabi

Harmony Advanced Medical Center

MBZ City, Abu Dhabi

Harmony Plus Medical Center

Al Khaleej, Abu Dhabi

FAQs: Orthodontic Treatment in Abu Dhabi

Orthodontic treatment improves facial balance, bite alignment, speech, and jaw health. It also reduces tooth wear, lowers the risk of cavities and gum disease, and helps prevent dental emergencies.

Orthodontic treatment can be done at any age. However, the American Association of Orthodontists recommends an initial check-up by age 7 to identify potential issues early.

You may benefit from orthodontic care if you have crowded or crooked teeth, difficulty chewing, frequent cheek biting, facial asymmetry, or early or delayed loss of baby teeth.

Treatment length varies by case, typically ranging from 6 to 36 months.

Yes. We accept major insurance plans, offer direct billing, and provide flexible payment options through Tabby and Tamara.

Metal braces use brackets and wires that apply gentle pressure to gradually move teeth into proper alignment.

They effectively treat crooked teeth, crowding, gaps, and bite issues such as overbites, underbites, and crossbites.

Invisalign uses clear, custom-made aligners that gradually shift teeth into position. Aligners are changed every 1–2 weeks.

Invisalign treatment usually lasts 12 to 24 months. Aligners must be worn 20–22 hours per day.

Invisalign treats mild to moderate crowding, spacing, and bite issues.